Skip to main content

TBC1D1 Antibody - Azide and BSA Free

Novus Biologicals, part of Bio-Techne | Catalog # H00023216-B02P

Novus Biologicals, part of Bio-Techne
Catalog #
Availability
Size / Price
Qty
Loading...
H00023216-B02P

Key Product Details

Species Reactivity

Validated:

Human

Cited:

Human

Applications

Validated:

Western Blot, Immunocytochemistry/ Immunofluorescence

Cited:

Western Blot

Label

Unconjugated

Antibody Source

Polyclonal Mouse IgG

Format

Azide and BSA Free

Concentration

Concentrations vary lot to lot. See vial label for concentration. If unlisted please contact technical services.

Product Specifications

Immunogen

TBC1D1 (AAH50321.3, 1 a.a. - 1168 a.a.) full-length human protein. MEPITFTARKHLLSNEVSVDFGLQLVGSLPVHSLTTMPMLPWVVAEVRRLSRQSTRKEPVTKQVRLCVSPSGLRCEPEPGRSQQWDPLIYSSIFECKPQRVHKLIHNSHDPSYFACLIKEDAVHRQSICYVFKADDQTKVPEIISSIRQAGKIARQEELHCPSEFDDTFSKKFEVLFCGRVTVAHKKAPPALIDECIEKFNHVSGSRGSESPRPNPPHAAPTGSQEPVRRPMRKSFSQPGLRSLAFRKELQDGGLRSSGFFSSFEESDIENHLISGHNIVQPTDIEENRTMLFTIGQSEVYLISPDTKKIALEKNFKEISFCSQGIRHVDHFGFICRESSGGGGFHFVCYVFQCTNEALVDEIMMTLKQAFTVAAVQQTAKAPAQLCEGCPLQSLHKLCERIEGMNSSKTKLELQKHLTTLTNQEQATIFEEVQKLRPRNEQRENELIISFLRCLYEEKQKEHIHIGEMKQTSQMAAENIGSELPPSATRFRLDMLKNKAKRSLTESLESILSRGNKARGLQEHSISVDLDSSLSSTLSNTSKEPSVCEKEALPISESSFKLLGSSEDLSSDSESHLPEEPAPLSPQQAFRRRANTLSHFPIECQEPPQPARGSPGVSQRKLMRYHSVSTETPHERKDFESKANHLGDSGGTPVKTRRHSWRQQIFLRVATPQKACDSSSRYEDYSELGELPPRSPLEPVCEDGPFGPPPEEKKRTSRELRELWQKAILKQILLLRMEKENQKLQASENDLLNKRLKLDYEEITPCLKEVTTVWEKMLSTPGRSKIKFDMEKMHSAVGQGVPRHHRGEIWKFLAEQFHLKHQFPSKQQPKDVPYKELLKQLTSQQHAILIDLGRTFPTHPYFSAQLGAGQLSLYNILKAYSLLDQEVGYCQGLSFVAGILLLHMSEEEAFKMLKFLMFDMGLRKQYRPDMIILQIQMYQLSRLLHDYHRDLYNHLEEHEIGPSLYAAPWFLTMFASQFPLGFVARVFDMIFLQGTEVIFKVALSLLGSHKPLILQHENLETIVDFIKSTLPNLGLVQMEKTINQVFEMDIAKQLQAYEVEYHVLQEELIDSSPLSDNQRMDKLEKTNSSLRKQNLDLLEQLQVANGRIQSLEATIEKLLSSESKLKQAMLTLELERSALLQTVEELRRRSAEPSDREPECTQPEPTGD

Clonality

Polyclonal

Host

Mouse

Isotype

IgG

Scientific Data Images for TBC1D1 Antibody - Azide and BSA Free

Western Blot: TBC1D1 Antibody [H00023216-B02P]

Western Blot: TBC1D1 Antibody [H00023216-B02P]

Western Blot: TBC1D1 Antibody [H00023216-B02P] - Analysis of TBC1D1 expression in transfected 293T cell line by TBC1D1 polyclonal antibody. Lane 1: TBC1D1 transfected lysate(128.48 KDa). Lane 2: Non-transfected lysate.
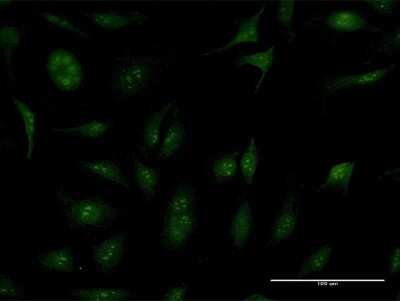
Immunocytochemistry/ Immunofluorescence: TBC1D1 Antibody [H00023216-B02P]

