Skip to main content

TIMM23 Antibody - BSA Free

Novus Biologicals, part of Bio-Techne | Catalog # NBP3-45240

Novus Biologicals, part of Bio-Techne
Catalog #
Availability
Size / Price
Qty
Loading...
NBP3-45240

Key Product Details

Species Reactivity

Human, Mouse, Rat

Applications

Immunohistochemistry, Western Blot, ELISA, Immunoprecipitation

Label

Unconjugated

Antibody Source

Polyclonal Rabbit IgG

Format

BSA Free

Concentration

Please see the vial label for concentration. If unlisted please contact technical services.

Product Specifications

Immunogen

translocase of inner mitochondrial membrane 23 homolog. (Uniprot# O14925)

Clonality

Polyclonal

Host

Rabbit

Isotype

IgG

Theoretical MW

22 kDa.
Disclaimer note: The observed molecular weight of the protein may vary from the listed predicted molecular weight due to post translational modifications, post translation cleavages, relative charges, and other experimental factors.

Description

Novus Biologicals Rabbit TIMM23 Antibody - BSA Free (NBP3-45240) is a polyclonal antibody validated for use in IHC, WB, ELISA and IP. All Novus Biologicals antibodies are covered by our 100% guarantee.

Scientific Data Images for TIMM23 Antibody - BSA Free

TIMM23 Antibody - BSA Free

Western Blot: TIMM23 Antibody - BSA Free [NBP3-45240] -

Western Blot: TIMM23 Antibody - BSA Free [NBP3-45240] - Jurkat cells were subjected to SDS PAGE followed by western blot with (TIMM23 antibody) at dilution of 1:600
TIMM23 Antibody - BSA Free

Immunoprecipitation: TIMM23 Antibody - BSA Free [NBP3-45240] -

Immunoprecipitation: TIMM23 Antibody - BSA Free [NBP3-45240] - IP Result of anti-Tim23 (IP:, 4ug; Detection: 1:1000) with mouse heart tissue lysate 3200ug.
TIMM23 Antibody - BSA Free

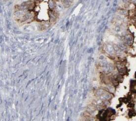
Immunohistochemistry: TIMM23 Antibody - BSA Free [NBP3-45240] -

Immunohistochemistry: TIMM23 Antibody - BSA Free [NBP3-45240] - Immunohistochemistry of paraffin-embedded human ovary tumor using (TIMM23 antibody) at dilution of 1:50

Applications for TIMM23 Antibody - BSA Free

Application
Recommended Usage

Immunohistochemistry

1:20-1:200

Immunoprecipitation

1:500-1:2000

Western Blot

1:500-1:1000

Formulation, Preparation, and Storage

Purification

Immunogen affinity purified

Formulation

PBS, 50% Glycerol, pH (7.3)

Format

BSA Free

Preservative

0.02% Sodium Azide

Concentration

Please see the vial label for concentration. If unlisted please contact technical services.

Shipping

The product is shipped with polar packs. Upon receipt, store it immediately at the temperature recommended below.

Stability & Storage

Store at -20C. Avoid freeze-thaw cycles.

Background: TIMM23

Essential component of the TIM23 complex, a complex that mediates the translocation of transit peptide-containing proteins across the mitochondrial inner membrane

Alternate Names

bA592B15.7, MGC22767, PRO1197, RP11-592B15.7, TIM23

Gene Symbol

TIMM23

Additional TIMM23 Products

Product Documents for TIMM23 Antibody - BSA Free

Certificate of Analysis

To download a Certificate of Analysis, please enter a lot number in the search box below.

Product Specific Notices for TIMM23 Antibody - BSA Free

This product is for research use only and is not approved for use in humans or in clinical diagnosis. Primary Antibodies are guaranteed for 1 year from date of receipt.

Loading...
Loading...
Loading...
Loading...