Skip to main content

TMEM168 Antibody - BSA Free

Novus Biologicals, part of Bio-Techne | Catalog # NBP3-45212

Novus Biologicals, part of Bio-Techne
Catalog #
Availability
Size / Price
Qty
Loading...
NBP3-45212

Key Product Details

Species Reactivity

Human, Mouse, Rat

Applications

ELISA, Immunohistochemistry, Western Blot

Label

Unconjugated

Antibody Source

Polyclonal Rabbit IgG

Format

BSA Free

Concentration

Please see the vial label for concentration. If unlisted please contact technical services.

Product Specifications

Immunogen

transmembrane protein 168. (Uniprot# Q9H0V1)

Clonality

Polyclonal

Host

Rabbit

Isotype

IgG

Theoretical MW

120 kDa.
Disclaimer note: The observed molecular weight of the protein may vary from the listed predicted molecular weight due to post translational modifications, post translation cleavages, relative charges, and other experimental factors.

Description

Novus Biologicals Rabbit TMEM168 Antibody - BSA Free (NBP3-45212) is a polyclonal antibody validated for use in IHC, WB and ELISA. All Novus Biologicals antibodies are covered by our 100% guarantee.

Scientific Data Images for TMEM168 Antibody - BSA Free

TMEM168 Antibody - BSA Free

Western Blot: TMEM168 Antibody - BSA Free [NBP3-45212] -

Western Blot: TMEM168 Antibody - BSA Free [NBP3-45212] - Mouse brain tissue were subjected to SDS PAGE followed by western blot with (TMEM168 antibody) at dilution of 1:1000
TMEM168 Antibody - BSA Free

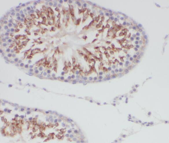
Immunohistochemistry: TMEM168 Antibody - BSA Free [NBP3-45212] -

Immunohistochemistry: TMEM168 Antibody - BSA Free [NBP3-45212] - Immunohistochemistry of paraffin-embedded human testis slide using (TMEM168 Antibody) at dilution of 1:50

Applications for TMEM168 Antibody - BSA Free

Application
Recommended Usage

Immunohistochemistry

1:20-1:200

Western Blot

1:500-1:2000

Formulation, Preparation, and Storage

Purification

Immunogen affinity purified

Formulation

PBS, 50% Glycerol, pH (7.3)

Format

BSA Free

Preservative

0.02% Sodium Azide

Concentration

Please see the vial label for concentration. If unlisted please contact technical services.

Shipping

The product is shipped with polar packs. Upon receipt, store it immediately at the temperature recommended below.

Stability & Storage

Store at -20C. Avoid freeze-thaw cycles.

Background: TMEM168

Alternate Names

FLJ13576, transmembrane protein 168

Gene Symbol

TMEM168

Additional TMEM168 Products

Product Documents for TMEM168 Antibody - BSA Free

Certificate of Analysis

To download a Certificate of Analysis, please enter a lot number in the search box below.

Product Specific Notices for TMEM168 Antibody - BSA Free

This product is for research use only and is not approved for use in humans or in clinical diagnosis. Primary Antibodies are guaranteed for 1 year from date of receipt.

Loading...
Loading...
Loading...
Loading...