Skip to main content

TC10 Antibody (10F7Y7)

Novus Biologicals, part of Bio-Techne | Catalog # NBP3-15915

Recombinant Monoclonal Antibody
Novus Biologicals, part of Bio-Techne
Catalog #
Availability
Size / Price
Qty
Loading...
NBP3-15915-100ul
NBP3-15915-20ul

Key Product Details

Species Reactivity

Human, Mouse, Rat

Applications

Immunohistochemistry, Immunohistochemistry-Paraffin, Western Blot

Label

Unconjugated

Antibody Source

Recombinant Monoclonal Rabbit IgG Clone # 10F7Y7 expressed in HEK293

Concentration

Please see the vial label for concentration. If unlisted please contact technical services.

Product Specifications

Immunogen

Recombinant fusion protein containing a sequence corresponding to amino acids 100-205 of human TC10 (P17081). KEEWVPELKEYAPNVPFLLIGTQIDLRDDPKTLARLNDMKEKPICVEQGQKLAKEIGACCYVECSALTQKGLKTVFDEAIIAILTPKKHTVKKRIGSRCINCCLIT

Clonality

Monoclonal

Host

Rabbit

Isotype

IgG

Description

Novus Biologicals Rabbit TC10 Antibody (10F7Y7) (NBP3-15915) is a recombinant monoclonal antibody validated for use in IHC and WB. All Novus Biologicals antibodies are covered by our 100% guarantee.

Scientific Data Images for TC10 Antibody (10F7Y7)

Western Blot: TC10 Antibody (10F7Y7) [NBP3-15915]

Western Blot: TC10 Antibody (10F7Y7) [NBP3-15915]

Western Blot: TC10 Antibody (10F7Y7) [NBP3-15915] - Western blot analysis of extracts of various cell lines, using TC10 Rabbit mAb (NBP3-15915) at 1:1000 dilution. Secondary antibody: HRP Goat Anti-Rabbit IgG (H+L) at 1:10000 dilution. Lysates/proteins: 25ug per lane. Blocking buffer: 3% nonfat dry milk in TBST. Detection: ECL Basic Kit. Exposure time: 3s.
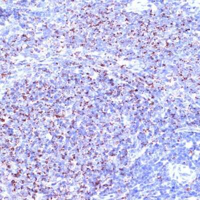
Immunohistochemistry-Paraffin: TC10 Antibody (10F7Y7) [NBP3-15915]

Immunohistochemistry-Paraffin: TC10 Antibody (10F7Y7) [NBP3-15915]

Immunohistochemistry-Paraffin: TC10 Antibody (10F7Y7) [NBP3-15915] - Immunohistochemistry of paraffin-embedded rat spleen using TC10 Rabbit mAb (NBP3-15915) at dilution of 1:100 (40x lens).Perform microwave antigen retrieval with 10 mM Tris/EDTA buffer pH 9.0 before commencing with IHC staining protocol.
Western Blot: TC10 Antibody (10F7Y7) [NBP3-15915]

Western Blot: TC10 Antibody (10F7Y7) [NBP3-15915]

Western Blot: TC10 Antibody (10F7Y7) [NBP3-15915] - Western blot analysis of extracts of Rat heart, using TC10 Rabbit mAb (NBP3-15915) at 1:1000 dilution. Secondary antibody: HRP Goat Anti-Rabbit IgG (H+L) at 1:10000 dilution. Lysates/proteins: 25ug per lane. Blocking buffer: 3% nonfat dry milk in TBST. Detection: ECL Basic Kit. Exposure time: 30s.

Applications for TC10 Antibody (10F7Y7)

Application
Recommended Usage

Immunohistochemistry

1:50 - 1:200

Immunohistochemistry-Paraffin

1:200 - 1:500

Western Blot

1:500 - 1:1000

Formulation, Preparation, and Storage

Purification

Affinity purified

Formulation

PBS (pH 7.3), 50% glycerol, 0.05% BSA

Preservative

0.02% Sodium Azide

Concentration

Please see the vial label for concentration. If unlisted please contact technical services.

Shipping

The product is shipped with polar packs. Upon receipt, store it immediately at the temperature recommended below.

Stability & Storage

Store at -20C. Avoid freeze-thaw cycles.

Background: TC10

TC10 is a member of the Rho family of GTP-binding proteins and is closely related to Cdc42 and Rac 1. Cycling between inactive and active GTP-bound state, active TC10 can directly interact with Cdc42 kinase, p21-activated protein kinases as well as other kinases (1). Constitutive expression of active TC10 mutants (TC10/Q75L) in fibroblast decrease actin stress fiber and formation of plasma membrane microspikes, while wild type TC10 has no effect on fibroblast cell morphology (2). Mostly expressed in adipose and muscle tissues, TC10 has been found to be activated by C3G (from the insulin pathway) in adipocytes (3).

Alternate Names

ARHQTC10A, ras homolog gene family, member Q, Ras-like protein family member 7A, Ras-like protein TC10, RAS-like, family 7, member A, rho-related GTP-binding protein RhoQ, TC10RASL7A

Gene Symbol

RHOQ

Additional TC10 Products

Product Documents for TC10 Antibody (10F7Y7)

Certificate of Analysis

To download a Certificate of Analysis, please enter a lot number in the search box below.

Product Specific Notices for TC10 Antibody (10F7Y7)

This product is for research use only and is not approved for use in humans or in clinical diagnosis. Primary Antibodies are guaranteed for 1 year from date of receipt.

Loading...
Loading...
Loading...
Loading...