Skip to main content

TIF1 alpha Antibody (OTI2D9)

Novus Biologicals, part of Bio-Techne | Catalog # NBP2-46213

Novus Biologicals, part of Bio-Techne
Catalog #
Availability
Size / Price
Qty
Loading...
NBP2-46213

Key Product Details

Species Reactivity

Human, Mouse

Applications

Immunohistochemistry, Immunohistochemistry-Paraffin, Western Blot

Label

Unconjugated

Antibody Source

Monoclonal Mouse IgG1 Clone # OTI2D9

Concentration

1 mg/ml

Product Specifications

Immunogen

Human recombinant protein fragment corresponding to amino acids 706-1016 of human TRIM24 (NP_003843) produced in E.coli.

Reactivity Notes

Please note that this antibody is reactive to Mouse and derived from the same host, Mouse. Mouse-On-Mouse blocking reagent may be needed for IHC and ICC experiments to reduce high background signal. You can find these reagents under catalog numbers PK-2200-NB and MP-2400-NB. Please contact Technical Support if you have any questions.

Clonality

Monoclonal

Host

Mouse

Isotype

IgG1

Description

Novus Biologicals Mouse TIF1 alpha Antibody (OTI2D9) (NBP2-46213) is a monoclonal antibody validated for use in IHC and WB. All Novus Biologicals antibodies are covered by our 100% guarantee.

Scientific Data Images for TIF1 alpha Antibody (OTI2D9)

Western Blot: TIF1 alpha Antibody (OTI2D9) [NBP2-46213]

Western Blot: TIF1 alpha Antibody (OTI2D9) [NBP2-46213]

Western Blot: TIF1 alpha Antibody (2D9) [NBP2-46213] - Analysis of HEK293T cells were transfected with the pCMV6-ENTRY control (Left lane) or pCMV6-ENTRY TIF1.
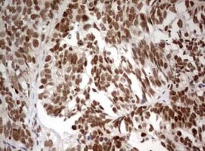
Immunohistochemistry: TIF1 alpha Antibody (OTI2D9) [NBP2-46213]

Immunohistochemistry: TIF1 alpha Antibody (OTI2D9) [NBP2-46213]

Immunohistochemistry: TIF1 alpha Antibody (2D9) [NBP2-46213] - Analysis of Carcinoma of Human prostate tissue. (Heat-induced epitope retrieval by 10mM citric buffer, pH6.0, 120C for 3min)
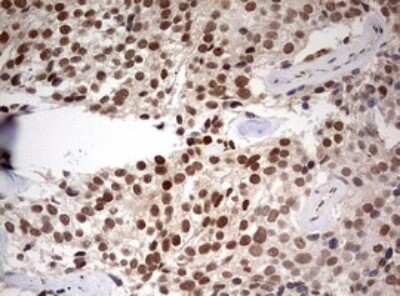
Immunohistochemistry: TIF1 alpha Antibody (OTI2D9) [NBP2-46213]

Immunohistochemistry: TIF1 alpha Antibody (OTI2D9) [NBP2-46213]

Immunohistochemistry: TIF1 alpha Antibody (2D9) [NBP2-46213] - Analysis of Adenocarcinoma of Human ovary tissue. (Heat-induced epitope retrieval by 10mM citric buffer, pH6.0, 120C for 3min)

Applications for TIF1 alpha Antibody (OTI2D9)

Application
Recommended Usage

Immunohistochemistry

1:150

Western Blot

1:2000

Formulation, Preparation, and Storage

Purification

Immunogen affinity purified

Formulation

PBS (pH 7.3), 1.0% BSA and 50% Glycerol

Preservative

0.02% Sodium Azide

Concentration

1 mg/ml

Shipping

The product is shipped with polar packs. Upon receipt, store it immediately at the temperature recommended below.

Stability & Storage

Store at -20C. Avoid freeze-thaw cycles.

Background: TIF1 alpha

TIF1 alpha is encoded by this gene mediates transcriptional control by interaction with the activation function 2 (AF2) region of several nuclear receptors, including the estrogen, retinoic acid, and vitamin D3 receptors. The protein localizes to nuclear bodies and is thought to associate with chromatin and heterochromatin-associated factors. The protein is a member of the tripartite motif (TRIM) family. The TRIM motif includes three zinc-binding domains - a RING, a B-box type 1 and a B-box type 2 - and a coiled-coil region. Two alternatively spliced transcript variants encoding different isoforms have been described for this gene.

Long Name

Transcription intermediary factor 1-alpha

Alternate Names

RNF82, TIF1, TIF1-alpha, TIF1A, TRIM24

Gene Symbol

TRIM24

Additional TIF1 alpha Products

Product Documents for TIF1 alpha Antibody (OTI2D9)

Certificate of Analysis

To download a Certificate of Analysis, please enter a lot number in the search box below.

Product Specific Notices for TIF1 alpha Antibody (OTI2D9)

This product is for research use only and is not approved for use in humans or in clinical diagnosis. Primary Antibodies are guaranteed for 1 year from date of receipt.

Loading...
Loading...
Loading...
Loading...