Skip to main content

TCEB2 Antibody - BSA Free

Novus Biologicals, part of Bio-Techne | Catalog # NBP3-30474

Novus Biologicals, part of Bio-Techne
Catalog #
Availability
Size / Price
Qty
Loading...
NBP3-30474

Key Product Details

Species Reactivity

Human, Mouse

Applications

Immunohistochemistry, Western Blot, Immunoprecipitation

Label

Unconjugated

Antibody Source

Polyclonal Rabbit IgG

Format

BSA Free

Concentration

Please see the vial label for concentration. If unlisted please contact technical services.

Product Specifications

Immunogen

Between 68 and 118

Clonality

Polyclonal

Host

Rabbit

Isotype

IgG

Description

Novus Biologicals Rabbit TCEB2 Antibody - BSA Free (NBP3-30474) is a polyclonal antibody validated for use in IHC, WB and IP. All Novus Biologicals antibodies are covered by our 100% guarantee.

Scientific Data Images for TCEB2 Antibody - BSA Free

TCEB2 Antibody

Immunohistochemistry;TCEB2 Antibody[NBP3-30451]

Immunohistochemistry;TCEB2 Antibody[NBP3-30451]Detection of human TCEB2 by immunohistochemistry. Sample: FFPE section of human breast carcinoma. Antibody: Affinity purified rabbit anti-TCEB2 used at a dilution of 1:5,000 . Detection: DAB
TCEB2 Antibody

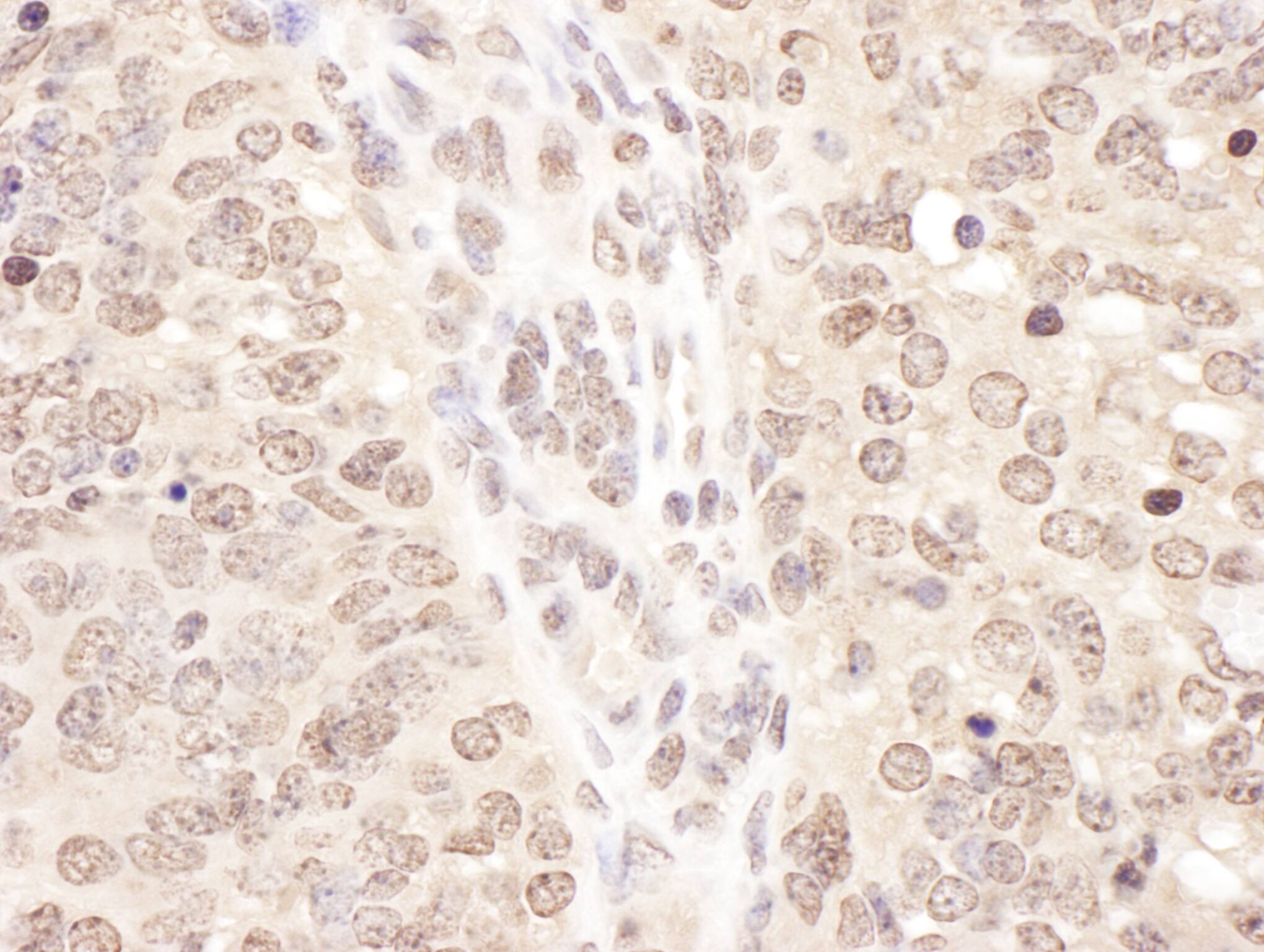
Immunohistochemistry;TCEB2 Antibody[NBP3-30474]

