Skip to main content

TMIE Antibody - BSA Free

Novus Biologicals, part of Bio-Techne | Catalog # NBP1-84260

Novus Biologicals, part of Bio-Techne
Catalog #
Availability
Size / Price
Qty
Loading...
NBP1-84260
NBP1-84260-25ul

Key Product Details

Species Reactivity

Validated:

Human

Predicted:

Mouse (98%), Rat (98%). Backed by our 100% Guarantee.

Applications

Immunohistochemistry, Immunohistochemistry-Paraffin

Label

Unconjugated

Antibody Source

Polyclonal Rabbit IgG

Format

BSA Free

Concentration

Concentrations vary lot to lot. See vial label for concentration. If unlisted please contact technical services.

Product Specifications

Immunogen

This antibody was developed against Recombinant Protein corresponding to amino acids: RTRKEIEARYLQRKAAKMYTDKLETVPPLNELTEVPGEDKKKKK

Clonality

Polyclonal

Host

Rabbit

Isotype

IgG

Description

Novus Biologicals Rabbit TMIE Antibody - BSA Free (NBP1-84260) is a polyclonal antibody validated for use in IHC. All Novus Biologicals antibodies are covered by our 100% guarantee.

Scientific Data Images for TMIE Antibody - BSA Free

TMIE Antibody - BSA Free Immunohistochemistry-Paraffin: TMIE Antibody - BSA Free [NBP1-84260]

Immunohistochemistry-Paraffin: TMIE Antibody - BSA Free [NBP1-84260]

Staining of human cerebellum shows strong cytoplasmic positivity in Purkinje cells.
TMIE Antibody - BSA Free Immunohistochemistry-Paraffin: TMIE Antibody - BSA Free [NBP1-84260]

Immunohistochemistry-Paraffin: TMIE Antibody - BSA Free [NBP1-84260]

Staining of human skeletal muscle shows very weak positivity in myocytes as expected.
TMIE Antibody - BSA Free Immunohistochemistry-Paraffin: TMIE Antibody - BSA Free [NBP1-84260]

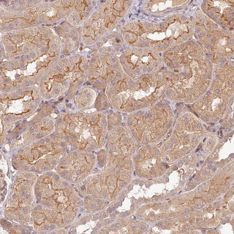
Immunohistochemistry-Paraffin: TMIE Antibody - BSA Free [NBP1-84260]

Staining of human kidney shows moderate membranous and cytoplasmic positivity in cells in tubules.

Applications for TMIE Antibody - BSA Free

Application
Recommended Usage

Immunohistochemistry

1:50 - 1:200

Immunohistochemistry-Paraffin

1:50 - 1:200
Application Notes
For IHC-Paraffin, HIER pH 6 retrieval is recommended.

Formulation, Preparation, and Storage

Purification

Immunogen affinity purified

Formulation

PBS (pH 7.2) and 40% Glycerol

Format

BSA Free

Preservative

0.02% Sodium Azide

Concentration

Concentrations vary lot to lot. See vial label for concentration. If unlisted please contact technical services.

Shipping

The product is shipped with polar packs. Upon receipt, store it immediately at the temperature recommended below.

Stability & Storage

Store at 4C short term. Aliquot and store at -20C long term. Avoid freeze-thaw cycles.

Background: TMIE

TMIE - transmembrane inner ear

Alternate Names

deafness, autosomal recessive 6, DFNB6, transmembrane inner ear, transmembrane inner ear expressed protein, transmembrane inner ear protein

Gene Symbol

TMIE

Additional TMIE Products

Product Documents for TMIE Antibody - BSA Free

Certificate of Analysis

To download a Certificate of Analysis, please enter a lot number in the search box below.

Product Specific Notices for TMIE Antibody - BSA Free

This product is for research use only and is not approved for use in humans or in clinical diagnosis. Primary Antibodies are guaranteed for 1 year from date of receipt.

Loading...
Loading...
Loading...
Loading...