Skip to main content

TLK1 Antibody - BSA Free

Novus Biologicals, part of Bio-Techne | Catalog # NBP3-35473

Novus Biologicals, part of Bio-Techne
Catalog #
Availability
Size / Price
Qty
Loading...
NBP3-35473-20ul
NBP3-35473-100ul

Key Product Details

Species Reactivity

Human, Mouse, Rat

Applications

Immunohistochemistry, Immunohistochemistry-Paraffin, Western Blot, ELISA

Label

Unconjugated

Antibody Source

Polyclonal Rabbit IgG

Format

BSA Free

Concentration

Please see the vial label for concentration. If unlisted please contact technical services.

Product Specifications

Immunogen

Recombinant fusion protein containing a sequence corresponding to amino acids 160-230 of human TLK1 (NP_036422.3).

Sequence:
PVRGIPPAIRSPQNSHSHSTPSSSVRPNSPSPTALAFGDHPIVQPKQLSFKIIQTDLTMLKLAALESNKIQ

Clonality

Polyclonal

Host

Rabbit

Isotype

IgG

Theoretical MW

87 kDa.
Disclaimer note: The observed molecular weight of the protein may vary from the listed predicted molecular weight due to post translational modifications, post translation cleavages, relative charges, and other experimental factors.

Description

Novus Biologicals Rabbit TLK1 Antibody - BSA Free (NBP3-35473) is a polyclonal antibody validated for use in IHC, WB and ELISA. All Novus Biologicals antibodies are covered by our 100% guarantee.

Scientific Data Images for TLK1 Antibody - BSA Free

TLK1 Antibody

Western Blot: TLK1 Antibody [NBP3-35473] -

Western Blot: TLK1 Antibody [NBP3-35473] - Western blot analysis of various lysates using TLK1 Rabbit pAb at 1:1000 dilution.
Secondary antibody: HRP-conjugated Goat anti-Rabbit IgG (H+L) at 1:10000 dilution.
Lysates/proteins: 25ug per lane.
Blocking buffer: 3% nonfat dry milk in TBST.
Detection: ECL Basic Kit.
Exposure time: 180s.
TLK1 Antibody

Immunohistochemistry: TLK1 Antibody [NBP3-35473] -

Immunohistochemistry: TLK1 Antibody [NBP3-35473] - Immunohistochemistry analysis of paraffin-embedded Human placenta using TLK1 Rabbit pAb at dilution of 1:100 (40x lens). Microwave antigen retrieval performed with 0.01M PBS Buffer (pH 7.2) prior to IHC staining.
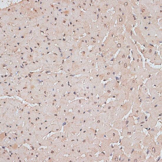
TLK1 Antibody

Immunohistochemistry: TLK1 Antibody [NBP3-35473] -

Immunohistochemistry: TLK1 Antibody [NBP3-35473] - Immunohistochemistry analysis of paraffin-embedded Rat heart using TLK1 Rabbit pAb at dilution of 1:100 (40x lens). Microwave antigen retrieval performed with 0.01M PBS Buffer (pH 7.2) prior to IHC staining.

Applications for TLK1 Antibody - BSA Free

Application
Recommended Usage

Immunohistochemistry-Paraffin

1:50 - 1:100

Western Blot

1:500 - 1:1000

Formulation, Preparation, and Storage

Purification

Affinity purified

Formulation

PBS (pH 7.3), 50% glycerol

Format

BSA Free

Preservative

0.02% Sodium Azide

Concentration

Please see the vial label for concentration. If unlisted please contact technical services.

Shipping

The product is shipped with polar packs. Upon receipt, store it immediately at the temperature recommended below.

Stability & Storage

Store at -20C. Avoid freeze-thaw cycles.

Background: TLK1

Tousled-like kinase 1 (TLK1) is a serine/threonine kinase involved in chromatin assembly and the DNA damage response. The tousled (Tsl) kinase was first identified in Arabidopsis thaliana and speculated to be involved in cell division during patterning of plant organs. There are two tousled-like kinases in humans, TLK1 and TLK2, that can dimerize or heterodimerize for function and can be phosphorylated and inactivated by Chk1 in response to DNA damage. The histone chaperone, Asf1 (anti-silencing function 1), has been reported as a substrate for both TLK1 and TLK2. TLK1 has also been shown to be important for cell cycle progression and proper chromosome segregation.

Alternate Names

EC 2.7.11, EC 2.7.11.1, KIAA0137serine/threonine-protein kinase tousled-like 1, PKU-BETA, SNARE protein kinase SNAK, tousled-like kinase 1serine threonine protein kinase

Gene Symbol

TLK1

Additional TLK1 Products

Product Documents for TLK1 Antibody - BSA Free

Certificate of Analysis

To download a Certificate of Analysis, please enter a lot number in the search box below.

Product Specific Notices for TLK1 Antibody - BSA Free

This product is for research use only and is not approved for use in humans or in clinical diagnosis. Primary Antibodies are guaranteed for 1 year from date of receipt.

Loading...
Loading...
Loading...
Loading...