Skip to main content

Tmp21/p23 Antibody (PSH01-41)

Novus Biologicals, part of Bio-Techne | Catalog # NBP3-33031

Recombinant Monoclonal Antibody
Novus Biologicals, part of Bio-Techne
Catalog #
Availability
Size / Price
Qty
Loading...
NBP3-33031

Key Product Details

Species Reactivity

Human, Mouse, Rat

Applications

Flow Cytometry, Immunocytochemistry/ Immunofluorescence, Immunohistochemistry, Immunohistochemistry-Paraffin, Western Blot

Label

Unconjugated

Antibody Source

Recombinant Monoclonal Rabbit IgG Clone # PSH01-41 expressed in HEK293

Concentration

1 mg/ml

Product Specifications

Immunogen

Recombinant protein within human Tmp21/p23 aa 1-200 / 219. (Uniprot: P49755)

Localization

Endoplasmic reticulum membrane, Endoplasmic reticulum-Golgi intermediate compartment membrane, Golgi apparatus membrane, Golgi apparatus, cis-Golgi network membrane, Golgi apparatus, trans-Golgi network membrane, Cytoplasmic vesicle, secretory vesicle membrane, Cell membrane, Melanosome.

Clonality

Monoclonal

Host

Rabbit

Isotype

IgG

Theoretical MW

25 kDa.
Disclaimer note: The observed molecular weight of the protein may vary from the listed predicted molecular weight due to post translational modifications, post translation cleavages, relative charges, and other experimental factors.

Description

Novus Biologicals Rabbit Tmp21/p23 Antibody (PSH01-41) (NBP3-33031) is a recombinant monoclonal antibody validated for use in IHC, WB, Flow and ICC/IF. All Novus Biologicals antibodies are covered by our 100% guarantee.

Scientific Data Images for Tmp21/p23 Antibody (PSH01-41)

Tmp21/p23 Antibody (PSH01-41)

Western Blot: Tmp21/p23 Antibody (PSH01-41) [NBP3-33031]

Western Blot: Tmp21/p23 Antibody (PSH01-41) [NBP3-33031] - Western blot analysis of Tmp21/p23 on different lysates with Rabbit anti-Tmp21/p23 antibody (NBP3-33031) at 1/5,000 dilution.

Lane 1: HeLa cell lysate (20 ug/Lane)
Lane 2: 293T cell lysate (20 ug/Lane)
Lane 3: Raji cell lysate (20 ug/Lane)
Lane 4: Jurkat cell lysate (20 ug/Lane)
Lane 5: HepG2 cell lysate (20 ug/Lane)
Lane 6: U-87 MG cell lysate (20 ug/Lane)
Lane 7: PC-12 cell lysate (20 ug/Lane)
Lane 8: Mouse pancreas tissue lysate (40 ug/Lane)
Lane 9: Rat pancreas tissue lysate (40 ug/Lane)
Lane 10: Rat liver tissue lysate (40 ug/Lane)

Predicted band size: 25 kDa
Observed band size: 19 kDa

Exposure time: 5 minutes 10 seconds;

4-20% SDS-PAGE gel.

Proteins were transferred to a PVDF membrane and blocked with 5% NFDM/TBST for 1 hour at room temperature. The primary antibody (NBP3-33031) at 1/5,000 dilution was used in 5% NFDM/TBST at room temperature for 2 hours. Goat Anti-Rabbit IgG - HRP Secondary Antibody at 1/50,000 dilution was used for 1 hour at room temperature.
Tmp21/p23 Antibody (PSH01-41)

Immunohistochemistry: Tmp21/p23 Antibody (PSH01-41) [NBP3-33031]

Immunohistochemistry: Tmp21/p23 Antibody (PSH01-41) [NBP3-33031] - Immunofluorescence analysis of paraffin-embedded human breast tissue labeling Tmp21/p23 with Rabbit anti-Tmp21/p23 antibody (NBP3-33031) at 1/200 dilution.

