Skip to main content

TMPRSS4 Antibody - BSA Free

Novus Biologicals, part of Bio-Techne | Catalog # NBP3-14501

Novus Biologicals, part of Bio-Techne
Catalog #
Availability
Size / Price
Qty
Loading...
NBP3-14501

Key Product Details

Species Reactivity

Validated:

Human

Predicted:

Chimpanzee (94%), Orangutan (94%). Backed by our 100% Guarantee.

Applications

Immunohistochemistry, Immunohistochemistry-Paraffin

Label

Unconjugated

Antibody Source

Polyclonal Rabbit

Format

BSA Free

Concentration

1 mg/ml

Product Specifications

Immunogen

Synthetic 18 amino acid peptide from N-Terminus of human TMPRSS4.

Epitope

N-Terminus

Reactivity Notes

Expected reactivity based on percent sequence identity: Gorilla, Monkey (89%), Marmoset, Canine (83%)

Specificity

Human TMPRSS4. BLAST analysis of the peptide immunogen showed no homology with other human proteins.

Clonality

Polyclonal

Host

Rabbit

Description

Product can be stored undiluted at 4C for up to 1 month.

Scientific Data Images for TMPRSS4 Antibody - BSA Free

Immunohistochemistry-Paraffin: TMPRSS4 Antibody [NBP3-14501]

Immunohistochemistry-Paraffin: TMPRSS4 Antibody [NBP3-14501]

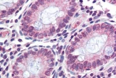
Immunohistochemistry-Paraffin: TMPRSS4 Antibody [NBP3-14501] - Immunohistochemistry of formalin-fixed, paraffin-embedded human small intestine after heat-induced antigen retrieval.
Immunohistochemistry-Paraffin: TMPRSS4 Antibody [NBP3-14501]

Immunohistochemistry-Paraffin: TMPRSS4 Antibody [NBP3-14501]

Immunohistochemistry-Paraffin: TMPRSS4 Antibody [NBP3-14501] - Immunohistochemistry of formalin-fixed, paraffin-embedded human colon after heat-induced antigen retrieval.

Applications for TMPRSS4 Antibody - BSA Free

Application
Recommended Usage

Immunohistochemistry

Optimal dilutions of this antibody should be experimentally determined.

Immunohistochemistry-Paraffin

Optimal dilutions of this antibody should be experimentally determined.
Application Notes
Antigen retrieval with HIER and sodium citrate at pH 6.0 is required for Immunohistochemistry using formalin-fixed paraffin-embedded human tissues..

Formulation, Preparation, and Storage

Purification

Immunogen affinity purified

Formulation

PBS

Format

BSA Free

Preservative

0.1% Sodium Azide

Concentration

1 mg/ml

Shipping

The product is shipped with polar packs. Upon receipt, store it immediately at the temperature recommended below.

Stability & Storage

Keep as concentrated solution. Aliquot and store at -20C or below. Avoid multiple freeze-thaw cycles.

Background: TMPRSS4

TMPRSS4 encodes a member of the serine protease family. Serine proteases are known to be involved in a variety of biological processes, whose malfunction often leads to human diseases and disorders. This gene was identified as a gene overexpressed in pancreatic carcinoma. The encoded protein is membrane bound with a N-terminal anchor sequence and a glycosylated extracellular region containing the serine protease domain. Multiple transcript variants encoding different isoforms have been found for this gene.

Long Name

Transmembrane protease, serine 4

Alternate Names

CAPH2, MT-SP2

Gene Symbol

TMPRSS4

Additional TMPRSS4 Products

Product Documents for TMPRSS4 Antibody - BSA Free

Certificate of Analysis

To download a Certificate of Analysis, please enter a lot number in the search box below.

Product Specific Notices for TMPRSS4 Antibody - BSA Free

This product is for research use only and is not approved for use in humans or in clinical diagnosis. Primary Antibodies are guaranteed for 1 year from date of receipt.

Loading...
Loading...
Loading...
Loading...