Skip to main content

TIF1 alpha Antibody - BSA Free

Novus Biologicals, part of Bio-Techne | Catalog # NBP1-92506

Novus Biologicals, part of Bio-Techne
Catalog #
Availability
Size / Price
Qty
Loading...
NBP1-92506
NBP1-92506-25ul

Key Product Details

Validated by

Knockout/Knockdown

Species Reactivity

Validated:

Human

Predicted:

Mouse (94%), Rat (92%). Backed by our 100% Guarantee.

Applications

Validated:

Immunohistochemistry, Immunohistochemistry-Paraffin, Western Blot, Immunocytochemistry/ Immunofluorescence, Knockdown Validated

Cited:

IF/IHC

Label

Unconjugated

Antibody Source

Polyclonal Rabbit IgG

Format

BSA Free

Concentration

Concentrations vary lot to lot. See vial label for concentration. If unlisted please contact technical services.

Product Specifications

Immunogen

This antibody was developed against Recombinant Protein corresponding to amino acids: SSPVGGSYNLPSLPDIDCSSTIMLDNIVRKDTNIDHGQPRPPSNRTVQSPNSSVPSPGLAGPVTMTSVHPPIRSPSA

Clonality

Polyclonal

Host

Rabbit

Isotype

IgG

Description

Novus Biologicals Rabbit TIF1 alpha Antibody - BSA Free (NBP1-92506) is a polyclonal antibody validated for use in IHC, WB and ICC/IF. Anti-TIF1 alpha Antibody: Cited in 1 publication. All Novus Biologicals antibodies are covered by our 100% guarantee.

Scientific Data Images for TIF1 alpha Antibody - BSA Free

Western Blot: TIF1 alpha Antibody [NBP1-92506]

Western Blot: TIF1 alpha Antibody [NBP1-92506]

Western Blot: TIF1 alpha Antibody [NBP1-92506] - Analysis in Caco-2 cells transfected with control siRNA, target specific siRNA probe #1 and #2,. Remaining relative intensity is presented. Loading control: Anti-GAPDH.
Immunocytochemistry/ Immunofluorescence: TIF1 alpha Antibody [NBP1-92506]

Immunocytochemistry/ Immunofluorescence: TIF1 alpha Antibody [NBP1-92506]

Immunocytochemistry/Immunofluorescence: TIF1 alpha Antibody [NBP1-92506] - Staining of human cell line U-251 MG shows localization to nucleoplasm. Antibody staining is shown in green.
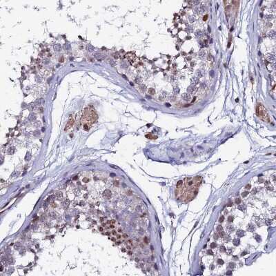
Immunohistochemistry-Paraffin: TIF1 alpha Antibody [NBP1-92506]

Immunohistochemistry-Paraffin: TIF1 alpha Antibody [NBP1-92506]

Immunohistochemistry-Paraffin: TIF1 alpha Antibody [NBP1-92506] - Staining of human testis shows moderate nuclear positivity in cells in seminiferous ducts.

Applications for TIF1 alpha Antibody - BSA Free

Application
Recommended Usage

Immunocytochemistry/ Immunofluorescence

0.25-2 ug/ml

Immunohistochemistry

1:50 - 1:200

Immunohistochemistry-Paraffin

1:50 - 1:200

Western Blot

0.04-0.4 ug/ml
Application Notes
For IHC-Paraffin, HIER pH 6 retrieval is recommended. ICC/IF Fixation Permeabilization: Use PFA/Triton X-100.

Formulation, Preparation, and Storage

Purification

Affinity purified

Formulation

PBS (pH 7.2) and 40% Glycerol

Format

BSA Free

Preservative

0.02% Sodium Azide

Concentration

Concentrations vary lot to lot. See vial label for concentration. If unlisted please contact technical services.

Shipping

The product is shipped with polar packs. Upon receipt, store it immediately at the temperature recommended below.

Stability & Storage

Store at 4C short term. Aliquot and store at -20C long term. Avoid freeze-thaw cycles.

Background: TIF1 alpha

TIF1 alpha is encoded by this gene mediates transcriptional control by interaction with the activation function 2 (AF2) region of several nuclear receptors, including the estrogen, retinoic acid, and vitamin D3 receptors. The protein localizes to nuclear bodies and is thought to associate with chromatin and heterochromatin-associated factors. The protein is a member of the tripartite motif (TRIM) family. The TRIM motif includes three zinc-binding domains - a RING, a B-box type 1 and a B-box type 2 - and a coiled-coil region. Two alternatively spliced transcript variants encoding different isoforms have been described for this gene.

Long Name

Transcription intermediary factor 1-alpha

Alternate Names

RNF82, TIF1, TIF1-alpha, TIF1A, TRIM24

Gene Symbol

TRIM24

Additional TIF1 alpha Products

Product Documents for TIF1 alpha Antibody - BSA Free

Certificate of Analysis

To download a Certificate of Analysis, please enter a lot number in the search box below.

Product Specific Notices for TIF1 alpha Antibody - BSA Free

This product is for research use only and is not approved for use in humans or in clinical diagnosis. Primary Antibodies are guaranteed for 1 year from date of receipt.

Loading...
Loading...
Loading...
Loading...