Immunohistochemistry;TCEB2 Antibody[NBP3-30474]Detection of mouse TCEB2 by immunohistochemistry. Sample: FFPE section of mouse teratoma. Antibody: Affinity purified rabbit anti-TCEB2 used at a dilution of 1:1,000 . Detection: DAB
TCEB2 Antibody

Immunoprecipitation:TCEB2 AntibodyNBP3-30474] -

Immunoprecipitation:TCEB2 AntibodyNBP3-30474] -Detection of human TCEB2 by western blot of immunoprecipitates. Samples: Whole cell lysate (1 mg for IP; 20% of IP loaded) from Jurkat cells. Antibodies: Affinity purified rabbit anti-TCEB2 antibody NBP3-30474 (lot NBP3-30474-1) used for IP at 6 µg/mg lysate. TCEB2 was inefficiently immunoprecipitated by rabbit anti-TCEB2 antibody BL14445. For blotting immunoprecipitated TCEB2, NBP3-30474 was used at 1 µg/ml. Detection: Chemiluminescence with an exposure time of 3 minutes.

Applications for TCEB2 Antibody - BSA Free

Application
Recommended Usage

Immunohistochemistry

Optimal dilutions of this antibody should be experimentally determined.

Immunoprecipitation

Optimal dilutions of this antibody should be experimentally determined.

Western Blot

Optimal dilutions of this antibody should be experimentally determined.

Formulation, Preparation, and Storage

Purification

Affinity purified

Formulation

Tris-citrate/phosphate buffer, pH 7 to 8

Format

BSA Free

Preservative

0.09% Sodium Azide

Concentration

Please see the vial label for concentration. If unlisted please contact technical services.

Shipping

The product is shipped with polar packs. Upon receipt, store it immediately at the temperature recommended below.

Stability & Storage

Store at 4C. Do not freeze.

Background: TCEB2

TCEB2 encodes the protein elongin B, which is a subunit of the transcription factor B (SIII) complex. The SIII complex is composed of elongins A/A2, B and C. It activates elongation by RNA polymerase II by suppressing transient pausing of the polymerase at many sites within transcription units. Elongin A functions as the transcriptionally active component of the SIII complex, whereas elongins B and C are regulatory subunits. Elongin A2 is specifically expressed in the testis, and capable of forming a stable complex with elongins B and C. The von Hippel-Lindau tumor suppressor protein binds to elongins B and C, and thereby inhibits transcription elongation. Two alternatively spliced transcript variants encoding different isoforms have been described for this gene.

Alternate Names

18-kD subunit, ELOB, Elongin 18 kDa subunit, elongin-B, RNA polymerase II transcription factor SIII p18 subunit, RNA polymerase II transcription factor SIII subunit B, SIII p18, transcription elongation factor B (SIII), polypeptide 2 (18kD, elongin B), transcription elongation factor B (SIII), polypeptide 2 (18kDa, elongin B), transcription elongation factor B polypeptide 2

Gene Symbol

ELOB

Additional TCEB2 Products

Product Documents for TCEB2 Antibody - BSA Free

Certificate of Analysis

To download a Certificate of Analysis, please enter a lot number in the search box below.

Product Specific Notices for TCEB2 Antibody - BSA Free

This product is for research use only and is not approved for use in humans or in clinical diagnosis. Primary Antibodies are guaranteed for 1 year from date of receipt.

Loading...
Loading...
Loading...
Loading...