Skip to main content

TAPBPR Antibody (OTI4H5) - Azide and BSA Free

Novus Biologicals, part of Bio-Techne | Catalog # NBP2-74443

Novus Biologicals, part of Bio-Techne

Key Product Details

Species Reactivity

Human, Monkey

Applications

Immunohistochemistry, Immunohistochemistry-Paraffin, Western Blot, Immunocytochemistry/ Immunofluorescence

Label

Unconjugated

Antibody Source

Monoclonal Mouse IgG1 Clone # OTI4H5

Format

Azide and BSA Free

Concentration

LYOPH mg/ml

Product Specifications

Immunogen

Full length human recombinant protein of human TAPBPR (NP_060479) produced in HEK293T cell.

Clonality

Monoclonal

Host

Mouse

Isotype

IgG1

Theoretical MW

50 kDa.
Disclaimer note: The observed molecular weight of the protein may vary from the listed predicted molecular weight due to post translational modifications, post translation cleavages, relative charges, and other experimental factors.

Description

Novus Biologicals Mouse TAPBPR Antibody (OTI4H5) - Azide and BSA Free (NBP2-46066) is a monoclonal antibody validated for use in IHC, WB and ICC/IF. All Novus Biologicals antibodies are covered by our 100% guarantee.

Scientific Data Images for TAPBPR Antibody (OTI4H5) - Azide and BSA Free

Western Blot: TAPBPR Antibody (OTI4H5)Azide and BSA Free [NBP2-74443]

Western Blot: TAPBPR Antibody (OTI4H5)Azide and BSA Free [NBP2-74443]

Western Blot: Tapasin Related Protein Antibody (OTI4H5) - Azide and BSA Free [NBP2-74443] - Analysis of HEK293T cells were transfected with the pCMV6-ENTRY control (Left lane) or pCMV6-ENTRY Tapasin Related Protein.
Immunocytochemistry/ Immunofluorescence: TAPBPR Antibody (OTI4H5) - Azide and BSA Free [NBP2-74443]

Immunocytochemistry/ Immunofluorescence: TAPBPR Antibody (OTI4H5) - Azide and BSA Free [NBP2-74443]

Immunocytochemistry/Immunofluorescence: Tapasin Related Protein Antibody (OTI4H5) - Azide and BSA Free [NBP2-74443] - Analysis of COS7 cells transiently transfected by pCMV6-ENTRY Tapasin Related Protein.
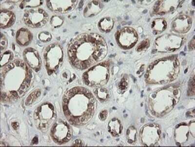
Immunohistochemistry: TAPBPR Antibody (OTI4H5) - Azide and BSA Free [NBP2-74443]

Immunohistochemistry: TAPBPR Antibody (OTI4H5) - Azide and BSA Free [NBP2-74443]

Immunohistochemistry: Tapasin Related Protein Antibody (OTI4H5) - Azide and BSA Free [NBP2-74443] - Analysis of Human liver tissue. (Heat-induced epitope retrieval by 10mM citric buffer, pH6.0, 120C for 3min)

Applications for TAPBPR Antibody (OTI4H5) - Azide and BSA Free

Application
Recommended Usage

Immunocytochemistry/ Immunofluorescence

1:100

Immunohistochemistry

1:150

Western Blot

1:200-2000

Formulation, Preparation, and Storage

Purification

Immunogen affinity purified

Reconstitution

we recommend adding 100uL distilled water to a final antibody concentration of about 1 mg/mL. To use this carrier-free antibody for conjugation experiment, we strongly recommend performing another round of desalting process.

Formulation

Lyophilized from PBS (pH 7.3) with 8% Trehalose

Format

Azide and BSA Free

Preservative

No Preservative

Concentration

LYOPH mg/ml

Shipping

The product is shipped with polar packs. Upon receipt, store it immediately at the temperature recommended below.

Stability & Storage

Store at -20C. Avoid freeze-thaw cycles.

Background: TAPBPR

Tapasin Related Protein encodes a transmembrane glycoprotein which mediates interaction between newly assembled major histocompatibility complex (MHC) class I molecules and the transporter associated with antigen processing (TAP), which is required for the transport of antigenic peptides across the endoplasmic reticulum membrane. This interaction is essential for optimal peptide loading on the MHC class I molecule. Up to four complexes of MHC class I and this protein may be bound to a single TAP molecule. This protein contains a C-terminal double-lysine motif (KKKAE) known to maintain membrane proteins in the endoplasmic reticulum. This gene lies within the major histocompatibility complex on chromosome 6. Alternative splicing results in three transcript variants encoding different isoforms.

Long Name

Tapasin Related Protein

Alternate Names

Tapasin-like, TAPBPL, TAPBPR

Gene Symbol

TAPBPL

Additional TAPBPR Products

Product Documents for TAPBPR Antibody (OTI4H5) - Azide and BSA Free

Certificate of Analysis

To download a Certificate of Analysis, please enter a lot number in the search box below.

Product Specific Notices for TAPBPR Antibody (OTI4H5) - Azide and BSA Free

This product is for research use only and is not approved for use in humans or in clinical diagnosis. Primary Antibodies are guaranteed for 1 year from date of receipt.

Loading...
Loading...
Loading...
Loading...
Loading...