The section was pre-treated using heat mediated antigen retrieval with Tris-EDTA buffer (pH 9.0) for 20 minutes. The tissues were blocked in 10% negative goat serum for 1 hour at room temperature, washed with PBS, and then probed with the primary antibody (NBP3-33031, green) at 1/200 dilution overnight at 4 ℃, washed with PBS. Goat Anti-Rabbit IgG H&L (iFluor™ 488) was used as the secondary antibody at 1/1,000 dilution. Nuclei were counterstained with DAPI (blue).
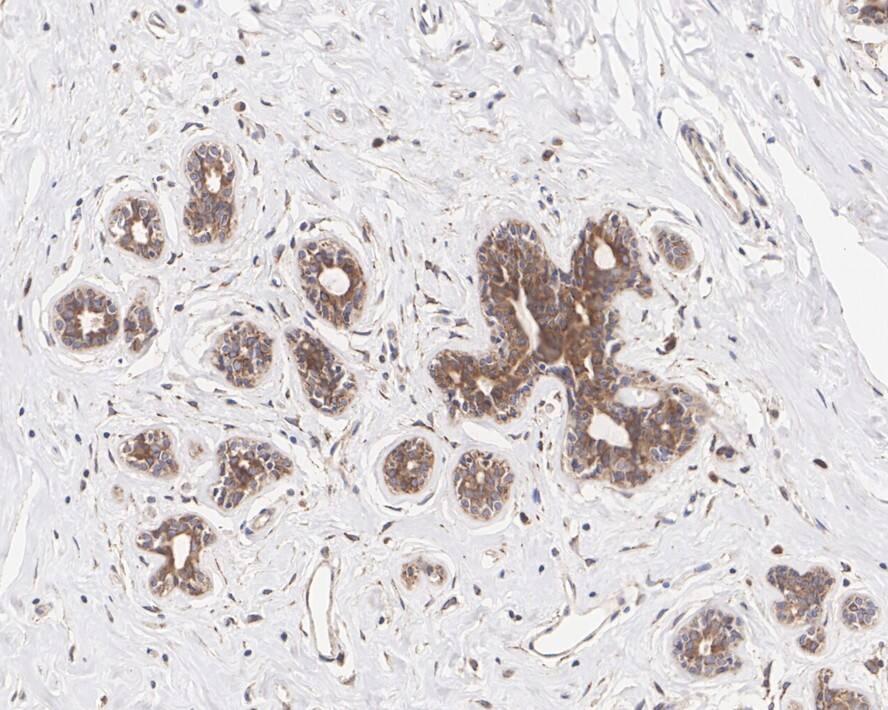
Tmp21/p23 Antibody (PSH01-41)

Immunohistochemistry: Tmp21/p23 Antibody (PSH01-41) [NBP3-33031]

Immunohistochemistry: Tmp21/p23 Antibody (PSH01-41) [NBP3-33031] - Immunohistochemical analysis of paraffin-embedded human breast tissue with Rabbit anti-Tmp21/p23 antibody (NBP3-33031) at 1/200 dilution.

The section was pre-treated using heat mediated antigen retrieval with Tris-EDTA buffer (pH 9.0) for 20 minutes. The tissues were blocked in 1% BSA for 20 minutes at room temperature, washed with ddH2O and PBS, and then probed with the primary antibody (NBP3-33031) at 1/200 dilution for 1 hour at room temperature. The detection was performed using an HRP conjugated compact polymer system. DAB was used as the chromogen. Tissues were counterstained with hematoxylin and mounted with DPX.

Applications for Tmp21/p23 Antibody (PSH01-41)

Application
Recommended Usage

Flow Cytometry

1:500-1:1000

Immunocytochemistry/ Immunofluorescence

1:250

Immunohistochemistry-Paraffin

1:200

Western Blot

1:5000

Formulation, Preparation, and Storage

Purification

Protein A purified

Formulation

PBS (pH7.4), 0.1% BSA and 40% Glycerol

Preservative

0.05% Sodium Azide

Concentration

1 mg/ml

Shipping

The product is shipped with polar packs. Upon receipt, store it immediately at the temperature recommended below.

Stability & Storage

Store at 4C short term. Aliquot and store at -20C long term. Avoid freeze-thaw cycles.

Background: Tmp21/p23

TMP21 is a ubiquitously expressed protein that is involved in vesicular targeting and protein transport. More recent experiments have shown that it is also a component in the presenilin complex and modulates the gamma-secretase, but not the epsilon-secretase cleavage activity of the amyloid precursor protein. The presenilin complex is composed of the proteins APH1, nicastrin, and PEN2 in addition to presenilin-1. Together, these proteins cleave the amyloid precursor protein at what is known as the gamma- and epsilon-sites, and can lead to the accumulation of the Abeta cleavage product that is associated with Alzheimer's disease. Co-immunoprecipitation experiments using antibodies against these proteins also yielded TMP21, indicating that TMP21 may play a role in the regulation of this complex. Suppression of TMP21 expression by siRNA in transfected cells caused increased gamma-secretase activity and Abeta production, but not epsilon-secretase activity, demonstrating that TMP21 can modulate gamma-secretase activity.

Long Name

21 kDa Transmembrane Trafficking Protein

Alternate Names

p24delta, S31I125, S31III125, TMED10

Gene Symbol

TMED10

Additional Tmp21/p23 Products

Product Documents for Tmp21/p23 Antibody (PSH01-41)

Certificate of Analysis

To download a Certificate of Analysis, please enter a lot number in the search box below.

Product Specific Notices for Tmp21/p23 Antibody (PSH01-41)

This product is for research use only and is not approved for use in humans or in clinical diagnosis. Primary Antibodies are guaranteed for 1 year from date of receipt.

Loading...
Loading...
Loading...
Loading...
Loading...