Skip to main content

TBC1D32 Antibody - BSA Free

Novus Biologicals, part of Bio-Techne | Catalog # NBP1-90777

Novus Biologicals, part of Bio-Techne
Catalog #
Availability
Size / Price
Qty
Loading...
NBP1-90777

Key Product Details

Species Reactivity

Human, Mouse

Applications

Immunohistochemistry, Immunohistochemistry-Paraffin, Western Blot, Immunocytochemistry/ Immunofluorescence

Label

Unconjugated

Antibody Source

Polyclonal Rabbit IgG

Format

BSA Free

Concentration

Concentrations vary lot to lot. See vial label for concentration. If unlisted please contact technical services.

Product Specifications

Immunogen

This antibody was developed against Recombinant Protein corresponding to amino acids: SVERNHVLVRINLVGGPLERILPPRLLEKSDNPYPWPMFSSYPLPNCYLSDITRNAGIKQDNDLDKLLLCLKISDKQTEWIENCQRQFCKMMKAKPDIISGEALIELLEKFVLHLTESPSECYFPSVEYTATDANVKNE

Reactivity Notes

Reactivity reported in mouse normal lung tissue section from a verified customer reveiw.

Clonality

Polyclonal

Host

Rabbit

Isotype

IgG

Description

Novus Biologicals Rabbit TBC1D32 Antibody - BSA Free (NBP1-90777) is a polyclonal antibody validated for use in IHC, WB and ICC/IF. All Novus Biologicals antibodies are covered by our 100% guarantee.

Scientific Data Images for TBC1D32 Antibody - BSA Free

Western Blot: TBC1D32 Antibody [NBP1-90777]

Western Blot: TBC1D32 Antibody [NBP1-90777]

Western Blot: TBC1D32 Antibody [NBP1-90777] - Analysis in human cell line HDLM-2.
Immunocytochemistry/ Immunofluorescence: TBC1D32 Antibody [NBP1-90777]

Immunocytochemistry/ Immunofluorescence: TBC1D32 Antibody [NBP1-90777]

Immunocytochemistry/Immunofluorescence: TBC1D32 Antibody [NBP1-90777] - Staining of human cell line U-251 MG shows localization to mitochondria. Antibody staining is shown in green.
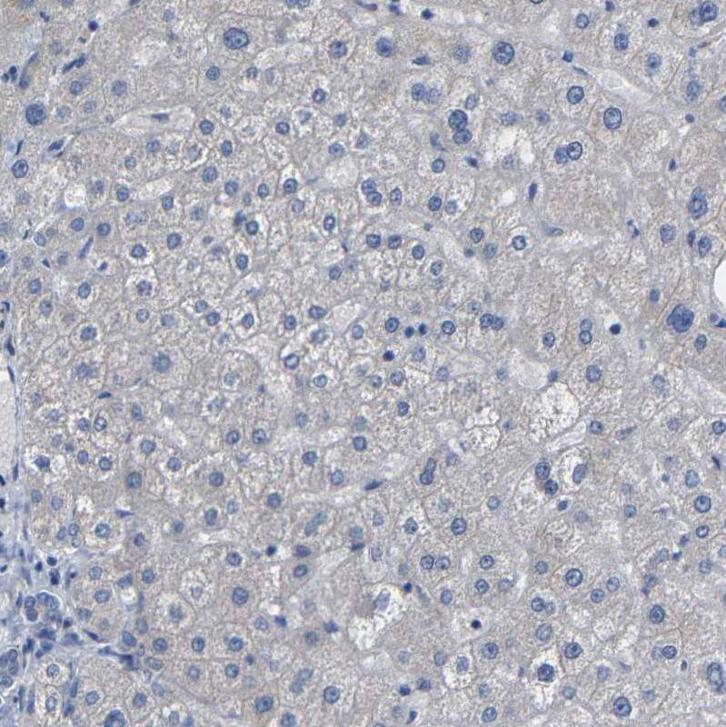
Immunohistochemistry-Paraffin: TBC1D32 Antibody [NBP1-90777]

Immunohistochemistry-Paraffin: TBC1D32 Antibody [NBP1-90777]

Immunohistochemistry-Paraffin: TBC1D32 Antibody [NBP1-90777] - Staining of human liver shows no positivity in hepatocytes as expected.

Applications for TBC1D32 Antibody - BSA Free

Application
Recommended Usage

Immunocytochemistry/ Immunofluorescence

0.25-2 ug/ml

Immunohistochemistry

1:20 - 1:50

Immunohistochemistry-Paraffin

1:20 - 1:50

Western Blot

0.04 - 0.4 ug/ml
Application Notes
For IHC-Paraffin, HIER pH 6 retrieval is recommended. ICC/IF Fixation Permeabilization: Use PFA/Triton X-100.

Reviewed Applications

Read 1 review rated 4 using NBP1-90777 in the following applications:

Formulation, Preparation, and Storage

Purification

Immunogen affinity purified

Formulation

PBS (pH 7.2) and 40% Glycerol

Format

BSA Free

Preservative

0.02% Sodium Azide

Concentration

Concentrations vary lot to lot. See vial label for concentration. If unlisted please contact technical services.

Shipping

The product is shipped with polar packs. Upon receipt, store it immediately at the temperature recommended below.

Stability & Storage

Store at 4C short term. Aliquot and store at -20C long term. Avoid freeze-thaw cycles.

Background: TBC1D32

Alternate Names

bA301B7.2, bA57L9.1, BROMI, C6orf170, C6orf171, chromosome 6 open reading frame 170, dJ310J6.1

Gene Symbol

C6orf170

Additional TBC1D32 Products

Product Documents for TBC1D32 Antibody - BSA Free

Certificate of Analysis

To download a Certificate of Analysis, please enter a lot number in the search box below.

Product Specific Notices for TBC1D32 Antibody - BSA Free

This product is for research use only and is not approved for use in humans or in clinical diagnosis. Primary Antibodies are guaranteed for 1 year from date of receipt.

Loading...
Loading...
Loading...
Loading...