Skip to main content

TDG Antibody - BSA Free

Novus Biologicals, part of Bio-Techne | Catalog # NBP2-32248

Novus Biologicals, part of Bio-Techne

Key Product Details

Validated by

Biological Validation

Species Reactivity

Human

Applications

Immunohistochemistry, Immunohistochemistry-Paraffin, Western Blot, Immunoprecipitation

Label

Unconjugated

Antibody Source

Polyclonal Rabbit IgG

Format

BSA Free

Concentration

1.0 mg/ml

Product Specifications

Immunogen

The immunogen this antibody was made to, maps to a region between residue 360 to 410 of human Thymine-DNA Glycosylase using the numbering given in entry NP_003202.3 (GeneID 6996).

Clonality

Polyclonal

Host

Rabbit

Isotype

IgG

Description

Novus Biologicals Rabbit TDG Antibody - BSA Free (NBP2-32248) is a polyclonal antibody validated for use in IHC, WB and IP. All Novus Biologicals antibodies are covered by our 100% guarantee.

Scientific Data Images for TDG Antibody - BSA Free

Western Blot: TDG Antibody [NBP2-32248]

Western Blot: TDG Antibody [NBP2-32248]

Western Blot: TDG Antibody [NBP2-32248] - Samples: Whole cell lysate (50 ug) prepared using NETN buffer from HeLa, 293T, and Jurkat cells. Antibodies: Affinity purified rabbit anti-Thymine DNA glycosylase antibody NBP2-32248 used for WB at 0.1 ug/ml. Detection: Chemiluminescence with an exposure time of 3 minutes.
Immunohistochemistry-Paraffin: TDG Antibody [NBP2-32248]

Immunohistochemistry-Paraffin: TDG Antibody [NBP2-32248]

Immunohistochemistry-Paraffin: TDG Antibody [NBP2-32248] - FFPE section of human lung cancer. Antibody: Affinity purified rabbit anti- TDG used at a dilution of 1:1,000 (1ug/ml). Detection: DAB
Immunohistochemistry-Paraffin: TDG Antibody [NBP2-32248]

Immunohistochemistry-Paraffin: TDG Antibody [NBP2-32248]

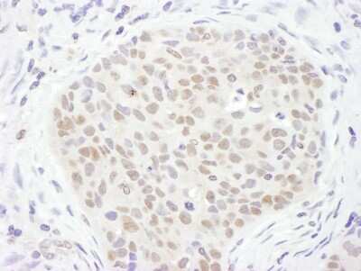
Immunohistochemistry-Paraffin: TDG Antibody [NBP2-32248] - FFPE section of human mammary glands. Antibody: Affinity purified rabbit anti- TDG used at a dilution of 1:1,000 (1ug/ml). Detection: DAB

Applications for TDG Antibody - BSA Free

Application
Recommended Usage

Immunohistochemistry

1:500 - 1:2000

Immunohistochemistry-Paraffin

1:500 - 1:2000

Immunoprecipitation

2 - 10 ug/mg lysate

Western Blot

1:2000 - 1:10000
Application Notes
Epitope retrieval with citrate buffer pH 6.0 is recommended for FFPE tissue sections.

Formulation, Preparation, and Storage

Purification

Immunogen affinity purified

Formulation

Tris-Citrate/Phosphate (pH 7.0 - 8.0)

Format

BSA Free

Preservative

0.09% Sodium Azide

Concentration

1.0 mg/ml

Shipping

The product is shipped with polar packs. Upon receipt, store it immediately at the temperature recommended below.

Stability & Storage

Store at 4C. Do not freeze.

Background: TDG

Thymine DNA glycosylase is encoded by this gene belongs to the TDG/mug DNA glycosylase family. Thymine-DNA glycosylase (TDG) removes thymine moieties from G/T mismatches by hydrolyzing the carbon-nitrogen bond between the sugar-phosphate backbone of DNA and the mispaired thymine. With lower activity, this enzyme also removes thymine from C/T and T/T mispairings. TDG can also remove uracil and 5-bromouracil from mispairings with guanine. This enzyme plays a central role in cellular defense against genetic mutation caused by the spontaneous deamination of 5-methylcytosine and cytosine. This gene may have a pseudogene in the p arm of chromosome 12. [provided by RefSeq]

Long Name

Thymine DNA Glycosylase

Alternate Names

EC 3.2.2.29, thymine-DNA glycosylaseG/T mismatch-specific thymine DNA glycosylase

Gene Symbol

TDG

Additional TDG Products

Product Documents for TDG Antibody - BSA Free

Certificate of Analysis

To download a Certificate of Analysis, please enter a lot number in the search box below.

Product Specific Notices for TDG Antibody - BSA Free

This product is for research use only and is not approved for use in humans or in clinical diagnosis. Primary Antibodies are guaranteed for 1 year from date of receipt.

Loading...
Loading...
Loading...
Loading...