Skip to main content

TIF1 alpha Antibody

Novus Biologicals, part of Bio-Techne | Catalog # NB300-847

Novus Biologicals, part of Bio-Techne
Catalog #
Availability
Size / Price
Qty
Loading...
NB300-847

Key Product Details

Species Reactivity

Validated:

Human

Predicted:

Bovine (100%). Backed by our 100% Guarantee.

Applications

Immunohistochemistry, Immunohistochemistry-Paraffin, Western Blot, Peptide ELISA

Label

Unconjugated

Antibody Source

Polyclonal Goat IgG

Concentration

0.5 mg/ml

Product Specifications

Immunogen

Peptide with sequence C-KRLKSIEERQLLK corresponding to C-Terminus according to NP_056989.2, NP_003843.3.

Specificity

This antibody is expected to recognise both reported isoforms, as represented by NP_003843.3 and NP_056989.2.

Clonality

Polyclonal

Host

Goat

Isotype

IgG

Description

Novus Biologicals Goat TIF1 alpha Antibody (NB300-847) is a polyclonal antibody validated for use in IHC, WB and ELISA. Anti-TIF1 alpha Antibody: Cited in 1 publication. All Novus Biologicals antibodies are covered by our 100% guarantee.

Scientific Data Images for TIF1 alpha Antibody

Western Blot: TIF1 alpha Antibody [NB300-847]

Western Blot: TIF1 alpha Antibody [NB300-847]

Western Blot: TIF1 alpha Antibody [NB300-847] - Analysis of Human Kidney lysate (35ug protein in RIPA buffer). Primary incubation was 1 hour. Detected by chemiluminescence.
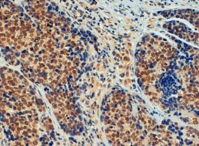
Immunohistochemistry-Paraffin: TIF1 alpha Antibody [NB300-847]

Immunohistochemistry-Paraffin: TIF1 alpha Antibody [NB300-847]

Immunohistochemistry-Paraffin: TIF1 alpha Antibody [NB300-847] - (4ug/ml) staining of paraffin embedded Human Breast cancer. Steamed antigen retrieval with citrate buffer pH 6, HRP-staining.

Applications for TIF1 alpha Antibody

Application
Recommended Usage

Immunohistochemistry

4 - 6 ug/ml

Immunohistochemistry-Paraffin

4 - 6 ug/ml

Peptide ELISA

Detection limit 1:32000

Western Blot

0.5 - 1 ug/ml
Application Notes
WB: Preliminary experiments gave an approx. 120 kDa band in human kidney and heart lysates at 1 ug/ml, however prominent bands were also seen at 25 kDa band and 45 kDa. Please note that currently we cannot find an explanation in scientific literature for some of the bands we observe given the predicted MW of approx. 117 kDa band and 121 kDa band according to NP_003843 and NP_056989. IHC-P: Human breast cancer shows nuclear staining in the distorted lobules.

Formulation, Preparation, and Storage

Purification

Immunogen affinity purified

Formulation

Tris saline (20 mM Tris pH 7.3, 150 mM NaCl), 0.5% BSA

Preservative

0.02% Sodium Azide

Concentration

0.5 mg/ml

Shipping

The product is shipped with polar packs. Upon receipt, store it immediately at the temperature recommended below.

Stability & Storage

Store at -20C. Avoid freeze-thaw cycles.

Background: TIF1 alpha

TIF1 alpha is encoded by this gene mediates transcriptional control by interaction with the activation function 2 (AF2) region of several nuclear receptors, including the estrogen, retinoic acid, and vitamin D3 receptors. The protein localizes to nuclear bodies and is thought to associate with chromatin and heterochromatin-associated factors. The protein is a member of the tripartite motif (TRIM) family. The TRIM motif includes three zinc-binding domains - a RING, a B-box type 1 and a B-box type 2 - and a coiled-coil region. Two alternatively spliced transcript variants encoding different isoforms have been described for this gene.

Long Name

Transcription intermediary factor 1-alpha

Alternate Names

RNF82, TIF1, TIF1-alpha, TIF1A, TRIM24

Entrez Gene IDs

8805 (Human)

Gene Symbol

TRIM24

Additional TIF1 alpha Products

Product Documents for TIF1 alpha Antibody

Certificate of Analysis

To download a Certificate of Analysis, please enter a lot number in the search box below.

Product Specific Notices for TIF1 alpha Antibody

This product is for research use only and is not approved for use in humans or in clinical diagnosis. Primary Antibodies are guaranteed for 1 year from date of receipt.

Loading...
Loading...
Loading...
Loading...