Skip to main content

TMEM 138 Antibody - BSA Free

Novus Biologicals, part of Bio-Techne | Catalog # NBP1-92528

Novus Biologicals, part of Bio-Techne
Catalog #
Availability
Size / Price
Qty
Loading...
NBP1-92528
NBP1-92528-25ul

Key Product Details

Species Reactivity

Validated:

Human

Predicted:

Mouse (96%), Rat (96%). Backed by our 100% Guarantee.

Applications

Immunohistochemistry, Immunohistochemistry-Paraffin, Western Blot

Label

Unconjugated

Antibody Source

Polyclonal Rabbit IgG

Format

BSA Free

Concentration

Concentrations vary lot to lot. See vial label for concentration. If unlisted please contact technical services.

Product Specifications

Immunogen

This antibody was developed against Recombinant Protein corresponding to amino acids: KRTAVRLGDPHFYQDSLWLRKEFMQVRR

Clonality

Polyclonal

Host

Rabbit

Isotype

IgG

Description

Novus Biologicals Rabbit TMEM 138 Antibody - BSA Free (NBP1-92528) is a polyclonal antibody validated for use in IHC and WB. All Novus Biologicals antibodies are covered by our 100% guarantee.

Scientific Data Images for TMEM 138 Antibody - BSA Free

Western Blot: TMEM 138 Antibody [NBP1-92528]

Western Blot: TMEM 138 Antibody [NBP1-92528]

Western Blot: TMEM 138 Antibody [NBP1-92528] - Analysis in control (vector only transfected HEK293T lysate) and TMEM138 over-expression lysate (Co-expressed with a C-terminal myc-DDK tag (3.1 kDa) in mammalian HEK293T cells).

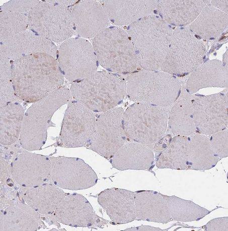
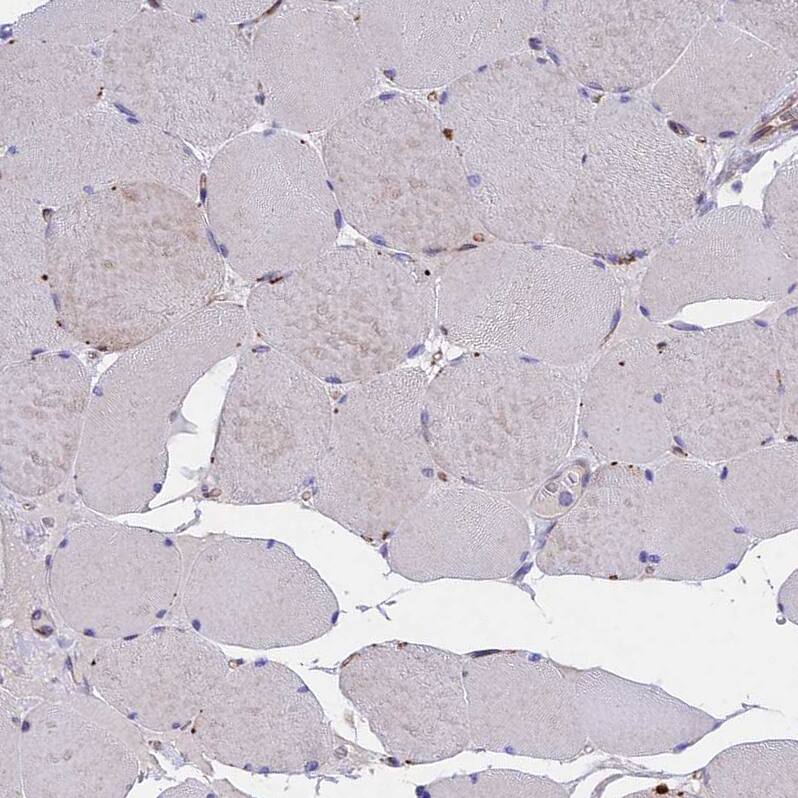
Staining of human skeletal muscle shows very weak positivity in myocytes.

