Skip to main content

TMEM107 Antibody - BSA Free

Novus Biologicals, part of Bio-Techne | Catalog # NBP2-81865

Novus Biologicals, part of Bio-Techne

Key Product Details

Species Reactivity

Human

Applications

Immunohistochemistry, Immunohistochemistry-Paraffin, Western Blot, ELISA, Immunocytochemistry/ Immunofluorescence

Label

Unconjugated

Antibody Source

Polyclonal Rabbit IgG

Format

BSA Free

Concentration

1 mg/ml

Product Specifications

Immunogen

TMEM107 antibody was raised against a 19 amino acid peptide near the amino terminus of human TMEM107. The immunogen is located within amino acids 20 - 70 of TMEM107 . Amino Acid Squence: LPLTFTPEEYDKQDIHPL

Reactivity Notes

Immunogen displays the following percentage of sequence identity for non-tested species: Mouse: (86%), Rat: (86%)

Specificity

TMEM107 antibody is human specific. At least two isoforms of TMEM107 are known to exist.

Clonality

Polyclonal

Host

Rabbit

Isotype

IgG

Theoretical MW

19 kDa.
Disclaimer note: The observed molecular weight of the protein may vary from the listed predicted molecular weight due to post translational modifications, post translation cleavages, relative charges, and other experimental factors.

Description

Novus Biologicals Rabbit TMEM107 Antibody - BSA Free (NBP2-81865) is a polyclonal antibody validated for use in IHC, WB, ELISA and ICC/IF. All Novus Biologicals antibodies are covered by our 100% guarantee.

Scientific Data Images for TMEM107 Antibody - BSA Free

Western Blot: TMEM107 AntibodyBSA Free [NBP2-81865]

Western Blot: TMEM107 AntibodyBSA Free [NBP2-81865]

Western Blot: TMEM107 Antibody [NBP2-81865] - Analysis of TMEM107 in THP-1 cell lysate with TMEM107 antibody at 1 ug/ml in (A) the absence and (B) the presence of blocking peptide.
TMEM107 Antibody - BSA Free

Immunocytochemistry/ Immunofluorescence: TMEM107 Antibody - BSA Free [NBP2-81865] -

Immunocytochemistry/ Immunofluorescence: TMEM107 Antibody - BSA Free [NBP2-81865] - Immunofluorescence of TMEM107 in human lymph node tissue with TMEM107 antibody at 20 ug/mL.
TMEM107 Antibody - BSA Free

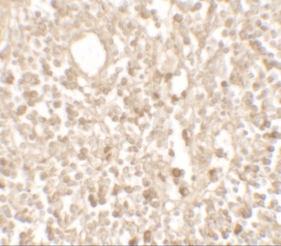
Immunohistochemistry: TMEM107 Antibody - BSA Free [NBP2-81865] -

Immunohistochemistry: TMEM107 Antibody - BSA Free [NBP2-81865] - Immunohistochemistry of TMEM107 in human lymph node tissue with TMEM107 antibody at 5 ug/mL.

Applications for TMEM107 Antibody - BSA Free

Application
Recommended Usage

Western Blot

1-2 ug/ml

Formulation, Preparation, and Storage

Purification

Peptide affinity purified

Formulation

PBS

Format

BSA Free

Preservative

0.02% Sodium Azide

Concentration

1 mg/ml

Shipping

The product is shipped with polar packs. Upon receipt, store it immediately at the temperature recommended below.

Stability & Storage

Store at 4C short term. Aliquot and store at -20C long term. Avoid freeze-thaw cycles.

Background: TMEM107

Alternate Names

transmembrane protein 107

Gene Symbol

TMEM107

Additional TMEM107 Products

Product Documents for TMEM107 Antibody - BSA Free

Certificate of Analysis

To download a Certificate of Analysis, please enter a lot number in the search box below.

Product Specific Notices for TMEM107 Antibody - BSA Free

This product is for research use only and is not approved for use in humans or in clinical diagnosis. Primary Antibodies are guaranteed for 1 year from date of receipt.

Loading...
Loading...
Loading...
Loading...