Skip to main content

Th-POK Antibody - BSA Free

Novus Biologicals, part of Bio-Techne | Catalog # NBP1-88078

Novus Biologicals, part of Bio-Techne
Catalog #
Availability
Size / Price
Qty
Loading...
NBP1-88078
NBP1-88078-25ul

Key Product Details

Validated by

Orthogonal Validation, Independent Antibodies

Species Reactivity

Validated:

Human

Predicted:

Mouse (94%), Rat (94%). Backed by our 100% Guarantee.

Applications

Immunocytochemistry/ Immunofluorescence, Immunohistochemistry, Immunohistochemistry-Paraffin

Label

Unconjugated

Antibody Source

Polyclonal Rabbit IgG

Format

BSA Free

Concentration

Concentrations vary lot to lot. See vial label for concentration. If unlisted please contact technical services.

Product Specifications

Immunogen

This antibody was developed against Recombinant Protein corresponding to amino acids: LLEFAYTATLTTSSANMPAVLQAARLLEIPCVIAACMEILQGSGLEAPSPDEDDCERARQYLEAFATATASGVPNGEDSPPQVPLPPPPPPPPRPVARRSRKPRKAFLQTKG

Clonality

Polyclonal

Host

Rabbit

Isotype

IgG

Description

Novus Biologicals Rabbit Th-POK Antibody - BSA Free (NBP1-88078) is a polyclonal antibody validated for use in IHC and ICC/IF. All Novus Biologicals antibodies are covered by our 100% guarantee.

Scientific Data Images for Th-POK Antibody - BSA Free

Th-POK Antibody - BSA Free Immunocytochemistry/ Immunofluorescence: Th-POK Antibody - BSA Free [NBP1-88078]

Immunocytochemistry/ Immunofluorescence: Th-POK Antibody - BSA Free [NBP1-88078]

Staining of human cell line U-251 MG shows localization to nucleoplasm.
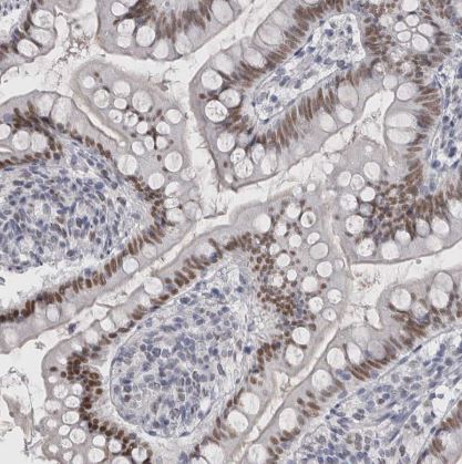
Th-POK Antibody - BSA Free Immunohistochemistry-Paraffin: Th-POK Antibody - BSA Free [NBP1-88078]

Immunohistochemistry-Paraffin: Th-POK Antibody - BSA Free [NBP1-88078]

Staining of human cerebral cortex, liver, lymph node and small intestine using Anti-ZBTB7B antibody NBP1-88078 (A) shows similar protein distribution across tissues to independent antibody NBP1-88077 (B).
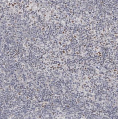
Th-POK Antibody - BSA Free Immunohistochemistry-Paraffin: Th-POK Antibody - BSA Free [NBP1-88078]

Immunohistochemistry-Paraffin: Th-POK Antibody - BSA Free [NBP1-88078]

Analysis in human small intestine and liver tissues using HPA025820 antibody. Corresponding ZBTB7B RNA-seq data are presented for the same tissues.

Applications for Th-POK Antibody - BSA Free

Application
Recommended Usage

Immunocytochemistry/ Immunofluorescence

0.25-2 ug/ml

Immunohistochemistry

1:20 - 1:50

Immunohistochemistry-Paraffin

1:20 - 1:50
Application Notes
For IHC-Paraffin, HIER pH 6 retrieval is recommended. ICC/IF Fixation Permeabilization: Use PFA/Triton X-100.

Formulation, Preparation, and Storage

Purification

Immunogen affinity purified

Formulation

PBS (pH 7.2) and 40% Glycerol

Format

BSA Free

Preservative

0.02% Sodium Azide

Concentration

Concentrations vary lot to lot. See vial label for concentration. If unlisted please contact technical services.

Shipping

The product is shipped with polar packs. Upon receipt, store it immediately at the temperature recommended below.

Stability & Storage

Store at 4C short term. Aliquot and store at -20C long term. Avoid freeze-thaw cycles.

Background: Th-POK

ZFP67 is an early growth response gene that encodes a zinc finger-containing transcription factor that binds to the promoter regions of type I collagen genes (e.g., COL1A1; MIM 120150) and has a role in development.[supplied by OMIM]

Long Name

T-helper-inducing POZ/Krueppel-like Factor

Alternate Names

c-Krox, ThPOK, ZBTB15, ZBTB7B, ZFP67, ZNF857B

Gene Symbol

ZBTB7B

Additional Th-POK Products

Product Documents for Th-POK Antibody - BSA Free

Certificate of Analysis

To download a Certificate of Analysis, please enter a lot number in the search box below.

Product Specific Notices for Th-POK Antibody - BSA Free

This product is for research use only and is not approved for use in humans or in clinical diagnosis. Primary Antibodies are guaranteed for 1 year from date of receipt.

Loading...
Loading...
Loading...
Loading...