Skip to main content

TIGD1 Antibody (OTI4G9) - Azide and BSA Free

Novus Biologicals, part of Bio-Techne | Catalog # NBP2-74519

Novus Biologicals, part of Bio-Techne

Key Product Details

Species Reactivity

Human

Applications

Immunohistochemistry, Immunohistochemistry-Paraffin, Western Blot

Label

Unconjugated

Antibody Source

Monoclonal Mouse IgG1 Clone # OTI4G9

Format

Azide and BSA Free

Concentration

LYOPH mg/ml

Product Specifications

Immunogen

Human recombinant protein fragment corresponding to amino acids 1-267 of human TIGD1(NP_663748) produced in E.coli.

Clonality

Monoclonal

Host

Mouse

Isotype

IgG1

Theoretical MW

67.1 kDa.
Disclaimer note: The observed molecular weight of the protein may vary from the listed predicted molecular weight due to post translational modifications, post translation cleavages, relative charges, and other experimental factors.

Description

Novus Biologicals Mouse TIGD1 Antibody (OTI4G9) - Azide and BSA Free (NBP2-03877) is a monoclonal antibody validated for use in IHC and WB. All Novus Biologicals antibodies are covered by our 100% guarantee.

Scientific Data Images for TIGD1 Antibody (OTI4G9) - Azide and BSA Free

Western Blot: TIGD1 Antibody (OTI4G9)Azide and BSA Free [NBP2-74519]

Western Blot: TIGD1 Antibody (OTI4G9)Azide and BSA Free [NBP2-74519]

Western Blot: TIGD1 Antibody (OTI4G9) - Azide and BSA Free [NBP2-74519] - HEK293T cells were transfected with the pCMV6-ENTRY control (Left lane) or pCMV6-ENTRY TIGD1 (Right lane) cDNA for 48 hrs and lysed. Equivalent amounts of cell lysates (5 ug per lane) were separated by SDS-PAGE and immunoblotted with anti-TIGD1.
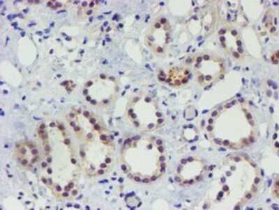
Immunohistochemistry: TIGD1 Antibody (OTI4G9) - Azide and BSA Free [NBP2-74519]

Immunohistochemistry: TIGD1 Antibody (OTI4G9) - Azide and BSA Free [NBP2-74519]

Immunohistochemistry: TIGD1 Antibody (OTI4G9) - Azide and BSA Free [NBP2-74519] - Staining of paraffin-embedded Human Kidney tissue using anti-TIGD1 mouse monoclonal antibody.
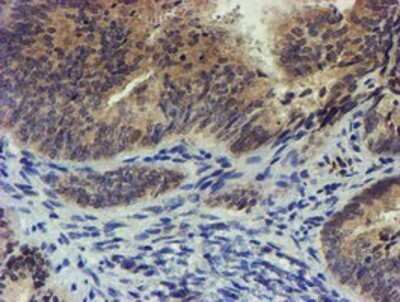
Immunohistochemistry: TIGD1 Antibody (OTI4G9) - Azide and BSA Free [NBP2-74519]

Immunohistochemistry: TIGD1 Antibody (OTI4G9) - Azide and BSA Free [NBP2-74519]

Immunohistochemistry: TIGD1 Antibody (OTI4G9) - Azide and BSA Free [NBP2-74519] - Staining of paraffin-embedded Adenocarcinoma of Human endometrium tissue using anti-TIGD1 mouse monoclonal antibody.

Applications for TIGD1 Antibody (OTI4G9) - Azide and BSA Free

Application
Recommended Usage

Immunohistochemistry

1:150

Western Blot

1:2000

Formulation, Preparation, and Storage

Purification

Immunogen affinity purified

Reconstitution

we recommend adding 100uL distilled water to a final antibody concentration of about 1 mg/mL. To use this carrier-free antibody for conjugation experiment, we strongly recommend performing another round of desalting process.

Formulation

Lyophilized from PBS (pH 7.3) with 8% Trehalose

Format

Azide and BSA Free

Preservative

No Preservative

Concentration

LYOPH mg/ml

Shipping

The product is shipped with polar packs. Upon receipt, store it immediately at the temperature recommended below.

Stability & Storage

Store at -20C. Avoid freeze-thaw cycles.

Background: TIGD1

TIGD1 is encoded by this gene belongs to the tigger subfamily of the pogo superfamily of DNA-mediated transposons in humans. These proteins are related to DNA transposons found in fungi and nematodes, and more distantly to the Tc1 and mariner transposases. They are also very similar to the major mammalian centromere protein B. The exact function of this gene is not known.

Alternate Names

EEYORE, tigger transposable element derived 1, tigger transposable element-derived protein 1

Gene Symbol

TIGD1

Additional TIGD1 Products

Product Documents for TIGD1 Antibody (OTI4G9) - Azide and BSA Free

Certificate of Analysis

To download a Certificate of Analysis, please enter a lot number in the search box below.

Product Specific Notices for TIGD1 Antibody (OTI4G9) - Azide and BSA Free

This product is for research use only and is not approved for use in humans or in clinical diagnosis. Primary Antibodies are guaranteed for 1 year from date of receipt.

Loading...
Loading...
Loading...
Loading...
Loading...