Skip to main content

TET1 Antibody - BSA Free

Novus Biologicals, part of Bio-Techne | Catalog # NBP2-76345

Novus Biologicals, part of Bio-Techne
Catalog #
Availability
Size / Price
Qty
Loading...
NBP2-76345

Key Product Details

Validated by

Knockout/Knockdown

Species Reactivity

Human, Mouse, Monkey

Applications

Immunohistochemistry, Immunohistochemistry-Paraffin, Western Blot, Immunocytochemistry/ Immunofluorescence, Immunoprecipitation, Chromatin Immunoprecipitation (ChIP)

Label

Unconjugated

Antibody Source

Polyclonal Rabbit IgG

Format

BSA Free

Concentration

Concentrations vary lot to lot. See vial label for concentration. If unlisted please contact technical services.

Product Specifications

Immunogen

Recombinant protein encompassing a sequence within the center region of human TET1. The exact sequence is proprietary.

Clonality

Polyclonal

Host

Rabbit

Isotype

IgG

Theoretical MW

235 kDa.
Disclaimer note: The observed molecular weight of the protein may vary from the listed predicted molecular weight due to post translational modifications, post translation cleavages, relative charges, and other experimental factors.

Description

Novus Biologicals Rabbit TET1 Antibody - BSA Free (NBP2-76345) is a polyclonal antibody validated for use in IHC, WB, ICC/IF, IP and ChIP. All Novus Biologicals antibodies are covered by our 100% guarantee.

Scientific Data Images for TET1 Antibody - BSA Free

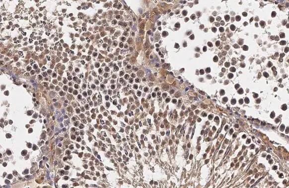
TET1 Antibody

Immunohistochemistry-Paraffin: TET1 Antibody [NBP2-76345] -

Immunohistochemistry-Paraffin: TET1 Antibody [NBP2-76345] - TET1 antibody [N3C1] detects TET1 protein at nucleus by immunohistochemical analysis.Sample: Paraffin-embedded mouse testis.TET1 stained by TET1 antibody [N3C1] (NBP2-76345) diluted at 1:500.Antigen Retrieval: Citrate buffer, pH 6.0, 15 min
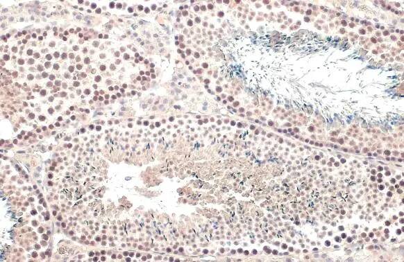
TET1 Antibody

Immunohistochemistry: TET1 Antibody [NBP2-76345] -

Immunohistochemistry: TET1 Antibody [NBP2-76345] - TET1 antibody [N3C1] detects TET1 protein at nucleus on Human normal prostate tissue by immunohistochemical analysis.
Sample: Paraffin-embedded Human normal prostate tissue.
TET1 antibody [N3C1] (NBP2-76345) dilution: 1:1000.

Antigen Retrieval: Trilogy™ (EDTA based, pH 8.0) buffer, 15min
TET1 Antibody

Western Blot: TET1 Antibody [NBP2-76345] -

Western Blot: TET1 Antibody [NBP2-76345] - Various whole cell extracts (30 ug) were separated by 5% SDS-PAGE, and the membrane was blotted with TET1 antibody [N3C1] (NBP2-76345) diluted at 1:2000. The HRP-conjugated anti-rabbit IgG antibody was used to detect the primary antibody.

Applications for TET1 Antibody - BSA Free

Application
Recommended Usage

Immunocytochemistry/ Immunofluorescence

1:100-1:1000

Immunohistochemistry-Paraffin

1:100-1:1000

Western Blot

1:500-1:3000

Formulation, Preparation, and Storage

Purification

Antigen Affinity-purified

Formulation

PBS, 20% Glycerol

Format

BSA Free

Preservative

0.025% Proclin 300

Concentration

Concentrations vary lot to lot. See vial label for concentration. If unlisted please contact technical services.

