Skip to main content

TEM5/GPR124 Antibody - BSA Free

Novus Biologicals, part of Bio-Techne | Catalog # NBP1-76844

Novus Biologicals, part of Bio-Techne

Key Product Details

Species Reactivity

Human, Rat

Applications

Immunohistochemistry, Immunohistochemistry-Paraffin, Western Blot, ELISA, Immunocytochemistry/ Immunofluorescence

Label

Unconjugated

Antibody Source

Polyclonal Rabbit IgG

Format

BSA Free

Concentration

1 mg/ml

Product Specifications

Immunogen

Antibody was raised against a 14 amino acid synthetic peptide near the center of human TEM5. The immunogen is located within amino acids 560 - 610 of TEM5. Amino Acid Squence: PPEPEPPADQQLR

Reactivity Notes

Immunogen displays the following percentage of sequence identity for non-tested species: Mouse (85%)

Clonality

Polyclonal

Host

Rabbit

Isotype

IgG

Description

Novus Biologicals Rabbit TEM5/GPR124 Antibody - BSA Free (NBP1-76844) is a polyclonal antibody validated for use in IHC, WB, ELISA and ICC/IF. All Novus Biologicals antibodies are covered by our 100% guarantee.

Scientific Data Images for TEM5/GPR124 Antibody - BSA Free

Western Blot: TEM5/GPR124 AntibodyBSA Free [NBP1-76844]

Western Blot: TEM5/GPR124 AntibodyBSA Free [NBP1-76844]

Western Blot: TEM5/GPR124 Antibody [NBP1-76844] - Rat kidney tissue lysate with GPR124 antibody at (A) 2 ug/ml and (B) 4 ug/ml.
TEM5/GPR124 Antibody - BSA Free

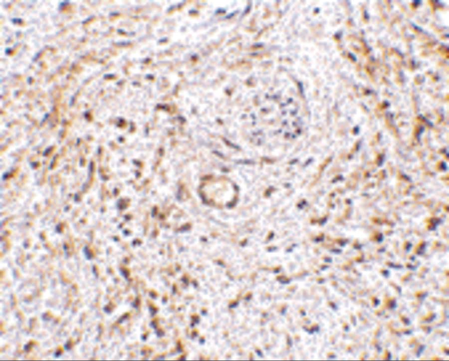
Immunohistochemistry: TEM5/GPR124 Antibody - BSA Free [NBP1-76844] -

Immunohistochemistry: TEM5/GPR124 Antibody - BSA Free [NBP1-76844] - Immunohistochemistry of TEM5/GPR124 in human bladder tissue with TEM5/GPR124 antibody at 5 ug/mL.
TEM5/GPR124 Antibody - BSA Free

Immunocytochemistry/ Immunofluorescence: TEM5/GPR124 Antibody - BSA Free [NBP1-76844] -

Immunocytochemistry/ Immunofluorescence: TEM5/GPR124 Antibody - BSA Free [NBP1-76844] - Immunofluorescence of TEM5/GPR124 in human bladder tissue with TEM5/GPR124 antibody at 20 ug/mL.

Applications for TEM5/GPR124 Antibody - BSA Free

Application
Recommended Usage

ELISA

1:100-1:2000

Immunocytochemistry/ Immunofluorescence

20 ug/mL

Immunohistochemistry

5 ug/ml

Immunohistochemistry-Paraffin

5 ug/ml

Western Blot

2 - 4 ug/ml

Formulation, Preparation, and Storage

Purification

Peptide affinity purified

Formulation

PBS

Format

BSA Free

Preservative

0.02% Sodium Azide

Concentration

1 mg/ml

Shipping

The product is shipped with polar packs. Upon receipt, store it immediately at the temperature recommended below.

Stability & Storage

Store at 4C.

Background: TEM5/GPR124

Tumor endothelial markers (TEMs) are significantly up-regulated during angiogenesis and neoangiogensis that are crucial for the growth of solid tumors. TEMs localized on the cell surface and conserved across species are of particular interest for future development of anti-angiogenic therapies. These include TEMs such as TEM1, TEM5, TEM7 and TEM8. TEM5 is a member of the adhesion family of G protein coupled receptors and is localized on the surface of endothelial cells. TEM5 is a seven-pass transmembrane receptor, unlike TEM1, TEM7 and TEM8 which span the membrane once. TEM5 is abundantly expressed in tumor vessels, heart, placenta, ovary, small intestine, and colon. Proteolytically processed soluble TEM5 mediates endothelial cell survival during angiogenesis by linking integrin to glycosaminoglycans.

Long Name

Tumor Endothelial Marker 5

Alternate Names

GPR124, KIAA1531

Entrez Gene IDs

25960 (Human)

Gene Symbol

ADGRA2

UniProt

Additional TEM5/GPR124 Products

Product Documents for TEM5/GPR124 Antibody - BSA Free

Certificate of Analysis

To download a Certificate of Analysis, please enter a lot number in the search box below.

Product Specific Notices for TEM5/GPR124 Antibody - BSA Free

This product is for research use only and is not approved for use in humans or in clinical diagnosis. Primary Antibodies are guaranteed for 1 year from date of receipt.

Loading...
Loading...
Loading...
Loading...