TGR5/GPBAR1 Antibody - BSA Free
Novus Biologicals, part of Bio-Techne | Catalog # NBP2-23669
Key Product Details
Validated by
Species Reactivity
Validated:
Cited:
Predicted:
Applications
Validated:
Cited:
Label
Antibody Source
Format
Concentration
Product Specifications
Immunogen
Reactivity Notes
Clonality
Host
Isotype
Description
Scientific Data Images for TGR5/GPBAR1 Antibody - BSA Free
Western Blot: TGR5/GPBAR1 AntibodyBSA Free [NBP2-23669]
Western Blot: TGR5/GPBAR1 Antibody [NBP2-23669] - Analysis of spleen lysate. (1) Pre-immune sera. TGR5/GPBAR1 antibody tested on (2) Human 1:1000, (3) Mouse 1:5000, and (4) Rat 1:5000 spleen lysates.Immunocytochemistry/ Immunofluorescence: TGR5/GPBAR1 Antibody - BSA Free [NBP2-23669]
Immunocytochemistry/Immunofluorescence: TGR5/GPBAR1 Antibody [NBP2-23669] - Hek293 cells were fixed in 4% paraformaldehyde for 10 minutes and permeabilized in 0.05% Triton X-100 in PBS for 5 minutes. The cells were incubated with anti-TGR5/GPBAR1 Antibody NBP2-23669 at 2 ug/ml overnight at 4C and detected with an anti-rabbit Dylight 488 (Green) at a 1:1000 dilution for 60 minutes. Nuclei were counterstained with DAPI (Blue). Cells were imaged using a 100X objective and digitally deconvolved.Immunohistochemistry-Paraffin: TGR5/GPBAR1 Antibody - BSA Free [NBP2-23669]
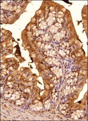
Immunohistochemistry-Paraffin: TGR5/GPBAR1 Antibody [NBP2-23669] - Tissue section of mouse colon using TGR5/GPBAR1 antibody at 1:200 dilution. The signal was detected using HRP-labelled secondary antibody and DAB staining which followed counterstaining with hematoxylin. This TGR5/GPBAR1 antibody generated a very specific a cytoplasmic staining primarily in the columner epithelial cells. A subset of cells from mucosa muscularis and the lamina propria also showed TGR5 positivity. Some cells in all histological layers depicted a nuclear staining also.Applications for TGR5/GPBAR1 Antibody - BSA Free
Immunocytochemistry/ Immunofluorescence
Immunohistochemistry
Immunohistochemistry-Paraffin
Western Blot
Formulation, Preparation, and Storage
Purification
Formulation
Format
Preservative
Concentration
Shipping
Stability & Storage
Background: TGR5/GPBAR1
TGR5, also called GPBAR1, M-BAR, or BG37 or is a G-protein coupled receptor superfamily member that is a widely expressed cell surface receptor for bile acids. On macrophages, bile acid engagement of TGR5/GPBAR1 suppresses phagocytosis and other functions. Extracellular portions of human TGR5/GPBAR1 show approximately 75% amino acid identity with corresponding regions of mouse TGR5/GPBAR1.
Long Name
Alternate Names
Gene Symbol
UniProt
Additional TGR5/GPBAR1 Products
Product Documents for TGR5/GPBAR1 Antibody - BSA Free
Product Specific Notices for TGR5/GPBAR1 Antibody - BSA Free
This product is for research use only and is not approved for use in humans or in clinical diagnosis. Primary Antibodies are guaranteed for 1 year from date of receipt.