Skip to main content

TFII-I Antibody - BSA Free

Novus Biologicals, part of Bio-Techne | Catalog # NBP3-38482

Novus Biologicals, part of Bio-Techne
Catalog #
Availability
Size / Price
Qty
Loading...
NBP3-38482-20ul
NBP3-38482-100ul

Key Product Details

Species Reactivity

Human, Mouse, Rat

Applications

ELISA, Immunohistochemistry, Immunohistochemistry-Paraffin, Western Blot

Label

Unconjugated

Antibody Source

Polyclonal Rabbit IgG

Format

BSA Free

Concentration

Please see the vial label for concentration. If unlisted please contact technical services.

Product Specifications

Immunogen

Recombinant fusion protein containing a sequence corresponding to amino acids 600-810 of human TFII-I (NP_001157108.1).

Sequence:
TWFGIPRLERIVRGSNKIKFVVKKPELVISYLPPGMASKINTKALQSPKRPRSPGSNSKVPEIEVTVEGPNNNNPQTSAVRTPTQTNGSNVPFKPRGREFSFEAWNAKITDLKQKVENLFNEKCGEALGLKQAVKVPFALFESFPEDFYVEGLPEGVPFRRPSTFGIPRLEKILRNKAKIKFIIKKPEMFETAIKESTSSKSPPRKINSSP

Clonality

Polyclonal

Host

Rabbit

Isotype

IgG

Theoretical MW

112 kDa.
Disclaimer note: The observed molecular weight of the protein may vary from the listed predicted molecular weight due to post translational modifications, post translation cleavages, relative charges, and other experimental factors.

Description

Novus Biologicals Rabbit TFII-I Antibody - BSA Free (NBP3-38482) is a polyclonal antibody validated for use in IHC, WB and ELISA. All Novus Biologicals antibodies are covered by our 100% guarantee.

Scientific Data Images for TFII-I Antibody - BSA Free

TFII-I Antibody

Western Blot: TFII-I Antibody [NBP3-38482] -

Western Blot: TFII-I Antibody [NBP3-38482] - Western blot analysis of lysates from mouse brain, using TFII-I Rabbit pAb at 1:500 dilution.
Secondary antibody: HRP-conjugated Goat anti-Rabbit IgG (H+L) at 1:10000 dilution.
Lysates/proteins: 25ug per lane.
Blocking buffer: 3% nonfat dry milk in TBST.
Detection: ECL Enhanced Kit.
Exposure time: 90s.
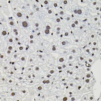
TFII-I Antibody

Immunohistochemistry: TFII-I Antibody [NBP3-38482] -

Immunohistochemistry: TFII-I Antibody [NBP3-38482] - Immunohistochemistry analysis of paraffin-embedded Rat brain using TFII-I Rabbit pAb (40x lens). Microwave antigen retrieval performed with 0.01M PBS Buffer (pH 7.2) prior to IHC staining.
TFII-I Antibody

Western Blot: TFII-I Antibody [NBP3-38482] -

Western Blot: TFII-I Antibody [NBP3-38482] - Western blot analysis of lysates from BT-474 cells, using TFII-I Rabbit pAb at 1:500 dilution.
Secondary antibody: HRP-conjugated Goat anti-Rabbit IgG (H+L) at 1:10000 dilution.
Lysates/proteins: 25ug per lane.
Blocking buffer: 3% nonfat dry milk in TBST.
Detection: ECL Basic Kit.
Exposure time: 90s.

Applications for TFII-I Antibody - BSA Free

Application
Recommended Usage

Immunohistochemistry-Paraffin

1:100 - 1:200

Western Blot

1:500 - 1:2000

Formulation, Preparation, and Storage

Purification

Affinity purified

Formulation

PBS (pH 7.3), 50% glycerol

Format

BSA Free

Preservative

0.02% Sodium Azide

Concentration

Please see the vial label for concentration. If unlisted please contact technical services.

Shipping

The product is shipped with polar packs. Upon receipt, store it immediately at the temperature recommended below.

Stability & Storage

Store at -20C. Avoid freeze-thaw cycles.

Background: TFII-I

TFII-I encodes a multifunctional phosphoprotein with roles in transcription and signal transduction. It is deleted in Williams-Beuren syndrome, a multisystem developmental disorder caused by the deletion of contiguous genes at chromosome 7q11.23. The exon(s) encoding 5' UTR has not been fully defined, but this gene is known to contain at least 34 exons, and its alternative splicing generates 4 transcript variants.

Alternate Names

BAP-135,135kD, BAP135WBS, Bruton tyrosine kinase-associated protein 135, BTKAP1, DIWS, FLJ38776, FLJ56355, general transcription factor II, i, general transcription factor IIi, general transcription factor II-I, GTFII-I, IB291, SPINBTK-associated protein 135, TFII-ISRF-Phox1-interacting protein, WBSCR6, Williams-Beuren syndrome chromosome region 6

Gene Symbol

GTF2I

Additional TFII-I Products

Product Documents for TFII-I Antibody - BSA Free

Certificate of Analysis

To download a Certificate of Analysis, please enter a lot number in the search box below.

Product Specific Notices for TFII-I Antibody - BSA Free

This product is for research use only and is not approved for use in humans or in clinical diagnosis. Primary Antibodies are guaranteed for 1 year from date of receipt.

Loading...
Loading...
Loading...
Loading...