Skip to main content

TMPRSS2 Antibody (CL12512) - Azide and BSA Free

Novus Biologicals, part of Bio-Techne | Catalog # NBP3-44153

Novus Biologicals, part of Bio-Techne

Key Product Details

Validated by

Orthogonal Validation

Species Reactivity

Human

Applications

Immunohistochemistry-Paraffin

Label

Unconjugated

Antibody Source

Monoclonal Mouse IgG1 Clone # CL12512

Format

Azide and BSA Free

Concentration

LYOPH mg/ml

Product Specifications

Immunogen

This antibody was generated using a recombinant protein sequence of O15393, with the exact immunogen sequence remaining proprietary.

Clonality

Monoclonal

Host

Mouse

Isotype

IgG1

Description

Novus Biologicals Mouse TMPRSS2 Antibody (CL12512) - Azide and BSA Free (NBP3-18573) is a monoclonal antibody validated for use in IHC. All Novus Biologicals antibodies are covered by our 100% guarantee.

Scientific Data Images for TMPRSS2 Antibody (CL12512) - Azide and BSA Free

TMPRSS2 Antibody (CL12512) - Azide and BSA Free Immunohistochemistry-Paraffin: TMPRSS2 Antibody [NBP3-44153]

Immunohistochemistry-Paraffin: TMPRSS2 Antibody [NBP3-44153]

Analysis in human prostate and skeletal muscle tissues using NBP3-44153 antibody. Corresponding TMPRSS2 RNA-seq data are presented for the same tissues.
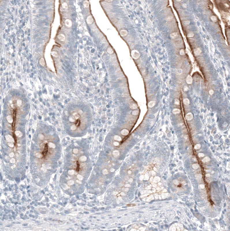
TMPRSS2 Antibody (CL12512) - Azide and BSA Free Immunohistochemistry-Paraffin: TMPRSS2 Antibody [NBP3-44153]

Immunohistochemistry-Paraffin: TMPRSS2 Antibody [NBP3-44153]

Staining of human duodenum shows strong membranous positivity in glandular cells.
TMPRSS2 Antibody (CL12512) - Azide and BSA Free Immunohistochemistry-Paraffin: TMPRSS2 Antibody [NBP3-44153]

Immunohistochemistry-Paraffin: TMPRSS2 Antibody [NBP3-44153]

Staining of human skeletal muscle shows no positivity in myocytes as expected.

Applications for TMPRSS2 Antibody (CL12512) - Azide and BSA Free

Application
Recommended Usage

Immunohistochemistry-Paraffin

1:10000 - 1:20000
Application Notes
For use with IHC-Paraffin, HIER pH 6 retrieval is recommended.

Formulation, Preparation, and Storage

Purification

Protein A purified

Reconstitution

Centrifuge the vial of lyophilized antibody at 12,000 x g for 20 seconds. Reconstitute by adding sterile, distilled water to achieve a final antibody concentration of 1mg/ml.

Formulation

Lyophilized from a 0.2 um filtered solution in PBS with Trehalose

Format

Azide and BSA Free

Preservative

No Preservative

Concentration

LYOPH mg/ml

Shipping

The product is shipped at ambient temperature. Upon receipt, store it immediately at the temperature recommended below.

Stability & Storage

Store at 4C short term. Aliquot and store at -20C long term. Avoid freeze-thaw cycles.

Background: TMPRSS2

TMPRSS2, also called Epitheliasin in mice, is a 492 amino acid type II transmembrane serine protease located on human chromosome 21q22.3 that encodes at least 2 isoforms. This glycosylated serine protease (theoretical molecular weight 70kDa) is regulated by androgens and expressed on the plasma membrane of human bronchial epithelial cells, nasal goblet cells, small intestine epithelia, gastrointestinal tract, the stomach, kidneys and pancreas, with the greatest abundance found in the prostate gland. While the physiological function of TMPRSS2 remains unknown, the serine protease domain undergoes autocleavage and the 32 kDa domain is secreted enabling its interaction with the extracellular matrix. Fusions between TMPRSS2 and the ETS transcription factor genes ERG, ETV1, and ETV4 have been reported in prostate cancer with the TMPRSS2 ERG gene fusion resulting in ERG overexpression in 40-80% of these cases and often producing a more aggressive phenotype. Androgen signaling is disrupted in prostate cancers with the TMPRSS2 ERG fusion which contributes to the switch from androgen dependent to androgen independent prostate cancer (1,2).

TMPRSS2 has also been shown to play a critical role in the process of viral entry for coronaviruses and influenza viruses thru proteolytic activation of key viral glycoproteins. One pathway for SARS-CoV-2 infection, which causes the COVID-19 disease, involves binding of the SARS-CoV-2 Spike 'S' glycoprotein to the human ACE2 receptor and cleavage of S by TMPRSS2 at the cell surface to facilitate viral entry. TMPRSS2 mediates viral entry in a similar mechanism for other coronaviruses such as SARS-CoV and MERS. The broad-spectrum serine protease inhibitor, Camostat, is a TMPRSS2 inhibitor demonstrated to protect mice with lethal SARS-CoV infections (3).

References

1. Clark, J., Cooper, C. (2009) ETS gene fusions in prostate cancer. Nat Rev Urol 6, 429-439. PMID: 19657377

2. Duffy, MJ. (2014) Chapter One - PSA in Screening for Prostate Cancer: More Good than Harm or More Harm than Good? Adv Clin Chem. 66:1-23. PMID: 25344984

3. Shen LW, Mao HJ, Wu YL, Tanaka Y, Zhang W. (2017) TMPRSS2: A potential target for treatment of influenza virus and coronavirus infections. Biochimie. 142:1-10

Long Name

Transmembrane protease, serine 2

Alternate Names

Epitheliasin, PP9284, PRSS10

Gene Symbol

TMPRSS2

Additional TMPRSS2 Products

Product Documents for TMPRSS2 Antibody (CL12512) - Azide and BSA Free

Certificate of Analysis

To download a Certificate of Analysis, please enter a lot number in the search box below.

Product Specific Notices for TMPRSS2 Antibody (CL12512) - Azide and BSA Free

This product is for research use only and is not approved for use in humans or in clinical diagnosis. Primary Antibodies are guaranteed for 1 year from date of receipt.

Loading...
Loading...
Loading...
Loading...
Loading...