Staining of human skeletal muscle shows very weak positivity in myocytes.
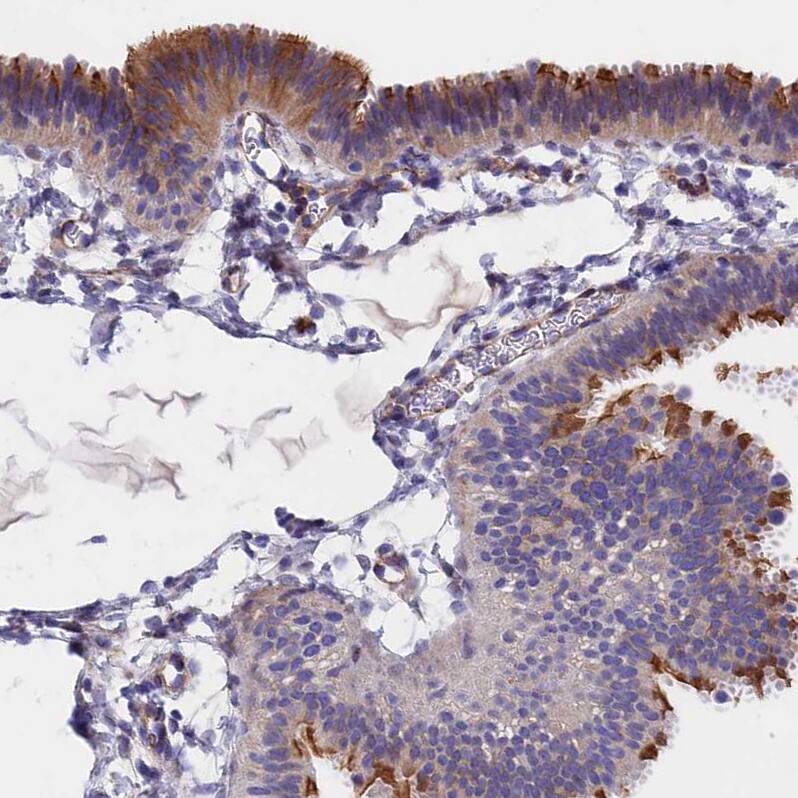
TMEM 138 Antibody - BSA Free Immunohistochemistry: TMEM 138 Antibody - BSA Free [NBP1-92528]

Immunohistochemistry: TMEM 138 Antibody - BSA Free [NBP1-92528]

Staining of human fallopian tube shows strong cytoplasmic and membranous positivity in glandular cells.

Applications for TMEM 138 Antibody - BSA Free

Application
Recommended Usage

Immunohistochemistry

1:50 - 1:200

Immunohistochemistry-Paraffin

1:50 - 1:200

Western Blot

0.04-0.4 ug/ml
Application Notes
For IHC-Paraffin, HIER pH 6 retrieval is recommended.

Formulation, Preparation, and Storage

Purification

Immunogen affinity purified

Formulation

PBS (pH 7.2) and 40% Glycerol

Format

BSA Free

Preservative

0.02% Sodium Azide

Concentration

Concentrations vary lot to lot. See vial label for concentration. If unlisted please contact technical services.

Shipping

The product is shipped with polar packs. Upon receipt, store it immediately at the temperature recommended below.

Stability & Storage

Store at 4C short term. Aliquot and store at -20C long term. Avoid freeze-thaw cycles.

Background: TMEM 138

HSPC196( AAH05201, 1 a.a. - 163 a.a.) full-length recombinant protein with GST.

Alternate Names

HSPC196, transmembrane protein 138

Gene Symbol

TMEM138

Additional TMEM 138 Products

Product Documents for TMEM 138 Antibody - BSA Free

Certificate of Analysis

To download a Certificate of Analysis, please enter a lot number in the search box below.

Product Specific Notices for TMEM 138 Antibody - BSA Free

This product is for research use only and is not approved for use in humans or in clinical diagnosis. Primary Antibodies are guaranteed for 1 year from date of receipt.

Loading...
Loading...
Loading...
Loading...