Skip to main content

TGF-beta Antibody (1D11.16.8) - BSA Free

Novus Biologicals, part of Bio-Techne | Catalog # NBP2-45137

Novus Biologicals, part of Bio-Techne
Catalog #
Availability
Size / Price
Qty
Loading...
NBP2-45137-0.02mg
NBP2-45137-0.1mg

Key Product Details

Species Reactivity

Validated:

Human, Mouse, Rat, Bovine, Canine, Goat, Hamster, Monkey

Cited:

Human, Mouse

Applications

Validated:

Immunohistochemistry, Immunohistochemistry-Paraffin, Sandwich ELISA, ELISA Capture (Matched Antibody Pair), Immunocytochemistry/ Immunofluorescence

Cited:

Immunohistochemistry-Paraffin, Immunohistochemistry-Frozen, IF/IHC

Label

Unconjugated

Antibody Source

Monoclonal Mouse IgG1 kappa Clone # 1D11.16.8

Format

BSA Free

Concentration

1.0 mg/ml

Product Specifications

Immunogen

Bovine bone-derived TGF-beta 1 and TGF-beta 2

Reactivity Notes

Goat reactivity reported from a verified customer review.

Localization

Cytoplasm and extracellular (secreted)

Specificity

This MAb recognizes TGF beta 1, 2 and 3. Three TGF betas have been identified in mammals. TGFbeta1, TGFbeta2 and TGFbeta3 are each synthesized as precursor proteins that are very similar in that each is cleaved to yield a 112 amino acid polypeptide that remains associated with the latent portion of the molecules. Biologically active TGFbeta requires dimerization of the monomers (usually homodimers) and release of the latent peptide portion. Overall, the mature region of the TGFbeta3 protein has approximately 80% identity to the mature region of both TGFbeta1 and TGFbeta2. However, the NH2 terminals or precursor regions of their molecules share only 27% sequence identity. TGFbeta's inhibit the growth of epithelial cells and stimulate the growth of mesenchymal cells.

Clonality

Monoclonal

Host

Mouse

Isotype

IgG1 kappa

Theoretical MW

13 kDa.
Disclaimer note: The observed molecular weight of the protein may vary from the listed predicted molecular weight due to post translational modifications, post translation cleavages, relative charges, and other experimental factors.

Description

Novus Biologicals Mouse TGF-beta Antibody (1D11.16.8) - BSA Free (NBP2-45137) is a monoclonal antibody validated for use in IHC, ELISA and ICC/IF. Anti-TGF-beta Antibody: Cited in 4 publications. All Novus Biologicals antibodies are covered by our 100% guarantee.

Scientific Data Images for TGF-beta Antibody (1D11.16.8) - BSA Free

Immunocytochemistry/ Immunofluorescence: TGF-beta Antibody (1D11.16.8) - BSA Free [NBP2-45137]

Immunocytochemistry/ Immunofluorescence: TGF-beta Antibody (1D11.16.8) - BSA Free [NBP2-45137]

Immunocytochemistry/Immunofluorescence: TGF-beta Antibody (1D11.16.8) - BSA Free [NBP2-45137] - U2OS cells were fixed in 4% paraformaldehyde for 10 minutes and permeabilized in 0.05% Triton X-100 in PBS for 5 minutes. The cells were incubated with TGF-beta Antibody [1D11.16.8] (NBP2-45137) at 1ug/ml overnight at 4C and detected with an anti-mouse DyLight 488 (Green) at a 1:1000 dilution for 60 minutes. Nuclei were counterstained with DAPI (Blue). Cells were imaged using a 40X objective.
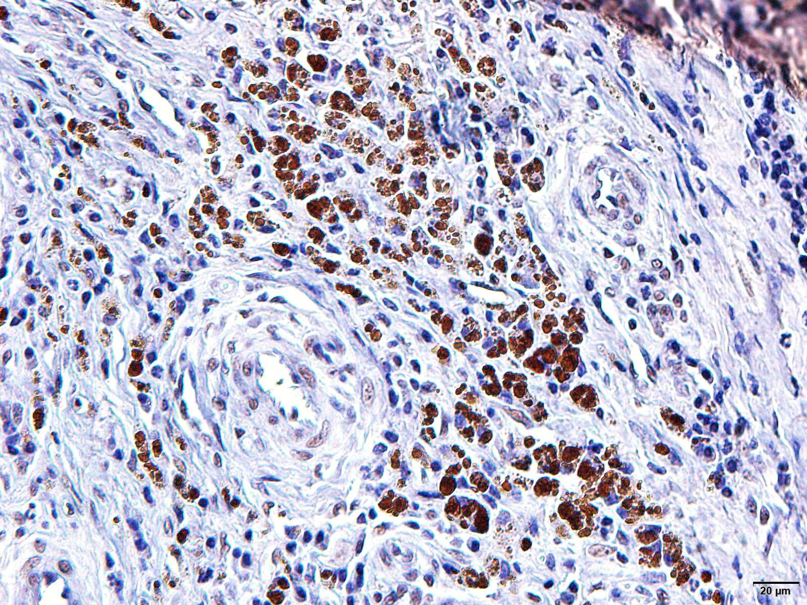
Immunohistochemistry: TGF-beta Antibody (1D11.16.8) - BSA Free [NBP2-45137]

