Skip to main content

Thrombospondin-2 Antibody - BSA Free

Novus Biologicals, part of Bio-Techne | Catalog # NBP3-13398

Novus Biologicals, part of Bio-Techne
Catalog #
Availability
Size / Price
Qty
Loading...
NBP3-13398

Key Product Details

Validated by

Biological Validation

Species Reactivity

Human

Applications

Immunohistochemistry, Immunohistochemistry-Paraffin, Western Blot

Label

Unconjugated

Antibody Source

Polyclonal Rabbit IgG

Format

BSA Free

Concentration

Concentrations vary lot to lot. See vial label for concentration. If unlisted please contact technical services.

Product Specifications

Immunogen

Carrier-protein conjugated synthetic peptide encompassing a sequence within the N-terminus region of human Thrombospondin-2. The exact sequence is proprietary.

Clonality

Polyclonal

Host

Rabbit

Isotype

IgG

Description

Centrifuge briefly prior to opening.

Scientific Data Images for Thrombospondin-2 Antibody - BSA Free

Western Blot: Thrombospondin-2 Antibody [NBP3-13398]

Western Blot: Thrombospondin-2 Antibody [NBP3-13398]

Western Blot: Thrombospondin-2 Antibody [NBP3-13398] - Non-transfected (-) and transfected (+) 293T whole cell extracts (30 ug) were separated by 5% SDS-PAGE, and the membrane was blotted with Thrombospondin-2 antibody (NBP3-13398) diluted at 1:1000. The HRP-conjugated anti-rabbit IgG antibody (NBP2-19301) was used to detect the primary antibody.
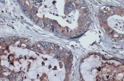
Immunohistochemistry-Paraffin: Thrombospondin-2 Antibody [NBP3-13398]

Immunohistochemistry-Paraffin: Thrombospondin-2 Antibody [NBP3-13398]

Immunohistochemistry-Paraffin: Thrombospondin-2 Antibody [NBP3-13398] - Thrombospondin-2 antibody detects Thrombospondin-2 protein at cytoplasm by immunohistochemical analysis. Sample: Paraffin-embedded human pancreatic cancer. Thrombospondin-2 stained by Thrombospondin-2 antibody (NBP3-13398) diluted at 1:1000. Antigen Retrieval: Citrate buffer, pH 6.0, 15 min
Western Blot: Thrombospondin-2 Antibody [NBP3-13398]

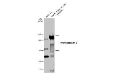
Western Blot: Thrombospondin-2 Antibody [NBP3-13398]

Western Blot: Thrombospondin-2 Antibody [NBP3-13398] - AsPC-1 whole cell extract and conditioned medium (30 ug) were separated by 5% SDS-PAGE, and the membrane was blotted with Thrombospondin-2 antibody (NBP3-13398) diluted at 1:1000. The HRP-conjugated anti-rabbit IgG antibody (NBP2-19301) was used to detect the primary antibody.

Applications for Thrombospondin-2 Antibody - BSA Free

Application
Recommended Usage

Immunohistochemistry

Optimal dilutions of this antibody should be experimentally determined.

Immunohistochemistry-Paraffin

Optimal dilutions of this antibody should be experimentally determined.

Western Blot

Optimal dilutions of this antibody should be experimentally determined.

Formulation, Preparation, and Storage

Purification

Antigen Affinity-purified

Formulation

PBS, 20% Glycerol

Format

BSA Free

Preservative

0.025% Proclin 300

Concentration

Concentrations vary lot to lot. See vial label for concentration. If unlisted please contact technical services.

Shipping

The product is shipped with polar packs. Upon receipt, store it immediately at the temperature recommended below.

Stability & Storage

Store at 4C short term. Aliquot and store at -20C long term. Avoid freeze-thaw cycles.

Background: Thrombospondin-2

Thrombospondin 2 is an adhesive glycoprotein that mediates cell-to-cell and cell-to-matrix interactions. It can bind to fibrinogen, fibronectin, laminin and type V collagen. This protein has been shown to function as a potent inhibitor of tumor growth and angiogenesis. Studies of the mouse counterpart suggest that this protein may modulate the cell surface properties of mesenchymal cells and be involved in cell adhesion and migration.

Alternate Names

THBS2, Thrombospondin2, TSP-2

Gene Symbol

THBS2

Additional Thrombospondin-2 Products

Product Documents for Thrombospondin-2 Antibody - BSA Free

Certificate of Analysis

To download a Certificate of Analysis, please enter a lot number in the search box below.

Product Specific Notices for Thrombospondin-2 Antibody - BSA Free

This product is for research use only and is not approved for use in humans or in clinical diagnosis. Primary Antibodies are guaranteed for 1 year from date of receipt.

Loading...
Loading...
Loading...
Loading...