Skip to main content

TIMM50 Antibody - BSA Free

Novus Biologicals, part of Bio-Techne | Catalog # NBP2-38791

Novus Biologicals, part of Bio-Techne
Catalog #
Availability
Size / Price
Qty
Loading...
NBP2-38791
NBP2-38791-25ul

Key Product Details

Species Reactivity

Validated:

Human

Predicted:

Mouse (99%), Rat (99%). Backed by our 100% Guarantee.

Applications

Immunocytochemistry/ Immunofluorescence, Immunohistochemistry, Immunohistochemistry-Paraffin, Western Blot

Label

Unconjugated

Antibody Source

Polyclonal Rabbit IgG

Format

BSA Free

Concentration

Concentrations vary lot to lot. See vial label for concentration. If unlisted please contact technical services.

Product Specifications

Immunogen

This antibody was developed against a recombinant protein corresponding to amino acids: TGWRFKKRPGIETLFQQLAPLYEIVIFTSETGMTAFPLIDSVDPHGFISYRLFRDATRYMDGHHVKDISCLNRDPARVVVVDC

Clonality

Polyclonal

Host

Rabbit

Isotype

IgG

Description

Novus Biologicals Rabbit TIMM50 Antibody - BSA Free (NBP2-38791) is a polyclonal antibody validated for use in IHC, WB and ICC/IF. All Novus Biologicals antibodies are covered by our 100% guarantee.

Scientific Data Images for TIMM50 Antibody - BSA Free

Western Blot: TIMM50 Antibody [NBP2-38791]

Western Blot: TIMM50 Antibody [NBP2-38791]

Western Blot: TIMM50 Antibody [NBP2-38791] - Lane 1: Marker [kDa] 250, 130, 95, 72, 55, 36, 28, 17, 10. Lane 2: Human cell line RT-4. Lane 3: Human cell line U-251MG
Immunocytochemistry/ Immunofluorescence: TIMM50 Antibody [NBP2-38791]

Immunocytochemistry/ Immunofluorescence: TIMM50 Antibody [NBP2-38791]

Immunocytochemistry/Immunofluorescence: TIMM50 Antibody [NBP2-38791] - Immunofluorescent staining of human cell line A549 shows localization to nucleoplasm.
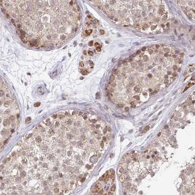
Immunohistochemistry-Paraffin: TIMM50 Antibody [NBP2-38791]

Immunohistochemistry-Paraffin: TIMM50 Antibody [NBP2-38791]

Immunohistochemistry-Paraffin: TIMM50 Antibody [NBP2-38791] - Staining of human testis shows moderate granular cytoplasmic positivity in cells in seminiferous ducts and Leydig cells.

Applications for TIMM50 Antibody - BSA Free

Application
Recommended Usage

Immunocytochemistry/ Immunofluorescence

0.25-2 ug/ml

Immunohistochemistry

1:20 - 1:50

Immunohistochemistry-Paraffin

1:20 - 1:50

Western Blot

0.04 - 0.4 ug/ml
Application Notes
For IHC-Paraffin, HIER pH 6 retrieval is recommended. ICC/IF Fixation Permeabilization: Use PFA/Triton X-100.

Formulation, Preparation, and Storage

Purification

Immunogen affinity purified

Formulation

PBS (pH 7.2) and 40% Glycerol

Format

BSA Free

Preservative

0.02% Sodium Azide

Concentration

Concentrations vary lot to lot. See vial label for concentration. If unlisted please contact technical services.

Shipping

The product is shipped with polar packs. Upon receipt, store it immediately at the temperature recommended below.

Stability & Storage

Store at 4C short term. Aliquot and store at -20C long term. Avoid freeze-thaw cycles.

Background: TIMM50

Tim50 is a component of the yeast Tim23 import machinery, which mediates translocation of presequence containing proteins across the mitochondrial inner membrane. By searching sequence databases, open reading frames encoding proteins with similarity to Tim50 and with a putative mitochondrial presequence were identified in the genomes of evolutionarily distant organisms, including human. Tim50 was found to interact with the N terminal intermembrane space domain of Tim23. Functional defects of Tim50 either by depletion of the protein or addition of anti Tim50 antibodies blocked the protein translocation across the inner membrane. A translocation intermediate accumulated at the translocator of the outer mitochondrial membrane (TOM) complex was cross linked to Tim50. Thus it can be concluded that Tim50, in cooperation with Tim23, facilitates transfer of the translocating protein from the TOM complex to the Tim23 complex.

Alternate Names

homolog of yeast Tim50, MGC102733, mitochondrial import inner membrane translocase subunit TIM50, TIM50, TIM50L, Tim50-like protein, translocase of inner mitochondrial membrane 50 homolog (S. cerevisiae), translocase of inner mitochondrial membrane 50 homolog (yeast)

Gene Symbol

TIMM50

UniProt

Additional TIMM50 Products

Product Documents for TIMM50 Antibody - BSA Free

Certificate of Analysis

To download a Certificate of Analysis, please enter a lot number in the search box below.

Product Specific Notices for TIMM50 Antibody - BSA Free

This product is for research use only and is not approved for use in humans or in clinical diagnosis. Primary Antibodies are guaranteed for 1 year from date of receipt.

Loading...
Loading...
Loading...
Loading...