Skip to main content

TAZ/WWTR1 Antibody (CL0371) - Azide and BSA Free

Novus Biologicals, part of Bio-Techne | Catalog # NBP3-43993

Novus Biologicals, part of Bio-Techne
Catalog #
Availability
Size / Price
Qty
Loading...
NBP3-43993

Key Product Details

Validated by

Knockout/Knockdown, Orthogonal Validation

Species Reactivity

Human

Applications

Immunohistochemistry-Paraffin, Western Blot, Immunocytochemistry/ Immunofluorescence

Label

Unconjugated

Antibody Source

Monoclonal Mouse IgG1 Clone # CL0371

Format

Azide and BSA Free

Concentration

LYOPH mg/ml

Product Specifications

Immunogen

This antibody was generated using a recombinant protein sequence of Q9GZV5, with the exact immunogen sequence remaining proprietary.

Clonality

Monoclonal

Host

Mouse

Isotype

IgG1

Description

Novus Biologicals Mouse TAZ/WWTR1 Antibody (CL0371) - Azide and BSA Free (NBP2-52926) is a monoclonal antibody validated for use in IHC, WB and ICC/IF. All Novus Biologicals antibodies are covered by our 100% guarantee.

Scientific Data Images for TAZ/WWTR1 Antibody (CL0371) - Azide and BSA Free

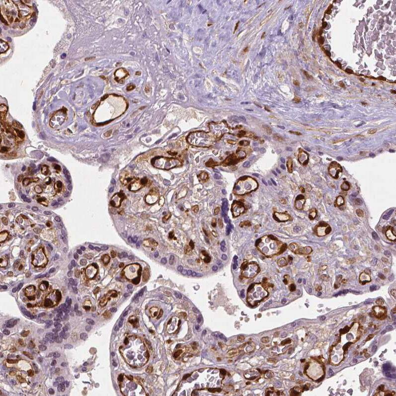
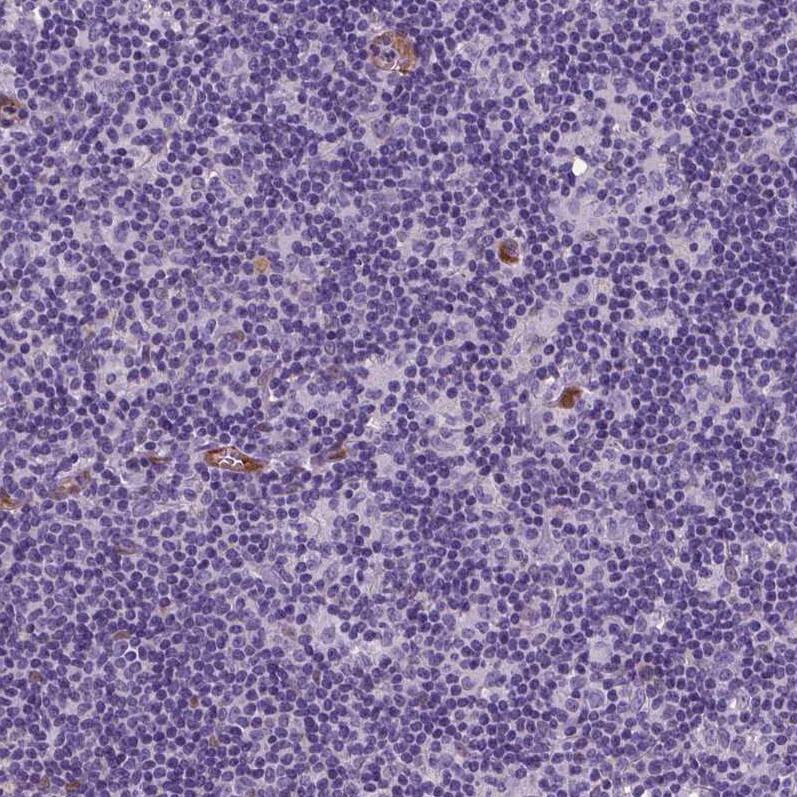
TAZ/WWTR1 Antibody (CL0371) - Azide and BSA Free Immunohistochemistry-Paraffin: TAZ/WWTR1 Antibody [NBP3-43993]