Immunohistochemistry: TGF-beta Antibody (1D11.16.8) - BSA Free [NBP2-45137]

Immunohistochemistry: TGF-beta Antibody (1D11.16.8) [NBP2-45137] - TGF-beta was detected in immersion fixed paraffin-embedded human skin using 25 ug/mL Mouse Anti-TGF-beta Monoclonal Antibody (Clone 1D11.16.8) overnight at 4 degrees C. Tissues was stained using the Anti-Mouse HRP-DAB Cell and Tissue Staining Kit (brown; Catalog # CTS002) and counterstained with Haematoxylin (blue).
TGF-beta Antibody (1D11.16.8) - BSA Free

Immunohistochemistry-Paraffin: Mouse Monoclonal TGF-beta Antibody (1D11.16.8) [NBP2-45137]

The sections of histological goat bone fragments were incubated with the primary antibody TGF-beta NBP2-45137 overnight. Subsequently, the secondary antibody NB7539 1:200; was applied and incubated for 1 hour. Image from a verified customer review.

Applications for TGF-beta Antibody (1D11.16.8) - BSA Free

Application
Recommended Usage

Immunocytochemistry/ Immunofluorescence

8-25 ug/ml

Immunohistochemistry-Paraffin

0.5 - 1.0ug/ml
Application Notes
Hu-chromosome location: 19q13.1 (beta1); 1q41 (beta2); 14q24 (beta3)
For Cytokine Neutralization and Functional Assay, order Azide and BSA Free formulation (NBP2-47736)

Reviewed Applications

Read 1 review rated 5 using NBP2-45137 in the following applications:

Formulation, Preparation, and Storage

Purification

Protein A or G purified

Formulation

PBS

Format

BSA Free

Preservative

0.02% Sodium Azide

Concentration

1.0 mg/ml

Shipping

The product is shipped with polar packs. Upon receipt, store it immediately at the temperature recommended below.

Stability & Storage

Store at 4C short term. Store at -20C long term. Avoid freeze-thaw cycles.

Background: TGF-beta

TGF-beta 1 (Transforming Growth Factor beta 1) is a pleiotrophic cytokine that regulates immune function, proliferation, and epithelial-mesenchymal transition. TGF-beta 1 associates with LAP to form a latent complex. It can be is activated from latency by plasmin, matrix metalloproteases, thrombospondin 1, and a subset of integrins. TGF-beta 1 signals through complexes of TGF-beta RII with TGF-beta RI/ALK-5 or ALK-1. TGF-beta signaling is modulated by the accessory receptors TGF-beta RIII/Betaglycan and Endoglin/CD105.

Long Name

Transforming Growth Factor beta

Alternate Names

TGFbeta

Gene Symbol

TGFB1

UniProt

Additional TGF-beta Products

Product Documents for TGF-beta Antibody (1D11.16.8) - BSA Free

Certificate of Analysis

To download a Certificate of Analysis, please enter a lot number in the search box below.

Product Specific Notices for TGF-beta Antibody (1D11.16.8) - BSA Free

This product is for research use only and is not approved for use in humans or in clinical diagnosis. Primary Antibodies are guaranteed for 1 year from date of receipt.

Loading...
Loading...
Loading...
Loading...