TCP1 alpha Antibody - BSA Free
Novus Biologicals, part of Bio-Techne | Catalog # NBP1-88148
Key Product Details
Validated by
Independent Antibodies
Species Reactivity
Human, Mouse, Rat
Applications
Immunohistochemistry, Immunohistochemistry-Paraffin, Western Blot
Label
Unconjugated
Antibody Source
Polyclonal Rabbit IgG
Format
BSA Free
Concentration
Concentrations vary lot to lot. See vial label for concentration. If unlisted please contact technical services.
Product Specifications
Immunogen
This antibody was developed against Recombinant Protein corresponding to amino acids: CVVKRVLESKSVVPGGGAVEAALSIYLENYATSMGSREQLAIAEFARSLLVIPNTLAVNAAQDSTDLVAKLRAFHNEAQVNPERK
Clonality
Polyclonal
Host
Rabbit
Isotype
IgG
Description
Novus Biologicals Rabbit TCP1 alpha Antibody - BSA Free (NBP1-88148) is a polyclonal antibody validated for use in IHC and WB. All Novus Biologicals antibodies are covered by our 100% guarantee.
Scientific Data Images for TCP1 alpha Antibody - BSA Free
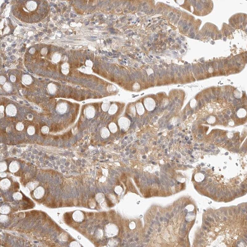
Immunohistochemistry-Paraffin: TCP1 alpha Antibody - BSA Free [NBP1-88148]
Staining of human kidney shows moderate cytoplasmic-membranous positivity in cells in glomeruli and weak cytoplasmic positivity in cells in tubules.Immunohistochemistry-Paraffin: TCP1 alpha Antibody - BSA Free [NBP1-88148]
Staining of human testis shows moderate cytoplasmic positivity in cells in seminiferous ducts and Leydig cells.Immunohistochemistry-Paraffin: TCP1 alpha Antibody - BSA Free [NBP1-88148]
Staining of human duodenum shows moderate cytoplasmic/membranous positivity in glandular cells.Applications for TCP1 alpha Antibody - BSA Free
Application
Recommended Usage
Immunohistochemistry
1:500 - 1:1000
Immunohistochemistry-Paraffin
1:500-1:1000
Western Blot
0.04-0.4 ug/ml
Application Notes
For IHC-Paraffin, HIER pH 6 retrieval is recommended.
Formulation, Preparation, and Storage
Purification
Immunogen affinity purified
Formulation
PBS (pH 7.2) and 40% Glycerol
Format
BSA Free
Preservative
0.02% Sodium Azide
Concentration
Concentrations vary lot to lot. See vial label for concentration. If unlisted please contact technical services.
Shipping
The product is shipped with polar packs. Upon receipt, store it immediately at the temperature recommended below.
Stability & Storage
Store at 4C short term. Aliquot and store at -20C long term. Avoid freeze-thaw cycles.
Background: TCP1 alpha
Alternate Names
CCT1T-complex protein 1 subunit alpha, CCTA, CCT-alpha, D6S230E, tailless complex polypeptide 1, t-complex 1, T-complex protein 1, alpha subunit, TCP-1-alpha
Gene Symbol
TCP1
Additional TCP1 alpha Products
Product Documents for TCP1 alpha Antibody - BSA Free
Product Specific Notices for TCP1 alpha Antibody - BSA Free
This product is for research use only and is not approved for use in humans or in clinical diagnosis. Primary Antibodies are guaranteed for 1 year from date of receipt.
Loading...
Loading...
Loading...
Loading...