Skip to main content

TAK1 Antibody (JM73-19)

Novus Biologicals, part of Bio-Techne | Catalog # NBP2-67180

Recombinant Monoclonal Antibody.
Novus Biologicals, part of Bio-Techne
Catalog #
Availability
Size / Price
Qty
Loading...
NBP2-67180

Key Product Details

Species Reactivity

Human, Mouse

Applications

Flow Cytometry, Immunocytochemistry/ Immunofluorescence, Immunohistochemistry, Immunohistochemistry-Paraffin, Western Blot

Label

Unconjugated

Antibody Source

Recombinant Monoclonal Rabbit IgG Clone # JM73-19 expressed in HEK293

Concentration

1 mg/ml

Product Specifications

Immunogen

Synthetic peptide within C-terminal human TAK1. (SwissProt: O43318 Human; SwissProt: Q62073 Mouse)

Localization

Cell membrane. Cytoplasm.

Clonality

Monoclonal

Host

Rabbit

Isotype

IgG

Description

Novus Biologicals Rabbit TAK1 Antibody (JM73-19) (NBP2-67180) is a recombinant monoclonal antibody validated for use in IHC, WB, Flow and ICC/IF. All Novus Biologicals antibodies are covered by our 100% guarantee.

Scientific Data Images for TAK1 Antibody (JM73-19)

Western Blot: TAK1 Antibody (JM73-19) [NBP2-67180]

Western Blot: TAK1 Antibody (JM73-19) [NBP2-67180]

Western Blot: TAK1 Antibody (JM73-19) [NBP2-67180] - Western blot analysis of TAK1 on different lysates. Proteins were transferred to a PVDF membrane and blocked with 5% BSA in PBS for 1 hour at room temperature. The primary antibody (1/500) was used in 5% BSA at room temperature for 2 hours. Goat Anti-Rabbit IgG - HRP Secondary Antibody (HA1001) at 1:5,000 dilution was used for 1 hour at room temperature. Positive control: Lane 1: MCF-7 cell lysate Lane 2: A431 cell lysate
Immunocytochemistry/ Immunofluorescence: TAK1 Antibody (JM73-19) [NBP2-67180]

Immunocytochemistry/ Immunofluorescence: TAK1 Antibody (JM73-19) [NBP2-67180]

Immunocytochemistry/Immunofluorescence: TAK1 Antibody (JM73-19) [NBP2-67180] - Staining TAK1 in N2A cells (green). The nuclear counter stain is DAPI (blue). Cells were fixed in paraformaldehyde, permeabilised with 0.25% Triton X100/PBS.
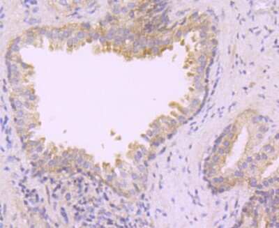
Immunohistochemistry-Paraffin: TAK1 Antibody (JM73-19) [NBP2-67180]

Immunohistochemistry-Paraffin: TAK1 Antibody (JM73-19) [NBP2-67180]

Immunohistochemistry-Paraffin: TAK1 Antibody (JM73-19) [NBP2-67180] - Analysis of paraffin-embedded mouse stomach tissue using anti-TAK1 antibody. Counter stained with hematoxylin.

Applications for TAK1 Antibody (JM73-19)

Application
Recommended Usage

Flow Cytometry

1:50-1:100

Immunocytochemistry/ Immunofluorescence

1:50-1:100

Immunohistochemistry-Paraffin

1:50-1:100

Western Blot

1:500-1:1000

Formulation, Preparation, and Storage

Purification

Protein A purified

Formulation

TBS (pH7.4), 0.05% BSA, 40% Glycerol

Preservative

0.05% Sodium Azide

Concentration

1 mg/ml

Shipping

The product is shipped with polar packs. Upon receipt, store it immediately at the temperature recommended below.

Stability & Storage

Store at 4C short term. Aliquot and store at -20C long term. Avoid freeze-thaw cycles.

Background: TAK1

TAK1 (or MAP3K7) was shown to participate in regulation of transcription by transforming growth factor beta (TGF beta). TAK1 is stimulated in response to TGF beta and bone morphogenetic protein. These results suggest that TAK1 functions as a mediator in the signaling pathway of TGF beta superfamily members. TAB1 and TAB2 are TAK1 binding proteins that may function as activators of the TAK1 (TGF b activated kinase 1) MAPKKK in TGF b signal transduction. TAB1 induced TAK1 activation promoted the dissociation of active forms of IKKa and IKK b from active TAK1, whereas the IKK mutants remained to interact with active TAK1. TNF a activated endogenous TAK1, and the kinase negative TAK1 acted as a dominant negative inhibitor against TNF a induced NFkB activation. TAK1 was suggested to act as a regulatory kinase of IKKs.

Long Name

TGF-beta activated kinase 1

Alternate Names

MAP3K7, TGF1a

Gene Symbol

MAP3K7

Additional TAK1 Products

Product Documents for TAK1 Antibody (JM73-19)

Certificate of Analysis

To download a Certificate of Analysis, please enter a lot number in the search box below.

Product Specific Notices for TAK1 Antibody (JM73-19)

This product is for research use only and is not approved for use in humans or in clinical diagnosis. Primary Antibodies are guaranteed for 1 year from date of receipt.

Loading...
Loading...
Loading...
Loading...
Loading...