Skip to main content

THOC3 Antibody - BSA Free

Novus Biologicals, part of Bio-Techne | Catalog # NBP1-92502

Novus Biologicals, part of Bio-Techne
Catalog #
Availability
Size / Price
Qty
Loading...
NBP1-92502-25ul
NBP1-92502

Key Product Details

Validated by

Knockout/Knockdown

Species Reactivity

Human, Mouse, Rat

Applications

Immunohistochemistry, Immunohistochemistry-Paraffin, Western Blot, Knockdown Validated

Label

Unconjugated

Antibody Source

Polyclonal Rabbit IgG

Format

BSA Free

Concentration

Concentrations vary lot to lot. See vial label for concentration. If unlisted please contact technical services.

Product Specifications

Immunogen

This antibody was developed against Recombinant Protein corresponding to amino acids: HDGKMLASASEDHFIDIAEVETGDKLWEVQCESPTFTVAWHPKRPLLAFACDDKDGKYDSSREAGTVKLFGLPNDS

Clonality

Polyclonal

Host

Rabbit

Isotype

IgG

Description

Novus Biologicals Rabbit THOC3 Antibody - BSA Free (NBP1-92502) is a polyclonal antibody validated for use in IHC and WB. All Novus Biologicals antibodies are covered by our 100% guarantee.

Scientific Data Images for THOC3 Antibody - BSA Free

Western Blot: THOC3 Antibody [NBP1-92502]

Western Blot: THOC3 Antibody [NBP1-92502]

Western Blot: THOC3 Antibody [NBP1-92502] - Analysis in HEK293 cells transfected with control siRNA, target specific siRNA probe #1 and #2,. Remaining relative intensity is presented. Loading control: Anti-PPIB.
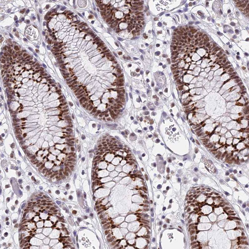
Immunohistochemistry-Paraffin: THOC3 Antibody [NBP1-92502]

Immunohistochemistry-Paraffin: THOC3 Antibody [NBP1-92502]

Immunohistochemistry-Paraffin: THOC3 Antibody [NBP1-92502] - Staining of human colon shows strong granular cytoplasmic and nuclear positivity in glandular cells.
Western Blot: THOC3 Antibody [NBP1-92502]

Western Blot: THOC3 Antibody [NBP1-92502]

Western Blot: THOC3 Antibody [NBP1-92502] - Analysis in human cell line PC-3.

Applications for THOC3 Antibody - BSA Free

Application
Recommended Usage

Immunohistochemistry

1:50 - 1:200

Immunohistochemistry-Paraffin

1:50 - 1:200

Western Blot

0.04-0.4 ug/ml
Application Notes
For IHC-Paraffin, HIER pH 6 retrieval is recommended.

Formulation, Preparation, and Storage

Purification

Immunogen affinity purified

Formulation

PBS (pH 7.2) and 40% Glycerol

Format

BSA Free

Preservative

0.02% Sodium Azide

Concentration

Concentrations vary lot to lot. See vial label for concentration. If unlisted please contact technical services.

Shipping

The product is shipped with polar packs. Upon receipt, store it immediately at the temperature recommended below.

Stability & Storage

Store at 4C short term. Aliquot and store at -20C long term. Avoid freeze-thaw cycles.

Background: THOC3

TEX1 is part of the TREX (transcription/export) complex, which includes THO2 (MIM 300395), HPR1 (MIM 606930), ALY (MIM 604171), and UAP56 (MIM 606390).[supplied by OMIM]

Alternate Names

hTREX45, MGC5469, TEX1 homolog, TEX1THO complex subunit 3, THO complex 3, Tho3

Gene Symbol

THOC3

Additional THOC3 Products

Product Documents for THOC3 Antibody - BSA Free

Certificate of Analysis

To download a Certificate of Analysis, please enter a lot number in the search box below.

Product Specific Notices for THOC3 Antibody - BSA Free

This product is for research use only and is not approved for use in humans or in clinical diagnosis. Primary Antibodies are guaranteed for 1 year from date of receipt.

Loading...
Loading...
Loading...
Loading...