Skip to main content

TOP2A Antibody (OTI2A9) - Azide and BSA Free

Novus Biologicals, part of Bio-Techne | Catalog # NBP2-74558

Novus Biologicals, part of Bio-Techne

Key Product Details

Species Reactivity

Human, Mouse, Rat

Applications

Immunohistochemistry, Immunohistochemistry-Paraffin, Western Blot

Label

Unconjugated

Antibody Source

Monoclonal Mouse IgG2B Clone # OTI2A9

Format

Azide and BSA Free

Concentration

LYOPH mg/ml

Product Specifications

Immunogen

Human recombinant protein fragment corresponding to amino acids 1100-1531 of human TOP2A(NP_001058) produced in E.coli.

Reactivity Notes

Please note that this antibody is reactive to Mouse and derived from the same host, Mouse. Mouse-On-Mouse blocking reagent may be needed for IHC and ICC experiments to reduce high background signal. You can find these reagents under catalog numbers PK-2200-NB and MP-2400-NB. Please contact Technical Support if you have any questions.

Clonality

Monoclonal

Host

Mouse

Isotype

IgG2B

Theoretical MW

174.2 kDa.
Disclaimer note: The observed molecular weight of the protein may vary from the listed predicted molecular weight due to post translational modifications, post translation cleavages, relative charges, and other experimental factors.

Description

Novus Biologicals Mouse TOP2A Antibody (OTI2A9) - Azide and BSA Free (NBP2-46184) is a monoclonal antibody validated for use in IHC and WB. All Novus Biologicals antibodies are covered by our 100% guarantee.

Scientific Data Images for TOP2A Antibody (OTI2A9) - Azide and BSA Free

Western Blot: TOP2A Antibody (OTI2A9)Azide and BSA Free [NBP2-74558]

Western Blot: TOP2A Antibody (OTI2A9)Azide and BSA Free [NBP2-74558]

Western Blot: TOP2A Antibody (OTI2A9) - Azide and BSA Free [NBP2-74558] - Analysis of HEK293T cells were transfected with the pCMV6-ENTRY control (Left lane) or pCMV6-ENTRY TOP2A.
Immunohistochemistry: TOP2A Antibody (OTI2A9) - Azide and BSA Free [NBP2-74558]

Immunohistochemistry: TOP2A Antibody (OTI2A9) - Azide and BSA Free [NBP2-74558]

Immunohistochemistry: TOP2A Antibody (OTI2A9) - Azide and BSA Free [NBP2-74558] - Analysis of Human thyroid tissue. (Heat-induced epitope retrieval by 10mM citric buffer, pH6.0, 120C for 3min)
Immunohistochemistry: TOP2A Antibody (OTI2A9) - Azide and BSA Free [NBP2-74558]

Immunohistochemistry: TOP2A Antibody (OTI2A9) - Azide and BSA Free [NBP2-74558]

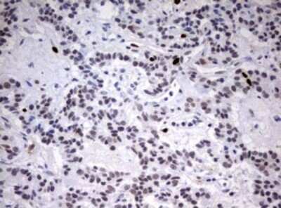
Immunohistochemistry: TOP2A Antibody (OTI2A9) - Azide and BSA Free [NBP2-74558] - Analysis of Adenocarcinoma of Human breast tissue. (Heat-induced epitope retrieval by 10mM citric buffer, pH6.0, 120C for 3min)

Applications for TOP2A Antibody (OTI2A9) - Azide and BSA Free

Application
Recommended Usage

Immunohistochemistry

1:150

Immunohistochemistry-Paraffin

1:150

Western Blot

1:2000

Formulation, Preparation, and Storage

Purification

Immunogen affinity purified

Reconstitution

we recommend adding 100uL distilled water to a final antibody concentration of about 1 mg/mL. To use this carrier-free antibody for conjugation experiment, we strongly recommend performing another round of desalting process.

Formulation

Lyophilized from PBS (pH 7.3) with 8% Trehalose

Format

Azide and BSA Free

Preservative

No Preservative

Concentration

LYOPH mg/ml

Shipping

The product is shipped with polar packs. Upon receipt, store it immediately at the temperature recommended below.

Stability & Storage

Store at -20C. Avoid freeze-thaw cycles.

Background: TOP2A

Topo II Alpha encodes a DNA topoisomerase, an enzyme that controls and alters the topologic states of DNA during transcription. This nuclear enzyme is involved in processes such as chromosome condensation, chromatid separation, and the relief of torsional stress that occurs during DNA transcription and replication. It catalyzes the transient breaking and rejoining of two strands of duplex DNA which allows the strands to pass through one another, thus altering the topology of DNA. Two forms of this enzyme exist as likely products of a gene duplication event. The gene encoding this form, alpha, is localized to chromsome 17 and the beta gene is localized to chromosome 3. The gene encoding this enzyme functions as the target for several anticancer agents and a variety of mutations in this gene have been associated with the development of drug resistance. Reduced activity of this enzyme may also play a role in ataxia-telangiectasia.

Long Name

DNA Topoisomerase II alpha

Alternate Names

TOP2, TP2A

Gene Symbol

TOP2A

Additional TOP2A Products

Product Documents for TOP2A Antibody (OTI2A9) - Azide and BSA Free

Certificate of Analysis

To download a Certificate of Analysis, please enter a lot number in the search box below.

Product Specific Notices for TOP2A Antibody (OTI2A9) - Azide and BSA Free

This product is for research use only and is not approved for use in humans or in clinical diagnosis. Primary Antibodies are guaranteed for 1 year from date of receipt.

Loading...
Loading...
Loading...
Loading...
Loading...