Immunohistochemistry-Paraffin: TAZ/WWTR1 Antibody [NBP3-43993]

Analysis in human placenta and lymph node tissues using NBP3-43993 antibody. Corresponding TAZ/WWTR1 RNA-seq data are presented for the same tissues.
TAZ/WWTR1 Antibody (CL0371) - Azide and BSA Free Western Blot: TAZ/WWTR1 Antibody [NBP3-43993]

Western Blot: TAZ/WWTR1 Antibody [NBP3-43993]

Lane 1: Marker [kDa]
Lane 2: Human cell line U-251 MG
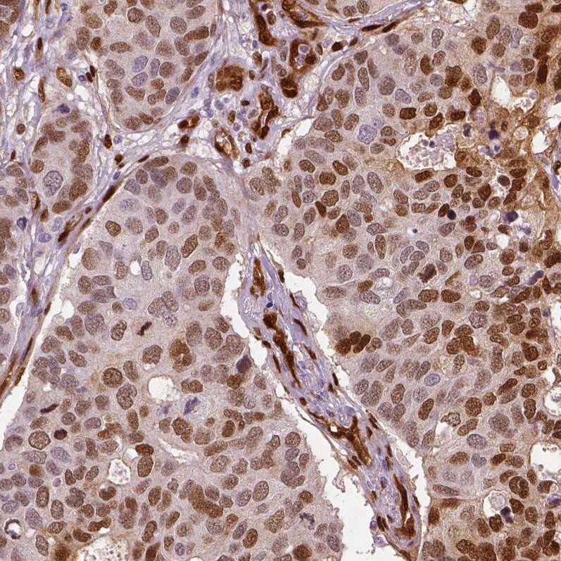
TAZ/WWTR1 Antibody (CL0371) - Azide and BSA Free Immunohistochemistry-Paraffin: TAZ/WWTR1 Antibody [NBP3-43993]

Immunohistochemistry-Paraffin: TAZ/WWTR1 Antibody [NBP3-43993]

Staining of human breast cancer shows moderate to strong nuclear positivity in tumor cells.

Applications for TAZ/WWTR1 Antibody (CL0371) - Azide and BSA Free

Application
Recommended Usage

Immunocytochemistry/ Immunofluorescence

2-10 ug/ml

Immunohistochemistry-Paraffin

1:50 - 1:200

Western Blot

1 ug/ml
Application Notes
For IHC-Paraffin, HIER pH 6 retrieval is recommended. Immunocytochemistry/ Immunofluorescence/IF Fixation Permeabilization: Use PFA/Triton X-100.

Formulation, Preparation, and Storage

Purification

Protein A purified

Reconstitution

Centrifuge the vial of lyophilized antibody at 12,000 x g for 20 seconds. Reconstitute by adding sterile, distilled water to achieve a final antibody concentration of 1mg/ml.

Formulation

Lyophilized from a 0.2 um filtered solution in PBS with Trehalose

Format

Azide and BSA Free

Preservative

No Preservative

Concentration

LYOPH mg/ml

Shipping

The product is shipped at ambient temperature. Upon receipt, store it immediately at the temperature recommended below.

Stability & Storage

Store at 4C short term. Aliquot and store at -20C long term. Avoid freeze-thaw cycles.

Background: TAZ/WWTR1

TAZ is a YAP-related protein that contains a WW domain and transcriptional activation region. TAZ plays a role in mesenchymal stem cell differentiation. The antibody was designed in such a way that should generate a TAZ specific-reagent able to differentiate between YAP and TAZ proteins in cells and tissues.

Long Name

Transcriptional Coactivator with PDZ-binding Motif

Alternate Names

WWTR1

Gene Symbol

WWTR1

Additional TAZ/WWTR1 Products

Product Documents for TAZ/WWTR1 Antibody (CL0371) - Azide and BSA Free

Certificate of Analysis

To download a Certificate of Analysis, please enter a lot number in the search box below.

Product Specific Notices for TAZ/WWTR1 Antibody (CL0371) - Azide and BSA Free

This product is for research use only and is not approved for use in humans or in clinical diagnosis. Primary Antibodies are guaranteed for 1 year from date of receipt.

Loading...
Loading...
Loading...
Loading...
Loading...
Loading...