Skip to main content

Tankyrase 1 Antibody - BSA Free

Novus Biologicals, part of Bio-Techne | Catalog # NBP2-20559

Novus Biologicals, part of Bio-Techne
Catalog #
Availability
Size / Price
Qty
Loading...
NBP2-20559

Key Product Details

Species Reactivity

Validated:

Human, Monkey

Predicted:

Bovine (99%), Chicken (93%), Mouse (97%), Rat (97%), Rhesus Macaque (100%), Xenopus (92%). Backed by our 100% Guarantee.

Applications

Immunohistochemistry, Immunohistochemistry-Paraffin, Western Blot, Immunocytochemistry/ Immunofluorescence

Label

Unconjugated

Antibody Source

Polyclonal Rabbit IgG

Format

BSA Free

Concentration

Concentrations vary lot to lot. See vial label for concentration. If unlisted please contact technical services.

Product Specifications

Immunogen

Recombinant protein encompassing a sequence within the N-terminus region of human Tankyrase 1. The exact sequence is proprietary.

Reactivity Notes

Xenopus laevis (92%), Monkey (100%).

Localization

Cytoplasm; Golgi apparatus membrane; Peripheral membrane protein; Nucleus; nuclear pore complex; Telomere (Potential)

Clonality

Polyclonal

Host

Rabbit

Isotype

IgG

Theoretical MW

142 kDa.
Disclaimer note: The observed molecular weight of the protein may vary from the listed predicted molecular weight due to post translational modifications, post translation cleavages, relative charges, and other experimental factors.

Description

Novus Biologicals Rabbit Tankyrase 1 Antibody - BSA Free (NBP2-20559) is a polyclonal antibody validated for use in IHC, WB and ICC/IF. All Novus Biologicals antibodies are covered by our 100% guarantee.

Scientific Data Images for Tankyrase 1 Antibody - BSA Free

Western Blot: Tankyrase 1 Antibody [NBP2-20559]

Western Blot: Tankyrase 1 Antibody [NBP2-20559]

Western Blot: Tankyrase Antibody [NBP2-20559] - Sample (30 ug of whole cell lysate) A: U87-MG 5% SDS PAGE gel, diluted at 1:1000.
Immunocytochemistry/ Immunofluorescence: Tankyrase 1 Antibody [NBP2-20559]

Immunocytochemistry/ Immunofluorescence: Tankyrase 1 Antibody [NBP2-20559]

Immunocytochemistry/Immunofluorescence: Tankyrase Antibody [NBP2-20559] - Analysis of paraformaldehyde-fixed MCF-7, using antibody at 1:200 dilution.
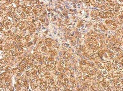
Immunohistochemistry-Paraffin: Tankyrase 1 Antibody [NBP2-20559]

Immunohistochemistry-Paraffin: Tankyrase 1 Antibody [NBP2-20559]

Immunohistochemistry-Paraffin: Tankyrase 1 Antibody [NBP2-20559] - Human hepatoma. Tankyrase antibody dilution: 1:500. Antigen Retrieval: Trilogy™ (EDTA based, pH 8.0) buffer, 15min.

Applications for Tankyrase 1 Antibody - BSA Free

Application
Recommended Usage

Immunocytochemistry/ Immunofluorescence

1:100-1:1000

Immunohistochemistry

1:100-1:1000

Immunohistochemistry-Paraffin

1:100-1:1000

Western Blot

1:500-1:3000

Formulation, Preparation, and Storage

Purification

Antigen Affinity-purified

Formulation

0.1M Tris, 0.1M Glycine, 20% Glycerol

Format

BSA Free

Preservative

0.01% Thimerosal

Concentration

Concentrations vary lot to lot. See vial label for concentration. If unlisted please contact technical services.

Shipping

The product is shipped with polar packs. Upon receipt, store it immediately at the temperature recommended below.

Stability & Storage

Aliquot and store at -20C or -80C. Avoid freeze-thaw cycles.

Background: Tankyrase 1

May regulate vesicle trafficking and modulate the subcellular distribution of SLC2A4/GLUT4-vesicles. Has PARP activity and can modify TERF1, and thereby contribute to the regulation of telomere length.

Long Name

TRF1-interacting Ankyrin-related ADP-ribose Polymerase

Alternate Names

PARP5A, PARPL, pART5, TANK1, TINF1, TNKS

Gene Symbol

TNKS

UniProt

Additional Tankyrase 1 Products

Product Documents for Tankyrase 1 Antibody - BSA Free

Certificate of Analysis

To download a Certificate of Analysis, please enter a lot number in the search box below.

Product Specific Notices for Tankyrase 1 Antibody - BSA Free

This product is for research use only and is not approved for use in humans or in clinical diagnosis. Primary Antibodies are guaranteed for 1 year from date of receipt.

Loading...
Loading...
Loading...
Loading...

⚠ WARNING: This product can expose you to chemicals including mercury, which is known to the State of California to cause reproductive toxicity with developmental effects.  For more information go to www.P65Warnings.ca.gov.