Skip to main content

TAX1BP1 Antibody - Azide and BSA Free

Novus Biologicals, part of Bio-Techne | Catalog # NBP3-05150

Novus Biologicals, part of Bio-Techne
Catalog #
Availability
Size / Price
Qty
Loading...
NBP3-05150-100ul
NBP3-05150-20ul

Key Product Details

Species Reactivity

Human, Rat

Applications

Immunohistochemistry, Immunohistochemistry-Paraffin

Label

Unconjugated

Antibody Source

Polyclonal Rabbit IgG

Format

Azide and BSA Free

Concentration

Please see the vial label for concentration. If unlisted please contact technical services.

Product Specifications

Immunogen

Recombinant fusion protein containing a sequence corresponding to amino acids 709-789 of human TAX1BP1 (NP_006015.4). QHLRGHGTGFCFDSSFDVHKKCPLCELMFPPNYDQSKFEEHVESHWKVCPMCSEQFPPDYDQQVFERHVQTHFDQNVLNFD

Clonality

Polyclonal

Host

Rabbit

Isotype

IgG

Description

Novus Biologicals Rabbit TAX1BP1 Antibody - Azide and BSA Free (NBP3-05150) is a polyclonal antibody validated for use in IHC. All Novus Biologicals antibodies are covered by our 100% guarantee.

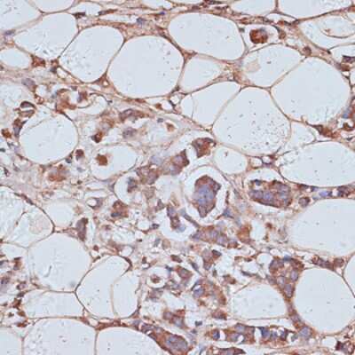
Scientific Data Images for TAX1BP1 Antibody - Azide and BSA Free

Immunohistochemistry-Paraffin: TAX1BP1 Antibody - Azide and BSA Free [NBP3-05150]

Immunohistochemistry-Paraffin: TAX1BP1 Antibody - Azide and BSA Free [NBP3-05150]

Immunohistochemistry-Paraffin: TAX1BP1 Antibody [NBP3-05150] - Paraffin-embedded human lung cancer using TAx1BP1 antibody at dilution of 1:100 (40x lens).
Immunohistochemistry-Paraffin: TAX1BP1 Antibody - Azide and BSA Free [NBP3-05150]

Immunohistochemistry-Paraffin: TAX1BP1 Antibody - Azide and BSA Free [NBP3-05150]

Immunohistochemistry-Paraffin: TAX1BP1 Antibody [NBP3-05150] - Paraffin-embedded human breast cancer using TAx1BP1 antibody at dilution of 1:100 (40x lens).

Applications for TAX1BP1 Antibody - Azide and BSA Free

Application
Recommended Usage

Immunohistochemistry

1:50-1:200

Formulation, Preparation, and Storage

Purification

Affinity purified

Formulation

PBS (pH 7.3), 50% glycerol

Format

Azide and BSA Free

Preservative

0.01% Thimerosal

Concentration

Please see the vial label for concentration. If unlisted please contact technical services.

Shipping

The product is shipped with polar packs. Upon receipt, store it immediately at the temperature recommended below.

Stability & Storage

Store at -20C. Avoid freeze-thaw cycles.

Background: TAX1BP1

The HTLV-1 Tax protein transcriptionally activates the HTLV-1 promoter. Tax also binds to and stimulates the expression of cellular genes, including transcription factors and other proteins (Gachon et al., 1998 (PubMed 9733879)).(supplied by OMIM)

Alternate Names

T6BP, Tax1 (human T-cell leukemia virus type I) binding protein 1, tax1-binding protein 1, TRAF6-binding protein, TXBP151CALCOCO3

Gene Symbol

TAX1BP1

Additional TAX1BP1 Products

Product Documents for TAX1BP1 Antibody - Azide and BSA Free

Certificate of Analysis

To download a Certificate of Analysis, please enter a lot number in the search box below.

Product Specific Notices for TAX1BP1 Antibody - Azide and BSA Free

This product is for research use only and is not approved for use in humans or in clinical diagnosis. Primary Antibodies are guaranteed for 1 year from date of receipt.

Loading...
Loading...
Loading...
Loading...

⚠ WARNING: This product can expose you to chemicals including Methotrexate, which is known to the State of California to cause reproductive toxicity with developmental effects. For more information, go to www.P65Warnings.ca.gov