Skip to main content

TMEM222 Antibody - BSA Free

Novus Biologicals, part of Bio-Techne | Catalog # NBP2-49295

Novus Biologicals, part of Bio-Techne
Catalog #
Availability
Size / Price
Qty
Loading...
NBP2-49295-25ul
NBP2-49295

Key Product Details

Species Reactivity

Validated:

Human

Predicted:

Rat (91%). Backed by our 100% Guarantee.

Applications

Validated:

Immunohistochemistry, Immunohistochemistry-Paraffin, Western Blot, Immunocytochemistry/ Immunofluorescence

Cited:

Western Blot

Label

Unconjugated

Antibody Source

Polyclonal Rabbit IgG

Format

BSA Free

Concentration

Concentrations vary lot to lot. See vial label for concentration. If unlisted please contact technical services.

Product Specifications

Immunogen

This antibody was developed against a recombinant protein corresponding to amino acids: PRMAEVEAPTAAETDMKQYQGSGGVAMDVERSRF

Reactivity Notes

Mouse (88%)

Clonality

Polyclonal

Host

Rabbit

Isotype

IgG

Description

Novus Biologicals Rabbit TMEM222 Antibody - BSA Free (NBP2-49295) is a polyclonal antibody validated for use in IHC, WB and ICC/IF. Anti-TMEM222 Antibody: Cited in 1 publication. All Novus Biologicals antibodies are covered by our 100% guarantee.

Scientific Data Images for TMEM222 Antibody - BSA Free

Immunocytochemistry/ Immunofluorescence: TMEM222 Antibody [NBP2-49295]

Immunocytochemistry/ Immunofluorescence: TMEM222 Antibody [NBP2-49295]

Immunocytochemistry/Immunofluorescence: TMEM222 Antibody [NBP2-49295] - Immunofluorescent staining of human cell line U-2 OS shows localization to cytosol.
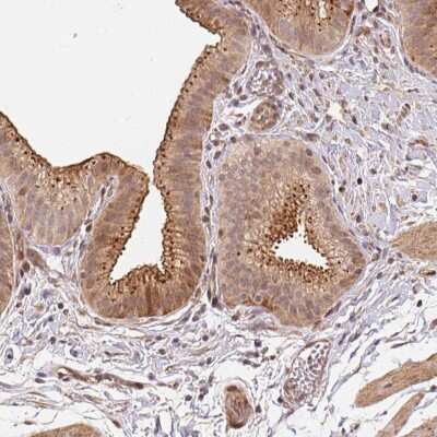
Immunohistochemistry-Paraffin: TMEM222 Antibody [NBP2-49295]

Immunohistochemistry-Paraffin: TMEM222 Antibody [NBP2-49295]

Immunohistochemistry-Paraffin: TMEM222 Antibody [NBP2-49295] - Staining of human gallbladder shows cytoplasmic and membrane positivity in glandular cells.

Applications for TMEM222 Antibody - BSA Free

Application
Recommended Usage

Immunocytochemistry/ Immunofluorescence

0.25-2 ug/ml

Immunohistochemistry

1:200 - 1:500

Immunohistochemistry-Paraffin

1:200 - 1:500

Western Blot

Reported in scientific literature (PMID:33824500)
Application Notes
For IHC-Paraffin, HIER pH 6 retrieval is recommended. ICC/IF,Fixation Permeabilization: Use PFA/Triton X-100.

Formulation, Preparation, and Storage

Purification

Affinity purified

Formulation

PBS (pH 7.2) and 40% Glycerol

Format

BSA Free

Preservative

0.02% Sodium Azide

Concentration

Concentrations vary lot to lot. See vial label for concentration. If unlisted please contact technical services.

Shipping

The product is shipped with polar packs. Upon receipt, store it immediately at the temperature recommended below.

Stability & Storage

Store at 4C short term. Aliquot and store at -20C long term. Avoid freeze-thaw cycles.

Background: TMEM222

Alternate Names

C1orf160, chromosome 1 open reading frame 160, DKFZp564D0478, MGC111002, transmembrane protein 222

Gene Symbol

TMEM222

Additional TMEM222 Products

Product Documents for TMEM222 Antibody - BSA Free

Certificate of Analysis

To download a Certificate of Analysis, please enter a lot number in the search box below.

Product Specific Notices for TMEM222 Antibody - BSA Free

This product is for research use only and is not approved for use in humans or in clinical diagnosis. Primary Antibodies are guaranteed for 1 year from date of receipt.

Loading...
Loading...
Loading...
Loading...