Skip to main content

TNFAIP1 Antibody - BSA Free

Novus Biologicals, part of Bio-Techne | Catalog # NBP2-82039

Novus Biologicals, part of Bio-Techne

Key Product Details

Species Reactivity

Validated:

Human, Mouse, Rat

Predicted:

Chicken (100%). Backed by our 100% Guarantee.

Applications

Immunohistochemistry, Immunohistochemistry-Paraffin, Western Blot, ELISA, Immunocytochemistry/ Immunofluorescence

Label

Unconjugated

Antibody Source

Polyclonal Rabbit IgG

Format

BSA Free

Concentration

1 mg/ml

Product Specifications

Immunogen

TNFAIP1 antibody was raised against a 19 amino acid peptide from near the carboxy terminus of human TNFAIP1. The immunogen is located within the last 50 amino acids of TNFAIP1. Amino Acid Squence: KRYSTYDDRQLGHQSTHRD

Specificity

TNFAIP1 antibody is human, mouse and rat reactive. TNFAIP1 antibody is predicted to not cross-react with other TNFAIP proteins.

Clonality

Polyclonal

Host

Rabbit

Isotype

IgG

Theoretical MW

35 kDa.
Disclaimer note: The observed molecular weight of the protein may vary from the listed predicted molecular weight due to post translational modifications, post translation cleavages, relative charges, and other experimental factors.

Description

Novus Biologicals Rabbit TNFAIP1 Antibody - BSA Free (NBP2-82039) is a polyclonal antibody validated for use in IHC, WB, ELISA and ICC/IF. All Novus Biologicals antibodies are covered by our 100% guarantee.

Scientific Data Images for TNFAIP1 Antibody - BSA Free

Western Blot: TNFAIP1 AntibodyBSA Free [NBP2-82039]

Western Blot: TNFAIP1 AntibodyBSA Free [NBP2-82039]

Western Blot: TNFAIP1 Antibody [NBP2-82039] - Western blot analysis of TNFAIP1 in mouse brain tissue lysate with TNFAIP1 antibody at 1 ug/ml.
TNFAIP1 Antibody - BSA Free

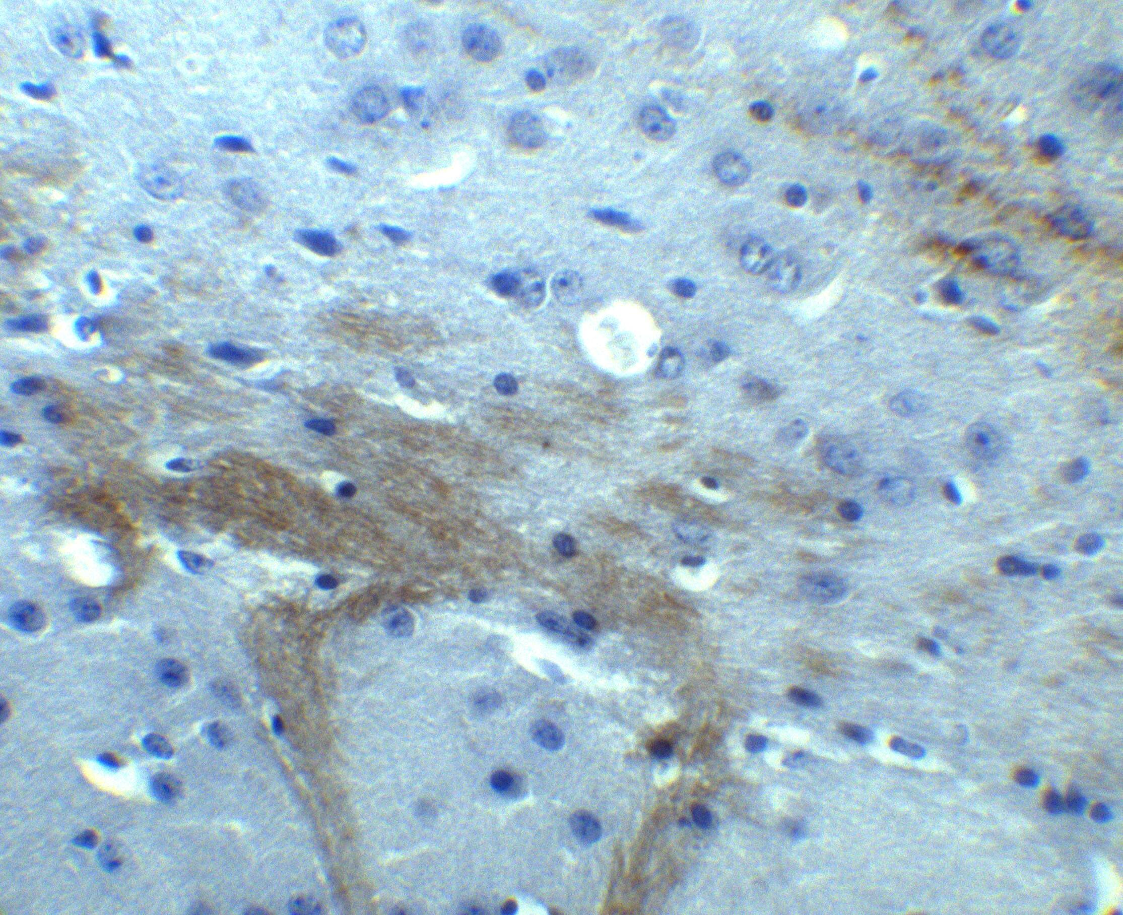
Immunohistochemistry: TNFAIP1 Antibody - BSA Free [NBP2-82039] -