Shipping

The product is shipped with polar packs. Upon receipt, store it immediately at the temperature recommended below.

Stability & Storage

Aliquot and store at -20C or -80C. Avoid freeze-thaw cycles.

Background: TET1

TET1 (Ten-eleven translocation 1), also called methylcytosine dioxygenase TET1 or CXXC6, is one of three members of the human TET protein family of alpha-ketoglutarate oxygenases which includes TET2 and TET3 (1-3). TET1 is an enzyme that plays a role in epigenetic regulation of DNA methylation by conversion of 5-methylcytosine (5mC) to 5-hydroxymethylcytosine (5hmC), and further to 5-formylcystosine (5fC) and 5-carboxylcystosine (5caC) (1-5). The human TET1 protein is 2136 amino acids in length with a theoretical molecular weight of 235 kDa (6). Primary features of the TET1 protein include an N-terminal CXXC domain responsible for binding CpG islands in DNA, and a C-terminal catalytic domain containing a Cys-rich region followed by a double-stranded beta-helix (DSBH) domain that contributes to the mC dioxygenase activity and metal binding (1,2,4,5).

Recent studies have shown a role for TET1 in mediating epigenetic changes, such as DNA methylation status, in response to environmental factors such as food and nutrition, exercise, radiation, and allergens (3). The balance between DNA methylation and demethylation is crucial in health and homeostasis (3,5). In addition to response to environmental exposures, TET1 also plays a role in different diseases and cancer subtypes where it can function as either a tumor suppressor or tumor promoter (2,5). TET1 was originally identified as a fusion partner for the mixed lineage leukemia (MLL) gene in acute myeloid leukemia (AML) (1-3). While TET1 expression is low in AML, it is highly expressed in T-cell acute lymphoblastic leukemia (T-ALL) (2). Similarly, TET1 expression is suppressed in hormone receptor positive breast cancer (HRBC) but elevated in triple negative breast cancer (2). TET1 is a potential therapeutic target in certain cancers, but due to its complex role in different signaling pathways its potential needs to be more widely studied (2). While TET1 is primarily responsible for initiating DNA demethylation, it also functions alongside 5hmc in maintaining pluripotency in embryonic stem cells (ESCs) and can serve as a marker for differentiation (1,2,4,5).

References

1. Tan L, Shi YG. Tet family proteins and 5-hydroxymethylcytosine in development and disease. Development. 2012;139(11):1895-1902. https://doi.org/10.1242/dev.070771

2. Liu W, Wu G, Xiong F, Chen Y. Advances in the DNA methylation hydroxylase TET1. Biomark Res. 2021;9(1):76. https://doi.org/10.1186/s40364-021-00331-7

3. Zhu T, Brown AP, Ji H. The Emerging Role of Ten-Eleven Translocation 1 in Epigenetic Responses to Environmental Exposures. Epigenet Insights. 2020;13:2516865720910155. https://doi.org/10.1177/2516865720910155

4. Melamed P, Yosefzon Y, David C, Tsukerman A, Pnueli L. Tet Enzymes, Variants, and Differential Effects on Function. Front Cell Dev Biol. 2018;6:22. https://doi.org/10.3389/fcell.2018.00022

5. Ma C, Seong H, Liu Y, Yu X, Xu S, Li Y. Ten-eleven translocation proteins (TETs): tumor suppressors or tumor enhancers?. Front Biosci (Landmark Ed). 2021;26(10):895-915. https://doi.org/10.52586/4996

6. Uniprot (Q8NFU7)

Long Name

Methylcytosine dioxygenase TET1

Alternate Names

CXXC6, EC 1.14.11.n2, KIAA1676, LCX

Gene Symbol

TET1

Additional TET1 Products

Product Documents for TET1 Antibody - BSA Free

Certificate of Analysis

To download a Certificate of Analysis, please enter a lot number in the search box below.

Product Specific Notices for TET1 Antibody - BSA Free

This product is for research use only and is not approved for use in humans or in clinical diagnosis. Primary Antibodies are guaranteed for 1 year from date of receipt.

Loading...
Loading...
Loading...
Loading...