Skip to main content

Tie-1 Antibody (8D12B10) - BSA Free

Novus Biologicals, part of Bio-Techne | Catalog # NBP2-37270

Novus Biologicals, part of Bio-Techne
Catalog #
Availability
Size / Price
Qty
Loading...
NBP2-37270
NBP2-37270-0.025ml

Key Product Details

Species Reactivity

Human

Applications

ELISA, Immunohistochemistry, Immunohistochemistry-Paraffin, Western Blot

Label

Unconjugated

Antibody Source

Monoclonal Mouse IgG1 Clone # 8D12B10

Format

BSA Free

Concentration

1 mg/ml

Product Specifications

Immunogen

Purified recombinant fragment of human Tie-1 (AA: 385-607) expressed in E. Coli.

Clonality

Monoclonal

Host

Mouse

Isotype

IgG1

Theoretical MW

125 kDa.
Disclaimer note: The observed molecular weight of the protein may vary from the listed predicted molecular weight due to post translational modifications, post translation cleavages, relative charges, and other experimental factors.

Description

Novus Biologicals Mouse Tie-1 Antibody (8D12B10) - BSA Free (NBP2-37270) is a monoclonal antibody validated for use in IHC, WB and ELISA. All Novus Biologicals antibodies are covered by our 100% guarantee.

Scientific Data Images for Tie-1 Antibody (8D12B10) - BSA Free

Western Blot: Tie-1 Antibody (8D12B10)BSA Free [NBP2-37270]

Western Blot: Tie-1 Antibody (8D12B10)BSA Free [NBP2-37270]

Western Blot: Tie-1 Antibody (8D12B10) [NBP2-37270] - Western blot analysis using TIE1 mouse mAb against HepG2 cell lysate.
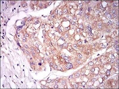
Immunohistochemistry: Tie-1 Antibody (8D12B10) - BSA Free [NBP2-37270]

Immunohistochemistry: Tie-1 Antibody (8D12B10) - BSA Free [NBP2-37270]

Immunohistochemistry: Tie-1 Antibody (8D12B10) [NBP2-37270] - Immunohistochemical analysis of paraffin-embedded liver cancer tissues using TIE1 mouse mAb with DAB staining.
Western Blot: Tie-1 Antibody (8D12B10)BSA Free [NBP2-37270]

Western Blot: Tie-1 Antibody (8D12B10)BSA Free [NBP2-37270]

Western Blot: Tie-1 Antibody (8D12B10) [NBP2-37270] - Western blot analysis using TIE1 mAb against human TIE1 (AA: 385-607) recombinant protein. (Expected MW is 50.6 kDa)

Applications for Tie-1 Antibody (8D12B10) - BSA Free

Application
Recommended Usage

ELISA

1:10000

Immunohistochemistry

1:200 - 1:1000

Immunohistochemistry-Paraffin

1:200 - 1:1000

Western Blot

1:500 - 1:2000

Formulation, Preparation, and Storage

Purification

Protein G purified

Formulation

PBS

Format

BSA Free

Preservative

0.05% Sodium Azide

Concentration

1 mg/ml

Shipping

The product is shipped with polar packs. Upon receipt, store it immediately at the temperature recommended below.

Stability & Storage

Store at 4C short term. Aliquot and store at -20C long term. Avoid freeze-thaw cycles.

Background: Tie-1

TIE1/TIE (tyrosine kinase with Ig and EGF homology domains 1) and TIE2/Tek define a new class of the receptor tyrosine kinase (RTK) subfamily with unique structural characteristics: two immunoglobulin like domains flanking three epidermal growth factor (EFG) like domains followed by three fibronectin type III like repeats in the extracellular region and a split tyrosine kinase domain in the cytoplasmic region. Human TIE1 cDNA encodes a 1138 amino acid residue precursor protein with a putative signal peptide, an extracellular domain, and a cytoplasmic domain. Human TIE1/Fc, a disulfide linked homodimeric protein, has a calculated molecular mass of approximately 107 kDa. Due to glycosylation, the protein migrates to approximately 160 kDa in SDS PAGE under reducing conditions. TIE1 and TIE2, expressed primarily on endothelial and hematopoietic progenitor cells, play important roles in angiogenesis, vasculogenesis, and hematopoiesis. In developing vascular endothelial cells, TIE1 and TIE2 are specifically expressed. Two ligands that bind TIE have been identified, angiopoietin 1 and angiopoietin 2. Based on gene targeting studies, the in vivo functions of TIE1 are related to endothelial cell differentiation. The receptor tyrosine kinase TIE also plays a role in the survival and integrity of the endothelium.

Long Name

Tyrosine Kinase with Immunoglobulin and Epidermal Growth Factor Homology Domains 1

Alternate Names

Tie1

Gene Symbol

TIE1

Additional Tie-1 Products

Product Documents for Tie-1 Antibody (8D12B10) - BSA Free

Certificate of Analysis

To download a Certificate of Analysis, please enter a lot number in the search box below.

Product Specific Notices for Tie-1 Antibody (8D12B10) - BSA Free

This product is for research use only and is not approved for use in humans or in clinical diagnosis. Primary Antibodies are guaranteed for 1 year from date of receipt.

Loading...
Loading...
Loading...
Loading...