Skip to main content

TEM5/GPR124 Antibody - BSA Free

Novus Biologicals, part of Bio-Techne | Catalog # NLS2171

Novus Biologicals, part of Bio-Techne
Catalog #
Availability
Size / Price
Qty
Loading...
NLS2171

Key Product Details

Species Reactivity

Validated:

Human

Predicted:

Monkey (95%), Primate (95%). Backed by our 100% Guarantee.

Applications

Immunohistochemistry, Immunohistochemistry-Paraffin

Label

Unconjugated

Antibody Source

Polyclonal Rabbit IgG

Format

BSA Free

Concentration

1.0 mg/ml

Product Specifications

Immunogen

Synthetic 19 amino acid peptide from N-terminal extracellular domain of human TEM5/GPR124.

Epitope

N-Terminus extracellular domain

Reactivity Notes

Predicted cross-reactivity based on sequence identity: Gibbon (100%), Marmoset (95%), Gorilla (89%), Canine (89%), Bat (84%), Hamster (84%), Equine (84%), Porcine (84%).

Localization

Membrane; multi pass membrane protein.

Specificity

Human GPR124. BLAST analysis of the peptide immunogen showed no homology with other human proteins.

Clonality

Polyclonal

Host

Rabbit

Isotype

IgG

Description

Product can be stored undiluted at 4C for up to 1 month.

Scientific Data Images for TEM5/GPR124 Antibody - BSA Free

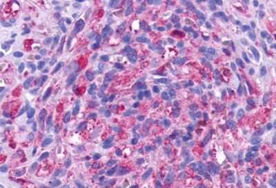
Immunohistochemistry-Paraffin: TEM5/GPR124 Antibody - BSA Free [NLS2171]

Immunohistochemistry-Paraffin: TEM5/GPR124 Antibody - BSA Free [NLS2171]

Immunohistochemistry-Paraffin: TEM5/GPR124 Antibody [NLS2171] - Anti-GPR124 / TEM5 antibody IHC of human Prostate, Carcinoma Capillary Endothelium. Immunohistochemistry of formalin-fixed, paraffin-embedded tissue after heat-induced antigen retrieval.
Immunohistochemistry-Paraffin: TEM5/GPR124 Antibody - BSA Free [NLS2171]

Immunohistochemistry-Paraffin: TEM5/GPR124 Antibody - BSA Free [NLS2171]

Immunohistochemistry-Paraffin: TEM5/GPR124 Antibody [NLS2171] - Analysis of anti-GPR124 / TEM5 antibody with human colon carcinoma, neoplastic cells.
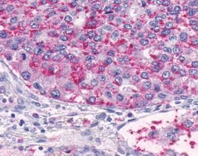
Immunohistochemistry-Paraffin: TEM5/GPR124 Antibody - BSA Free [NLS2171]

Immunohistochemistry-Paraffin: TEM5/GPR124 Antibody - BSA Free [NLS2171]

Immunohistochemistry-Paraffin: TEM5/GPR124 Antibody [NLS2171] - Analysis of anti-GPR124 / TEM5 antibody with human lung, adenocarcinoma.

Applications for TEM5/GPR124 Antibody - BSA Free

Application
Recommended Usage

Immunohistochemistry-Paraffin

2 - 5 ug/ml
Application Notes
.

Formulation, Preparation, and Storage

Purification

Immunogen affinity purified

Formulation

PBS

Format

BSA Free

Preservative

0.1% Sodium Azide

Concentration

1.0 mg/ml

Shipping

The product is shipped with polar packs. Upon receipt, store it immediately at the temperature recommended below.

Stability & Storage

Keep as concentrated solution. Aliquot and store at -20C or below. Avoid multiple freeze-thaw cycles.

Background: TEM5/GPR124

Tumor endothelial marker 5 is an Orphan-U GPCR with an unknown ligand. Tumor Endothelial Marker 5, like GPR125, has a leucine rich repeat (LRR), an immunoglobulin (Ig) domain, and a hormone-binding domain (HBD). The Ig domain shows similarities to motilin and titin, while the LRR domain shows similarities to LRIG1 and SLIT1-2. TEM5 expression has been documented in endothelial cells of tumors, including colon, brain, liver. Expression is restricted largely to endothelial cells (St Croix et al. 2000).

Long Name

Tumor Endothelial Marker 5

Alternate Names

GPR124, KIAA1531

Entrez Gene IDs

25960 (Human)

Gene Symbol

ADGRA2

UniProt

Additional TEM5/GPR124 Products

Product Documents for TEM5/GPR124 Antibody - BSA Free

Certificate of Analysis

To download a Certificate of Analysis, please enter a lot number in the search box below.

Product Specific Notices for TEM5/GPR124 Antibody - BSA Free

This product is for research use only and is not approved for use in humans or in clinical diagnosis. Primary Antibodies are guaranteed for 1 year from date of receipt.

Loading...
Loading...
Loading...
Loading...