Skip to main content

Thioredoxin Reductase 1/TRXR1 Antibody (7P1J4)

Novus Biologicals, part of Bio-Techne | Catalog # NBP3-16470

Recombinant Monoclonal Antibody
Novus Biologicals, part of Bio-Techne
Catalog #
Availability
Size / Price
Qty
Loading...
NBP3-16470-100ul
NBP3-16470-20ul

Key Product Details

Species Reactivity

Human, Mouse, Rat

Applications

Western Blot, ELISA

Label

Unconjugated

Antibody Source

Recombinant Monoclonal Rabbit IgG Clone # 7P1J4 expressed in HEK293

Concentration

Please see the vial label for concentration. If unlisted please contact technical services.

Product Specifications

Immunogen

Recombinant fusion protein containing a sequence corresponding to amino acids 1-649 of human Thioredoxin Reductase 1/TRXR1 (Q16881). MGCAEGKAVAAAAPTELQTKGKNGDGRRRSAKDHHPGKTLPENPAGFTSTATADSRALLQAYIDGHSVVIFSRSTCTRCTEVKKLFKSLCVPYFVLELDQTEDGRALEGTLSELAAETDLPVVFVKQRKIGGHGPTLKAYQEGRLQKLLKMNGPEDLPKSYDYDLIIIGGGSGGLAAAKEAAQYGKKVMVLDFVTPTPLGTRWGLGGTCVNVGCIPKKLMHQAALLGQALQDSRNYGWKVEETVKHDWDRMIEAVQNHIGSLNWGYRVALREKKVVYENAYGQFIGPHRIKATNNKGKEKIYSAERFLIATGERPRYLGIPGDKEYCISSDDLFSLPYCPGKTLVVGASYVALECAGFLAGIGLDVTVMVRSILLRGFDQDMANKIGEHMEEHGIKFIRQFVPIKVEQIEAGTPGRLRVVAQSTNSEEIIEGEYNTVMLAIGRDACTRKIGLETVGVKINEKTGKIPVTDEEQTNVPYIYAIGDILEDKVELTPVAIQAGRLLAQRLYAGSTVKCDYENVPTTVFTPLEYGACGLSEEKAVEKFGEENIEVYHSYFWPLEWTIPSRDNNKCYAKIICNTKDNERVVGFHVLGPNAGEVTQGFAAALKCGLTKKQLDSTIGIHPVCAEVFTTLSVTKRSGASILQAGCUG

Clonality

Monoclonal

Host

Rabbit

Isotype

IgG

Theoretical MW

71 kDa.
Disclaimer note: The observed molecular weight of the protein may vary from the listed predicted molecular weight due to post translational modifications, post translation cleavages, relative charges, and other experimental factors.

Description

Novus Biologicals Rabbit Thioredoxin Reductase 1/TRXR1 Antibody (7P1J4) (NBP3-16470) is a recombinant monoclonal antibody validated for use in WB and ELISA. All Novus Biologicals antibodies are covered by our 100% guarantee.

Scientific Data Images for Thioredoxin Reductase 1/TRXR1 Antibody (7P1J4)

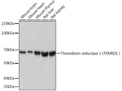
Western Blot: Thioredoxin Reductase 1/TRXR1 Antibody (7P1J4) [NBP3-16470]

Western Blot: Thioredoxin Reductase 1/TRXR1 Antibody (7P1J4) [NBP3-16470]

Western Blot: Thioredoxin Reductase 1/TRXR1 Antibody (7P1J4) [NBP3-16470] - Western blot analysis of extracts of various cell lines, using Thioredoxin reductase 1 (Thioredoxin Reductase 1/TRXR1 ) Rabbit mAb (NBP3-16470) at 1:1000 dilution. Secondary antibody: HRP Goat Anti-Rabbit IgG (H+L) at 1:10000 dilution. Lysates/proteins: 25ug per lane. Blocking buffer: 3% nonfat dry milk in TBST. Detection: ECL Basic Kit. Exposure time: 10s.
Western Blot: Thioredoxin Reductase 1/TRXR1 Antibody (7P1J4) [NBP3-16470]

Western Blot: Thioredoxin Reductase 1/TRXR1 Antibody (7P1J4) [NBP3-16470]

Western Blot: Thioredoxin Reductase 1/TRXR1 Antibody (7P1J4) [NBP3-16470] - Western blot analysis of extracts of various cell lines, using Thioredoxin reductase 1 (Thioredoxin Reductase 1/TRXR1 ) Rabbit mAb (NBP3-16470) at 1:1000 dilution. Secondary antibody: HRP Goat Anti-Rabbit IgG (H+L) at 1:10000 dilution. Lysates/proteins: 25ug per lane. Blocking buffer: 3% nonfat dry milk in TBST. Detection: ECL Basic Kit. Exposure time: 30s.

Applications for Thioredoxin Reductase 1/TRXR1 Antibody (7P1J4)

Application
Recommended Usage

Western Blot

1:500 - 1:1000

Formulation, Preparation, and Storage

Purification

Affinity purified

Formulation

PBS (pH 7.3), 50% glycerol, 0.05% BSA

Preservative

0.02% Sodium Azide

Concentration

Please see the vial label for concentration. If unlisted please contact technical services.

Shipping

The product is shipped with polar packs. Upon receipt, store it immediately at the temperature recommended below.

Stability & Storage

Store at -20C. Avoid freeze-thaw cycles.

Background: Thioredoxin Reductase 1/TRXR1

thioredoxin reductase 1 is a pyridine nucleotide oxidoreductase which reduces thioredoxins as well as other substrates, and plays a role in selenium metabolism and protection against oxidative stress. It is thought to function as a homodimer which uses FAD as a cofactor. Each subunit contains a selenocysteine residue which is required for the catalytic activity. Alternative splicing results in several transcript variants encoding the same protein. Additional transcript variants have been described but their biological validity has not been determined.

Alternate Names

GRIM-12, KDRF, TR1, TRXR1, TRXRD1, TXNR, TXNRD1

Gene Symbol

TXNRD1

Additional Thioredoxin Reductase 1/TRXR1 Products

Product Documents for Thioredoxin Reductase 1/TRXR1 Antibody (7P1J4)

Certificate of Analysis

To download a Certificate of Analysis, please enter a lot number in the search box below.

Product Specific Notices for Thioredoxin Reductase 1/TRXR1 Antibody (7P1J4)

This product is for research use only and is not approved for use in humans or in clinical diagnosis. Primary Antibodies are guaranteed for 1 year from date of receipt.

Loading...
Loading...
Loading...
Loading...