Skip to main content

TMX2 Antibody - BSA Free

Novus Biologicals, part of Bio-Techne | Catalog # NBP3-35724

Novus Biologicals, part of Bio-Techne
Catalog #
Availability
Size / Price
Qty
Loading...
NBP3-35724-100ul
NBP3-35724-20ul

Key Product Details

Species Reactivity

Human, Mouse, Rat

Applications

ELISA, Immunocytochemistry/ Immunofluorescence, Immunohistochemistry, Immunohistochemistry-Paraffin, Western Blot

Label

Unconjugated

Antibody Source

Polyclonal Rabbit IgG

Format

BSA Free

Concentration

Please see the vial label for concentration. If unlisted please contact technical services.

Product Specifications

Immunogen

Recombinant fusion protein containing a sequence corresponding to amino acids 128-296 of human TMX2 (NP_057043.1).

Sequence:
KPPLYMGPEYIKYFNDKTIDEELERDKRVTWIVEFFANWSNDCQSFAPIYADLSLKYNCTGLNFGKVDVGRYTDVSTRYKVSTSPLTKQLPTLILFQGGKEAMRRPQIDKKGRAVSWTFSEENVIREFNLNELYQRAKKLSKAGDNIPEEQPVASTPTTVSDGENKKDK

Clonality

Polyclonal

Host

Rabbit

Isotype

IgG

Theoretical MW

34 kDa.
Disclaimer note: The observed molecular weight of the protein may vary from the listed predicted molecular weight due to post translational modifications, post translation cleavages, relative charges, and other experimental factors.

Description

Novus Biologicals Rabbit TMX2 Antibody - BSA Free (NBP3-35724) is a polyclonal antibody validated for use in IHC, WB, ELISA and ICC/IF. All Novus Biologicals antibodies are covered by our 100% guarantee.

Scientific Data Images for TMX2 Antibody - BSA Free

TMX2 Antibody

Immunohistochemistry: TMX2 Antibody [NBP3-35724] -

Immunohistochemistry: TMX2 Antibody [NBP3-35724] - Immunohistochemistry analysis of paraffin-embedded Mouse kidney using TMX2 Rabbit pAb at dilution of 1:100 (40x lens). Microwave antigen retrieval performed with 0.01M Tris/EDTA Buffer (pH 9.0) prior to IHC staining.
TMX2 Antibody

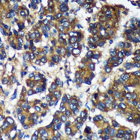
Immunocytochemistry/ Immunofluorescence: TMX2 Antibody [NBP3-35724] -

Immunocytochemistry/ Immunofluorescence: TMX2 Antibody [NBP3-35724] - Immunofluorescence analysis of L929 cells using TMX2 Rabbit pAb at dilution of 1:100. Secondary antibody: Cy3-conjugated Goat anti-Rabbit IgG (H+L) at 1:500 dilution. Blue: DAPI for nuclear staining.
TMX2 Antibody

Western Blot: TMX2 Antibody [NBP3-35724] -

Western Blot: TMX2 Antibody [NBP3-35724] - Western blot analysis of various lysates using TMX2at 1:1000 dilution.
Secondary antibody: HRP-conjugated Goat anti-Rabbit IgG (H+L) at 1:10000 dilution.
Lysates/proteins: 25ug per lane.
Blocking buffer: 3% nonfat dry milk in TBST.
Detection: ECL Basic Kit.
Exposure time: 30s.

Applications for TMX2 Antibody - BSA Free

Application
Recommended Usage

Immunocytochemistry/ Immunofluorescence

1:50 - 1:200

Immunohistochemistry-Paraffin

1:50 - 1:200

Western Blot

1:500 - 1:2000

Formulation, Preparation, and Storage

Purification

Affinity purified

Formulation

PBS (pH 7.3), 50% glycerol

Format

BSA Free

Preservative

0.01% Thimerosal

Concentration

Please see the vial label for concentration. If unlisted please contact technical services.

Shipping

The product is shipped with polar packs. Upon receipt, store it immediately at the temperature recommended below.

Stability & Storage

Store at -20C. Avoid freeze-thaw cycles.

Background: TMX2

TMX2 is a gene that codes for a widely expressed single-pass type 1 membrane protein that has two isoforms, with lengths of 296 and 258 amino acids, and weights of approximately 34 and 30 kDa respectively. TMX2 has been shown to have interactions with COMMD8, TMX1, TMX3, CANX, and TMX4.

Alternate Names

Cell proliferation-inducing gene 26 protein, DKFZp781O2021, growth-inhibiting gene 11, MGC111151, PDIA12, PIG26, protein disulfide isomerase family A, member 12, thioredoxin domain containing 14, Thioredoxin domain-containing protein 14, thioredoxin-related transmembrane protein 2, TXNDC14

Gene Symbol

TMX2

Additional TMX2 Products

Product Documents for TMX2 Antibody - BSA Free

Certificate of Analysis

To download a Certificate of Analysis, please enter a lot number in the search box below.

Product Specific Notices for TMX2 Antibody - BSA Free

This product is for research use only and is not approved for use in humans or in clinical diagnosis. Primary Antibodies are guaranteed for 1 year from date of receipt.

Loading...
Loading...
Loading...
Loading...