Skip to main content

TAK1 Antibody - BSA Free

Novus Biologicals, part of Bio-Techne | Catalog # NBP1-87819

Novus Biologicals, part of Bio-Techne
Catalog #
Availability
Size / Price
Qty
Loading...
NBP1-87819
NBP1-87819-25ul

Key Product Details

Species Reactivity

Validated:

Human

Cited:

Rat

Predicted:

Mouse (100%), Rat (99%). Backed by our 100% Guarantee.

Applications

Validated:

Immunohistochemistry, Immunohistochemistry-Paraffin, Chromatin Immunoprecipitation Sequencing

Cited:

IF/IHC

Label

Unconjugated

Antibody Source

Polyclonal Rabbit IgG

Format

BSA Free

Concentration

Concentrations vary lot to lot. See vial label for concentration. If unlisted please contact technical services.

Product Specifications

Immunogen

This antibody was developed against Recombinant Protein corresponding to amino acids: NLPKPIESLMTRCWSKDPSQRPSMEEIVKIMTHLMRYFPGADEPLQYPCQYSDEGQSNSATSTGSFMDIASTNTSNKSDTNMEQVPATNDTIKRLESKLLKNQAKQQSESGRLS

Clonality

Polyclonal

Host

Rabbit

Isotype

IgG

Description

Novus Biologicals Rabbit TAK1 Antibody - BSA Free (NBP1-87819) is a polyclonal antibody validated for use in IHC and ChIP. Anti-TAK1 Antibody: Cited in 1 publication. All Novus Biologicals antibodies are covered by our 100% guarantee.

Scientific Data Images for TAK1 Antibody - BSA Free

TAK1 Antibody - BSA Free

TAK1 Antibody [NBP1-87819] -

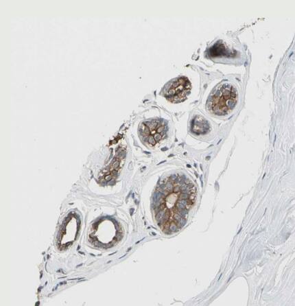
TAK1 Antibody [NBP1-87819] -Staining of human skin shows moderate cytoplasmic positivity in squamous epithelial cells.
TAK1 Antibody - BSA Free

TAK1 Antibody [NBP1-87819] -

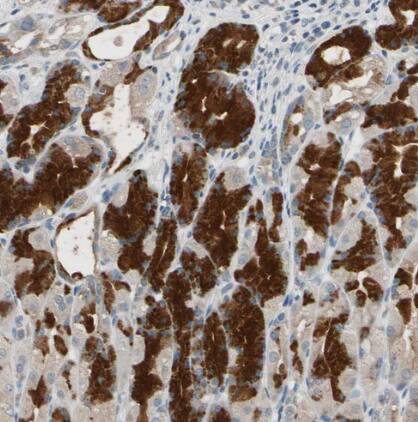
TAK1 Antibody [NBP1-87819] -Staining of human breast shows strong cytoplasmic positivity in glandular cells.
TAK1 Antibody - BSA Free

TAK1 Antibody [NBP1-87819] -

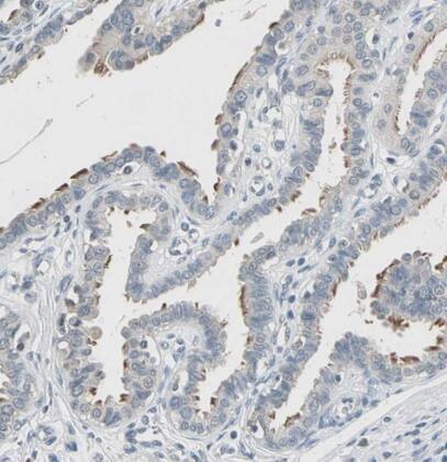
TAK1 Antibody [NBP1-87819] -Staining of human fallopian tube shows strong positivity in cilia in trophoblastic cells.

Applications for TAK1 Antibody - BSA Free

Application
Recommended Usage

Chromatin Immunoprecipitation Sequencing

1-10µg per reaction

Immunohistochemistry

1:200 - 1:500

Immunohistochemistry-Paraffin

1:200 - 1:500
Application Notes
For IHC-Paraffin, HIER pH 6 retrieval is recommended.

Formulation, Preparation, and Storage

Purification

Immunogen affinity purified

Formulation

PBS (pH 7.2) and 40% Glycerol

Format

BSA Free

Preservative

0.02% Sodium Azide

Concentration

Concentrations vary lot to lot. See vial label for concentration. If unlisted please contact technical services.

Shipping

The product is shipped with polar packs. Upon receipt, store it immediately at the temperature recommended below.

Stability & Storage

Store at 4C short term. Aliquot and store at -20C long term. Avoid freeze-thaw cycles.

Background: TAK1

TAK1 (or MAP3K7) was shown to participate in regulation of transcription by transforming growth factor beta (TGF beta). TAK1 is stimulated in response to TGF beta and bone morphogenetic protein. These results suggest that TAK1 functions as a mediator in the signaling pathway of TGF beta superfamily members. TAB1 and TAB2 are TAK1 binding proteins that may function as activators of the TAK1 (TGF b activated kinase 1) MAPKKK in TGF b signal transduction. TAB1 induced TAK1 activation promoted the dissociation of active forms of IKKa and IKK b from active TAK1, whereas the IKK mutants remained to interact with active TAK1. TNF a activated endogenous TAK1, and the kinase negative TAK1 acted as a dominant negative inhibitor against TNF a induced NFkB activation. TAK1 was suggested to act as a regulatory kinase of IKKs.

Long Name

TGF-beta activated kinase 1

Alternate Names

MAP3K7, TGF1a

Gene Symbol

MAP3K7

Additional TAK1 Products

Product Documents for TAK1 Antibody - BSA Free

Certificate of Analysis

To download a Certificate of Analysis, please enter a lot number in the search box below.

Product Specific Notices for TAK1 Antibody - BSA Free

This product is for research use only and is not approved for use in humans or in clinical diagnosis. Primary Antibodies are guaranteed for 1 year from date of receipt.

Loading...
Loading...
Loading...
Loading...