Skip to main content

Thioredoxin Reductase 1/TRXR1 Antibody - BSA Free

Novus Biologicals, part of Bio-Techne | Catalog # NBP1-81791

Novus Biologicals, part of Bio-Techne
Catalog #
Availability
Size / Price
Qty
Loading...
NBP1-81791
NBP1-81791-25ul

Key Product Details

Validated by

Orthogonal Validation

Species Reactivity

Human

Applications

Validated:

Immunohistochemistry, Immunohistochemistry-Paraffin, Western Blot

Cited:

Western Blot

Label

Unconjugated

Antibody Source

Polyclonal Rabbit IgG

Format

BSA Free

Concentration

Concentrations vary lot to lot. See vial label for concentration. If unlisted please contact technical services.

Product Specifications

Immunogen

This antibody was developed against Recombinant Protein corresponding to amino acids: SCEDGRALEGTLSELAAETDLPVVFVKQRKIGGHGPTLKAYQEGRLQKLLKMNGPEDLPKSYDYDLIIIGGGSGGLAAAKEAAQYGKKVMVLDFVTPTPLGTRWGLGGTCVNVGCIPKKLMHQAALLGQALQDSRNYG

Clonality

Polyclonal

Host

Rabbit

Isotype

IgG

Description

Novus Biologicals Rabbit Thioredoxin Reductase 1/TRXR1 Antibody - BSA Free (NBP1-81791) is a polyclonal antibody validated for use in IHC and WB. Anti-Thioredoxin Reductase 1/TRXR1 Antibody: Cited in 1 publication. All Novus Biologicals antibodies are covered by our 100% guarantee.

Scientific Data Images for Thioredoxin Reductase 1/TRXR1 Antibody - BSA Free

Western Blot: Thioredoxin Reductase 1/TRXR1 Antibody [NBP1-81791]

Western Blot: Thioredoxin Reductase 1/TRXR1 Antibody [NBP1-81791]

Western Blot: Thioredoxin Reductase 1/TRXR1 Antibody [NBP1-81791] - Analysis in human cell lines PC-3 and MCF-7 using Anti-TXNRD1 antibody. Corresponding TXNRD1 RNA-seq data are presented for the same cell lines. Loading control: Anti-COX4I1.
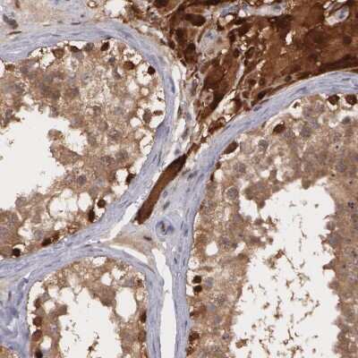
Immunohistochemistry-Paraffin: Thioredoxin Reductase 1/TRXR1 Antibody [NBP1-81791]

Immunohistochemistry-Paraffin: Thioredoxin Reductase 1/TRXR1 Antibody [NBP1-81791]

Immunohistochemistry-Paraffin: Thioredoxin Reductase 1/TRXR1 Antibody [NBP1-81791] - Staining of human testis shows strong cytoplasmic and nuclear positivity in Leydig cells and basal cells in the seminiferous ducts.
Western Blot: Thioredoxin Reductase 1/TRXR1 Antibody [NBP1-81791]

Western Blot: Thioredoxin Reductase 1/TRXR1 Antibody [NBP1-81791]

Western Blot: Thioredoxin Reductase 1/TRXR1 Antibody [NBP1-81791] - Lane 1: Marker [kDa] 219, 112, 85, 49, 32, 25, 18. Lane 2: Human cell line RT-4. Lane 3: Human cell line U-251MG sp. Lane 4: Human cell line A-431. Lane 5: Human liver tissue

Applications for Thioredoxin Reductase 1/TRXR1 Antibody - BSA Free

Application
Recommended Usage

Immunohistochemistry

1:200 - 1:500

Immunohistochemistry-Paraffin

1:200 - 1:500

Western Blot

0.04-0.4 ug/ml
Application Notes
For IHC-Paraffin, HIER pH 6 retrieval is recommended.

Formulation, Preparation, and Storage

Purification

Affinity purified

Formulation

PBS (pH 7.2) and 40% Glycerol

Format

BSA Free

Preservative

0.02% Sodium Azide

Concentration

Concentrations vary lot to lot. See vial label for concentration. If unlisted please contact technical services.

Shipping

The product is shipped with polar packs. Upon receipt, store it immediately at the temperature recommended below.

Stability & Storage

Store at 4C short term. Aliquot and store at -20C long term. Avoid freeze-thaw cycles.

Background: Thioredoxin Reductase 1/TRXR1

thioredoxin reductase 1 is a pyridine nucleotide oxidoreductase which reduces thioredoxins as well as other substrates, and plays a role in selenium metabolism and protection against oxidative stress. It is thought to function as a homodimer which uses FAD as a cofactor. Each subunit contains a selenocysteine residue which is required for the catalytic activity. Alternative splicing results in several transcript variants encoding the same protein. Additional transcript variants have been described but their biological validity has not been determined.

Alternate Names

GRIM-12, KDRF, TR1, TRXR1, TRXRD1, TXNR, TXNRD1

Gene Symbol

TXNRD1

Additional Thioredoxin Reductase 1/TRXR1 Products

Product Documents for Thioredoxin Reductase 1/TRXR1 Antibody - BSA Free

Certificate of Analysis

To download a Certificate of Analysis, please enter a lot number in the search box below.

Product Specific Notices for Thioredoxin Reductase 1/TRXR1 Antibody - BSA Free

This product is for research use only and is not approved for use in humans or in clinical diagnosis. Primary Antibodies are guaranteed for 1 year from date of receipt.

Loading...
Loading...
Loading...
Loading...