Immunocytochemistry/ Immunofluorescence: TBC1D1 Antibody [H00023216-B02P]

Immunocytochemistry/Immunofluorescence: TBC1D1 Antibody [H00023216-B02P] - Analysis of purified antibody to TBC1D1 on HeLa cell. (antibody concentration 10 ug/ml)
TBC1D1 Antibody - Azide and BSA Free

Western Blot: TBC1D1 Antibody - Azide and BSA Free [H00023216-B02P] -

Gene (A) and protein expression (B) of AS160/TBC1D4 and its structural homolog TBC1D1 in adipocytes differentiated from ADMSCs derived from SAT and VAT of lean and morbidly obese women. Values are expressed in arbitrary units; the mean in adipocytes differentiated from the subADMSCs’ lean control was set at 1 or 100, respectively. (C) Representative Western Blot images are shown. (D) Measurement of 3H-palmitate uptake in fully differentiated adipocytes from subADMSCs and visADMSCs of lean and morbidly obese women. Values are expressed in DPM per mg of protein. a–difference vs. Lean group in the studied tissue; b–difference vs. Obese(-) group in the studied tissue; c–difference between adipocytes differentiated from visADMSCs vs. subADMSCs within the patient metabolic status. Data are presented as mean +/- SD (n = 4 for each study group, measurements taken in duplicate for LCFA uptake and n = 3 for WB analysis). p < 0.05. Designation of the groups: Obese(-)–obese without metabolic syndrome patients; Obese(+)–obese with metabolic syndrome patients. Image collected and cropped by CiteAb from the following open publication (https://pubmed.ncbi.nlm.nih.gov/35563741), licensed under a CC-BY license. Not internally tested by Novus Biologicals.

Applications for TBC1D1 Antibody - Azide and BSA Free

Application
Recommended Usage

Immunocytochemistry/ Immunofluorescence

Optimal dilutions of this antibody should be experimentally determined.

Western Blot

Optimal dilutions of this antibody should be experimentally determined.
Application Notes
This antibody is useful for Western Blot

Formulation, Preparation, and Storage

Purification

Protein G purified

Formulation

PBS (pH 7.4)

Format

Azide and BSA Free

Preservative

No Preservative

Concentration

Concentrations vary lot to lot. See vial label for concentration. If unlisted please contact technical services.

Shipping

The product is shipped with polar packs. Upon receipt, store it immediately at the temperature recommended below.

Stability & Storage

Aliquot and store at -20C or -80C. Avoid freeze-thaw cycles.

Background: TBC1D1

TBC1D1 is the founding member of a family of proteins sharing a 180- to 200-amino acid TBC domain and presumed to have a role in regulating cell growth and differentiation. These proteins share significant homology with TRE2/USP6, yeast Bub2, and CDC16. TBC1D1 and TBC1D4 (AS160) have been demonstrated to be Rab GAPs (GTPase-activating proteins) that link upstream to Akt and phosphoinositide 3-kinase and downstream to Rabs involved in trafficking of GLUT4 vesicles. TBC1D1 regulates insulin-mediated GLUT4 translocation through its GAP activity, and is a likely Akt substrate. Mutations in the Tbc1d1 gene lead to some cases of severe human obesity.

Alternate Names

KIAA1108TBC, TBC1, TBC1 (tre-2/USP6, BUB2, cdc16) domain family, member 1, TBC1 domain family member 1

Gene Symbol

TBC1D1

Additional TBC1D1 Products

Product Documents for TBC1D1 Antibody - Azide and BSA Free

Certificate of Analysis

To download a Certificate of Analysis, please enter a lot number in the search box below.

Product Specific Notices for TBC1D1 Antibody - Azide and BSA Free

This product is produced by and distributed for Abnova, a company based in Taiwan.

This product is for research use only and is not approved for use in humans or in clinical diagnosis. Primary Antibodies are guaranteed for 1 year from date of receipt.

Loading...
Loading...
Loading...
Loading...