Skip to main content

TMPRSS4 Antibody - BSA Free

Novus Biologicals, part of Bio-Techne | Catalog # NBP3-45180

Novus Biologicals, part of Bio-Techne
Catalog #
Availability
Size / Price
Qty
Loading...
NBP3-45180

Key Product Details

Species Reactivity

Human, Mouse, Rat

Applications

ELISA, Immunohistochemistry, Western Blot

Label

Unconjugated

Antibody Source

Polyclonal Rabbit IgG

Format

BSA Free

Concentration

Please see the vial label for concentration. If unlisted please contact technical services.

Product Specifications

Immunogen

transmembrane protease, serine 4. (Uniprot# Q9NRS4)

Clonality

Polyclonal

Host

Rabbit

Isotype

IgG

Theoretical MW

55 kDa.
Disclaimer note: The observed molecular weight of the protein may vary from the listed predicted molecular weight due to post translational modifications, post translation cleavages, relative charges, and other experimental factors.

Description

Novus Biologicals Rabbit TMPRSS4 Antibody - BSA Free (NBP3-45180) is a polyclonal antibody validated for use in IHC, WB and ELISA. All Novus Biologicals antibodies are covered by our 100% guarantee.

Scientific Data Images for TMPRSS4 Antibody - BSA Free

TMPRSS4 Antibody - BSA Free

Western Blot: TMPRSS4 Antibody - BSA Free [NBP3-45180] -

Western Blot: TMPRSS4 Antibody - BSA Free [NBP3-45180] - SW 1990 cells were subjected to SDS PAGE followed by western blot with (TMPRSS4 Antibody) at dilution of 1:1000
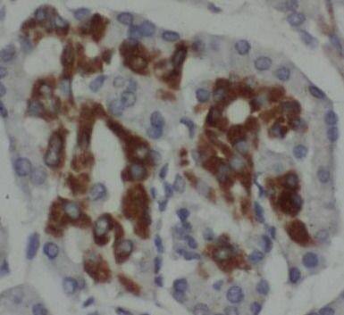
TMPRSS4 Antibody - BSA Free

Immunohistochemistry: TMPRSS4 Antibody - BSA Free [NBP3-45180] -

Immunohistochemistry: TMPRSS4 Antibody - BSA Free [NBP3-45180] - Immunohistochemistry of paraffin-embedded human pancreas cancer tissue slide using (TMPRSS4 Antibody) at dilution of 1:200

Applications for TMPRSS4 Antibody - BSA Free

Application
Recommended Usage

Immunohistochemistry

1:100-1:400

Western Blot

1:500-1:2000

Formulation, Preparation, and Storage

Purification

Immunogen affinity purified

Formulation

PBS, 50% Glycerol, pH (7.3)

Format

BSA Free

Preservative

0.02% Sodium Azide

Concentration

Please see the vial label for concentration. If unlisted please contact technical services.

Shipping

The product is shipped with polar packs. Upon receipt, store it immediately at the temperature recommended below.

Stability & Storage

Store at -20C. Avoid freeze-thaw cycles.

Background: TMPRSS4

TMPRSS4 encodes a member of the serine protease family. Serine proteases are known to be involved in a variety of biological processes, whose malfunction often leads to human diseases and disorders. This gene was identified as a gene overexpressed in pancreatic carcinoma. The encoded protein is membrane bound with a N-terminal anchor sequence and a glycosylated extracellular region containing the serine protease domain. Multiple transcript variants encoding different isoforms have been found for this gene.

Long Name

Transmembrane protease, serine 4

Alternate Names

CAPH2, MT-SP2

Gene Symbol

TMPRSS4

Additional TMPRSS4 Products

Product Documents for TMPRSS4 Antibody - BSA Free

Certificate of Analysis

To download a Certificate of Analysis, please enter a lot number in the search box below.

Product Specific Notices for TMPRSS4 Antibody - BSA Free

This product is for research use only and is not approved for use in humans or in clinical diagnosis. Primary Antibodies are guaranteed for 1 year from date of receipt.

Loading...
Loading...
Loading...
Loading...