Skip to main content

TBCC Antibody - BSA Free

Novus Biologicals, part of Bio-Techne | Catalog # NBP2-38233

Novus Biologicals, part of Bio-Techne
Catalog #
Availability
Size / Price
Qty
Loading...
NBP2-38233
NBP2-38233-25ul

Key Product Details

Validated by

Independent Antibodies

Species Reactivity

Human

Applications

Immunohistochemistry, Immunohistochemistry-Paraffin, Western Blot

Label

Unconjugated

Antibody Source

Polyclonal Rabbit IgG

Format

BSA Free

Concentration

Concentrations vary lot to lot. See vial label for concentration. If unlisted please contact technical services.

Product Specifications

Immunogen

This antibody was developed against a recombinant protein corresponding to amino acids: MESVSCSAAAVRTGDMESQRDLSLVPERLQRREQERQLEVERRKQKRQNQEVEKENSHFFVATFVRERAAVEELLERAESVERL

Clonality

Polyclonal

Host

Rabbit

Isotype

IgG

Description

Novus Biologicals Rabbit TBCC Antibody - BSA Free (NBP2-38233) is a polyclonal antibody validated for use in IHC and WB. All Novus Biologicals antibodies are covered by our 100% guarantee.

Scientific Data Images for TBCC Antibody - BSA Free

Western Blot: TBCC Antibody [NBP2-38233]

Western Blot: TBCC Antibody [NBP2-38233]

Western Blot: TBCC Antibody [NBP2-38233] - Analysis using Anti-TBCC antibody NBP2-38233 (A) shows similar pattern to independent antibody NBP1-85679 (B).
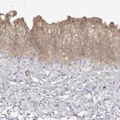
Immunohistochemistry-Paraffin: TBCC Antibody [NBP2-38233]

Immunohistochemistry-Paraffin: TBCC Antibody [NBP2-38233]

Immunohistochemistry-Paraffin: TBCC Antibody [NBP2-38233] - Staining of human urinary bladder shows moderate cytoplasmic positivity in urothelial cells.

Applications for TBCC Antibody - BSA Free

Application
Recommended Usage

Immunohistochemistry

1:200 - 1:500

Immunohistochemistry-Paraffin

1:200 - 1:500

Western Blot

0.04-0.4 ug/ml
Application Notes
For IHC-Paraffin, HIER pH 6 retrieval is recommended.

Formulation, Preparation, and Storage

Purification

Immunogen affinity purified

Formulation

PBS (pH 7.2) and 40% Glycerol

Format

BSA Free

Preservative

0.02% Sodium Azide

Concentration

Concentrations vary lot to lot. See vial label for concentration. If unlisted please contact technical services.

Shipping

The product is shipped with polar packs. Upon receipt, store it immediately at the temperature recommended below.

Stability & Storage

Store at 4C short term. Aliquot and store at -20C long term. Avoid freeze-thaw cycles.

Background: TBCC

Cofactor C is one of four proteins (cofactors A, D, E, and C) involved in the pathway leading to correctly folded beta-tubulin from folding intermediates. Cofactors A and D are believed to play a role in capturing and stabilizing beta-tubulin intermediates in a quasi-native confirmation. Cofactor E binds to the cofactor D/beta-tubulin complex; interaction with cofactor C then causes the release of beta-tubulin polypeptides that are committed to the native state.

Alternate Names

CFCtubulin-specific chaperone c, tubulin folding cofactor C, Tubulin-folding cofactor C

Gene Symbol

TBCC

UniProt

Additional TBCC Products

Product Documents for TBCC Antibody - BSA Free

Certificate of Analysis

To download a Certificate of Analysis, please enter a lot number in the search box below.

Product Specific Notices for TBCC Antibody - BSA Free

This product is for research use only and is not approved for use in humans or in clinical diagnosis. Primary Antibodies are guaranteed for 1 year from date of receipt.

Loading...
Loading...
Loading...
Loading...