Skip to main content

TET1 Antibody - BSA Free

Novus Biologicals, part of Bio-Techne | Catalog # NBP3-11863

Novus Biologicals, part of Bio-Techne

Key Product Details

Species Reactivity

Human, Mouse

Applications

Immunohistochemistry, Immunohistochemistry-Paraffin, Western Blot, Flow (Intracellular), Immunocytochemistry/ Immunofluorescence

Label

Unconjugated

Antibody Source

Polyclonal Rabbit IgG

Format

BSA Free

Concentration

1.0 mg/ml

Product Specifications

Immunogen

Partial recombinant human TET1 protein produced in E. coli (amino acids 1-206) [UniProt Q8NFU7].

Clonality

Polyclonal

Host

Rabbit

Isotype

IgG

Description

Novus Biologicals Rabbit TET1 Antibody - BSA Free (NBP3-11863) is a polyclonal antibody validated for use in IHC, WB, Flow and ICC/IF. All Novus Biologicals antibodies are covered by our 100% guarantee.

Scientific Data Images for TET1 Antibody - BSA Free

Western Blot: TET1 AntibodyBSA Free [NBP3-11863]

Western Blot: TET1 AntibodyBSA Free [NBP3-11863]

Western Blot: TET1 Antibody [NBP3-11863] - Total protein from human K562 Nuclear and mouse L929 cells was separated on a 7.5% gel by SDS-PAGE, transferred to PVDF membrane and blocked in 5% non-fat milk in TBST. The membrane was probed with 2.0 ug/ml anti-TET1 (NBP3-11863) in blocking buffer and detected with an anti-rabbit HRP secondary antibody using NovaLume chemiluminescence detection reagent (NPB2-61915).
Immunocytochemistry/ Immunofluorescence: TET1 Antibody - BSA Free [NBP3-11863]

Immunocytochemistry/ Immunofluorescence: TET1 Antibody - BSA Free [NBP3-11863]

Immunocytochemistry/Immunofluorescence: TET1 Antibody [NBP3-11863] - PC12 cells were fixed for 10 minutes using 4% paraformaldehyde and then permeabilized for 5 minutes using 1X PBS + 0.5% Triton-X100. The cells were incubated with anti-TET1 at 1 ug/ml overnight at 4C and detected with an anti-rabbit Dylight 488 (Green) at a 1:500 dilution. Nuclei were counterstained with DAPI (Blue). Cells were imaged using a 40X objective.
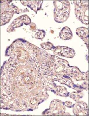
Immunohistochemistry-Paraffin: TET1 Antibody - BSA Free [NBP3-11863]

Immunohistochemistry-Paraffin: TET1 Antibody - BSA Free [NBP3-11863]

Immunohistochemistry-Paraffin: TET1 Antibody [NBP3-11863] - Analysis of a FFPE tissue section of human placenta using 1:200 dilution of TET1 antibody (NBP3-11863). The staining was developed using HRP labeled anti-rabbit secondary antibody and DAB reagent, and nuclei of cells were counter-stained with hematoxylin.

Applications for TET1 Antibody - BSA Free

Application
Recommended Usage

Flow (Intracellular)

1 - 3 ug/ml

Immunocytochemistry/ Immunofluorescence

1 - 2 ug/ml

Immunohistochemistry

1:200

Immunohistochemistry-Paraffin

1:200

Western Blot

2 - 4 ug/ml

Formulation, Preparation, and Storage

Purification

Immunogen affinity purified

Formulation

PBS

Format

BSA Free

Preservative

0.02% Sodium Azide

Concentration

1.0 mg/ml

Stability & Storage

Store at 4C short term. Aliquot and store at -20C long term. Avoid freeze-thaw cycles.

Background: TET1

TET1 (Ten-eleven translocation 1), also called methylcytosine dioxygenase TET1 or CXXC6, is one of three members of the human TET protein family of alpha-ketoglutarate oxygenases which includes TET2 and TET3 (1-3). TET1 is an enzyme that plays a role in epigenetic regulation of DNA methylation by conversion of 5-methylcytosine (5mC) to 5-hydroxymethylcytosine (5hmC), and further to 5-formylcystosine (5fC) and 5-carboxylcystosine (5caC) (1-5). The human TET1 protein is 2136 amino acids in length with a theoretical molecular weight of 235 kDa (6). Primary features of the TET1 protein include an N-terminal CXXC domain responsible for binding CpG islands in DNA, and a C-terminal catalytic domain containing a Cys-rich region followed by a double-stranded beta-helix (DSBH) domain that contributes to the mC dioxygenase activity and metal binding (1,2,4,5).

Recent studies have shown a role for TET1 in mediating epigenetic changes, such as DNA methylation status, in response to environmental factors such as food and nutrition, exercise, radiation, and allergens (3). The balance between DNA methylation and demethylation is crucial in health and homeostasis (3,5). In addition to response to environmental exposures, TET1 also plays a role in different diseases and cancer subtypes where it can function as either a tumor suppressor or tumor promoter (2,5). TET1 was originally identified as a fusion partner for the mixed lineage leukemia (MLL) gene in acute myeloid leukemia (AML) (1-3). While TET1 expression is low in AML, it is highly expressed in T-cell acute lymphoblastic leukemia (T-ALL) (2). Similarly, TET1 expression is suppressed in hormone receptor positive breast cancer (HRBC) but elevated in triple negative breast cancer (2). TET1 is a potential therapeutic target in certain cancers, but due to its complex role in different signaling pathways its potential needs to be more widely studied (2). While TET1 is primarily responsible for initiating DNA demethylation, it also functions alongside 5hmc in maintaining pluripotency in embryonic stem cells (ESCs) and can serve as a marker for differentiation (1,2,4,5).

References

1. Tan L, Shi YG. Tet family proteins and 5-hydroxymethylcytosine in development and disease. Development. 2012;139(11):1895-1902. https://doi.org/10.1242/dev.070771

2. Liu W, Wu G, Xiong F, Chen Y. Advances in the DNA methylation hydroxylase TET1. Biomark Res. 2021;9(1):76. https://doi.org/10.1186/s40364-021-00331-7

3. Zhu T, Brown AP, Ji H. The Emerging Role of Ten-Eleven Translocation 1 in Epigenetic Responses to Environmental Exposures. Epigenet Insights. 2020;13:2516865720910155. https://doi.org/10.1177/2516865720910155

4. Melamed P, Yosefzon Y, David C, Tsukerman A, Pnueli L. Tet Enzymes, Variants, and Differential Effects on Function. Front Cell Dev Biol. 2018;6:22. https://doi.org/10.3389/fcell.2018.00022

5. Ma C, Seong H, Liu Y, Yu X, Xu S, Li Y. Ten-eleven translocation proteins (TETs): tumor suppressors or tumor enhancers?. Front Biosci (Landmark Ed). 2021;26(10):895-915. https://doi.org/10.52586/4996

6. Uniprot (Q8NFU7)

Long Name

Methylcytosine dioxygenase TET1

Alternate Names

CXXC6, EC 1.14.11.n2, KIAA1676, LCX

Gene Symbol

TET1

Additional TET1 Products

Product Documents for TET1 Antibody - BSA Free

Certificate of Analysis

To download a Certificate of Analysis, please enter a lot number in the search box below.

Product Specific Notices for TET1 Antibody - BSA Free

This product is for research use only and is not approved for use in humans or in clinical diagnosis. Primary Antibodies are guaranteed for 1 year from date of receipt.

Loading...
Loading...
Loading...
Loading...
Loading...