TMLHE Antibody - BSA Free
Novus Biologicals, part of Bio-Techne | Catalog # NBP3-06385
Conjugate
Catalog #
Key Product Details
Species Reactivity
Human
Applications
Immunohistochemistry, Immunohistochemistry-Paraffin, Western Blot
Label
Unconjugated
Antibody Source
Polyclonal Rabbit IgG
Format
BSA Free
Concentration
Please see the vial label for concentration. If unlisted please contact technical services.
Product Specifications
Immunogen
Produced in rabbits immunized with E. coli-derived Human TMLHE fragment.
Clonality
Polyclonal
Host
Rabbit
Isotype
IgG
Description
This antibody can be stored at 2C-8C for one month without detectable loss of activity. Antibody products are stable for twelve months from date of receipt when stored at -20C to -80C. Avoid repeated freeze-thaw cycles.
Scientific Data Images for TMLHE Antibody - BSA Free
Western Blot: TMLHE Antibody [NBP3-06385]
Western Blot: TMLHE Antibody [NBP3-06385] - Anti-TMLHE rabbit polyclonal antibody at 1:500 dilutionLane A: HepG2 Whole Cell LysateLane B: MCF7 Whole Cell LysateLysatesroteins at 30 ug per lane. Secondary: Goat Anti-Rabbit IgG (H+L) HRP at 110000 dilution. Developed using the ECL technique. Performed under reducing conditions. Predicted band size: 50 kDa.Immunohistochemistry-Paraffin: TMLHE Antibody [NBP3-06385]
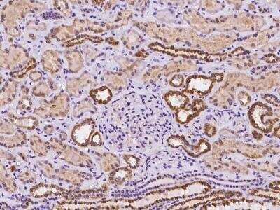
Immunohistochemistry-Paraffin: TMLHE Antibody [NBP3-06385] - Immunochemical staining of human TMLHE in human kidney with rabbit polyclonal antibody at 1:100 dilution, formalin-fixed paraffin embedded sections.Applications for TMLHE Antibody - BSA Free
Application
Recommended Usage
Immunohistochemistry-Paraffin
1:50-1:200
Western Blot
1:500-1:2000
Formulation, Preparation, and Storage
Purification
Antigen and protein A Affinity-purified
Formulation
PBS
Format
BSA Free
Preservative
0.03% Proclin 300
Concentration
Please see the vial label for concentration. If unlisted please contact technical services.
Shipping
The product is shipped with polar packs. Upon receipt, store it immediately at the temperature recommended below.
Stability & Storage
Store at 4C short term. Aliquot and store at -20C long term. Avoid freeze-thaw cycles.
Background: TMLHE
Alternate Names
BBOX2TML-alpha-ketoglutarate dioxygenase, butyrobetaine (gamma), 2-oxoglutarate dioxygenase (gamma-butyrobetainehydroxylase) 2, EC 1.14.11.8, Epsilon-trimethyllysine 2-oxoglutarate dioxygenase, Epsilon-trimethyllysine hydroxylase, FLJ10727, TML dioxygenase, TMLD, TMLHTML hydroxylase, trimethyllysine dioxygenase, mitochondrial, trimethyllysine hydroxylase, epsilon, XAP130
Gene Symbol
TMLHE
Additional TMLHE Products
Product Specific Notices for TMLHE Antibody - BSA Free
This product is for research use only and is not approved for use in humans or in clinical diagnosis. Primary Antibodies are guaranteed for 1 year from date of receipt.
Loading...
Loading...
Loading...
Loading...