Skip to main content

TBCC Antibody (OTI1B2) - Azide and BSA Free

Novus Biologicals, part of Bio-Techne | Catalog # NBP2-74465

Novus Biologicals, part of Bio-Techne

Key Product Details

Species Reactivity

Human, Mouse, Rat, Monkey

Applications

Western Blot

Label

Unconjugated

Antibody Source

Monoclonal Mouse IgG2A Clone # OTI1B2

Format

Azide and BSA Free

Concentration

LYOPH mg/ml

Product Specifications

Immunogen

Full length human recombinant protein of human TBCC(NP_003183) produced in HEK293T cell.

Clonality

Monoclonal

Host

Mouse

Isotype

IgG2A

Theoretical MW

39 kDa.
Disclaimer note: The observed molecular weight of the protein may vary from the listed predicted molecular weight due to post translational modifications, post translation cleavages, relative charges, and other experimental factors.

Description

Novus Biologicals Mouse TBCC Antibody (OTI1B2) - Azide and BSA Free (NBP2-46075) is a monoclonal antibody validated for use in WB. All Novus Biologicals antibodies are covered by our 100% guarantee.

Scientific Data Images for TBCC Antibody (OTI1B2) - Azide and BSA Free

Western Blot: TBCC Antibody (OTI1B2)Azide and BSA Free [NBP2-74465]

Western Blot: TBCC Antibody (OTI1B2)Azide and BSA Free [NBP2-74465]

Western Blot: TBCC Antibody (OTI1B2) - Azide and BSA Free [NBP2-74465] - Analysis of HEK293T cells were transfected with the pCMV6-ENTRY control (Left lane) or pCMV6-ENTRY TBCC.
Western Blot: TBCC Antibody (OTI1B2)Azide and BSA Free [NBP2-74465]

Western Blot: TBCC Antibody (OTI1B2)Azide and BSA Free [NBP2-74465]

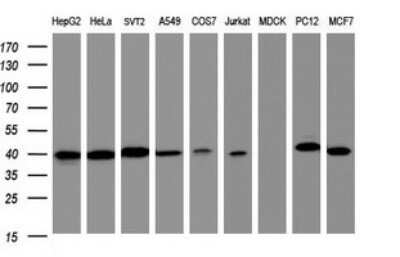
Western Blot: TBCC Antibody (OTI1B2) - Azide and BSA Free [NBP2-74465] - Analysis of extracts (35ug) from 9 different cell lines by using g TBCC monoclonal antibody (HepG2: human; HeLa: human; SVT2: mouse; A549: human; COS7: monkey; Jurkat: human; MDCK: canine; PC12: rat; MCF7: human).

Applications for TBCC Antibody (OTI1B2) - Azide and BSA Free

Application
Recommended Usage

Western Blot

1:2000-4000

Formulation, Preparation, and Storage

Purification

Immunogen affinity purified

Reconstitution

we recommend adding 100uL distilled water to a final antibody concentration of about 1 mg/mL. To use this carrier-free antibody for conjugation experiment, we strongly recommend performing another round of desalting process.

Formulation

Lyophilized from PBS (pH 7.3) with 8% Trehalose

Format

Azide and BSA Free

Preservative

No Preservative

Concentration

LYOPH mg/ml

Shipping

The product is shipped with polar packs. Upon receipt, store it immediately at the temperature recommended below.

Stability & Storage

Store at -20C. Avoid freeze-thaw cycles.

Background: TBCC

Cofactor C is one of four proteins (cofactors A, D, E, and C) involved in the pathway leading to correctly folded beta-tubulin from folding intermediates. Cofactors A and D are believed to play a role in capturing and stabilizing beta-tubulin intermediates in a quasi-native confirmation. Cofactor E binds to the cofactor D/beta-tubulin complex; interaction with cofactor C then causes the release of beta-tubulin polypeptides that are committed to the native state.

Alternate Names

CFCtubulin-specific chaperone c, tubulin folding cofactor C, Tubulin-folding cofactor C

Gene Symbol

TBCC

Additional TBCC Products

Product Documents for TBCC Antibody (OTI1B2) - Azide and BSA Free

Certificate of Analysis

To download a Certificate of Analysis, please enter a lot number in the search box below.

Product Specific Notices for TBCC Antibody (OTI1B2) - Azide and BSA Free

This product is for research use only and is not approved for use in humans or in clinical diagnosis. Primary Antibodies are guaranteed for 1 year from date of receipt.

Loading...
Loading...
Loading...
Loading...
Loading...