Immunohistochemistry: TNFAIP1 Antibody - BSA Free [NBP2-82039] - Immunohistochemistry of TNFAIP1 in mouse brain tissue with TNFAIP1 antibody at 10 ug/ml.
TNFAIP1 Antibody - BSA Free

Immunocytochemistry/ Immunofluorescence: TNFAIP1 Antibody - BSA Free [NBP2-82039] -

Immunocytochemistry/ Immunofluorescence: TNFAIP1 Antibody - BSA Free [NBP2-82039] - Immunofluorescence of TNFAIP1 in mouse brain tissue with TNFAIP1 antibody at 20 ug/ml.

Red: TNFAIP1 Antibody
Blue: DAPI staining

Applications for TNFAIP1 Antibody - BSA Free

Application
Recommended Usage

Immunohistochemistry

10 ug/ml

Western Blot

1-2 ug/ml

Formulation, Preparation, and Storage

Purification

Peptide affinity purified

Formulation

PBS

Format

BSA Free

Preservative

0.02% Sodium Azide

Concentration

1 mg/ml

Shipping

The product is shipped with polar packs. Upon receipt, store it immediately at the temperature recommended below.

Stability & Storage

Store at 4C short term. Aliquot and store at -20C long term. Avoid freeze-thaw cycles.

Background: TNFAIP1

TNFAIP1 - tumor necrosis factor, alpha-induced protein 1 (endothelial)

Alternate Names

B12, B61, BACURD2, BTB/POZ domain-containing adapter for CUL3-mediated RhoA degradation protein 2, BTB/POZ domain-containing protein TNFAIP1, EDP1, hBACURD2, MGC2317, Protein B12, tumor necrosis factor, alpha-induced protein 1 (endothelial), Tumor necrosis factor, alpha-induced protein 1, endothelial

Gene Symbol

TNFAIP1

Additional TNFAIP1 Products

Product Documents for TNFAIP1 Antibody - BSA Free

Certificate of Analysis

To download a Certificate of Analysis, please enter a lot number in the search box below.

Product Specific Notices for TNFAIP1 Antibody - BSA Free

This product is for research use only and is not approved for use in humans or in clinical diagnosis. Primary Antibodies are guaranteed for 1 year from date of receipt.

Loading...
Loading...
Loading...
Loading...