TAF15 Antibody - BSA Free
Novus Biologicals, part of Bio-Techne | Catalog # NBP2-13410
Key Product Details
Validated by
Orthogonal Validation
Species Reactivity
Validated:
Human
Predicted:
Mouse (97%), Rat (94%). Backed by our 100% Guarantee.
Applications
Immunohistochemistry, Immunohistochemistry-Paraffin, Immunocytochemistry/ Immunofluorescence
Label
Unconjugated
Antibody Source
Polyclonal Rabbit IgG
Format
BSA Free
Concentration
Concentrations vary lot to lot. See vial label for concentration. If unlisted please contact technical services.
Product Specifications
Immunogen
This antibody was developed against a recombinant protein corresponding to the amino acids: DQQSGYDQHQGSYDEQSNYDQQHDSYSQNQQSYHSQRENYSHHTQDDRRDVSRYGEDNRGYGGSQGGG
Clonality
Polyclonal
Host
Rabbit
Isotype
IgG
Description
Novus Biologicals Rabbit TAF15 Antibody - BSA Free (NBP2-13410) is a polyclonal antibody validated for use in IHC and ICC/IF. All Novus Biologicals antibodies are covered by our 100% guarantee.
Scientific Data Images for TAF15 Antibody - BSA Free
Immunocytochemistry/ Immunofluorescence: TAF15 Antibody [NBP2-13410]
Immunocytochemistry/Immunofluorescence: TAF15 Antibody [NBP2-13410] - Staining of human cell line U-2 OS shows localization to nucleoplasm.Immunohistochemistry-Paraffin: TAF15 Antibody [NBP2-13410]
Immunohistochemistry-Paraffin: TAF15 Antibody [NBP2-13410] - Staining of human oral mucosa shows strong nuclear positivity in squamous epithelial cells.Immunohistochemistry-Paraffin: TAF15 Antibody [NBP2-13410]
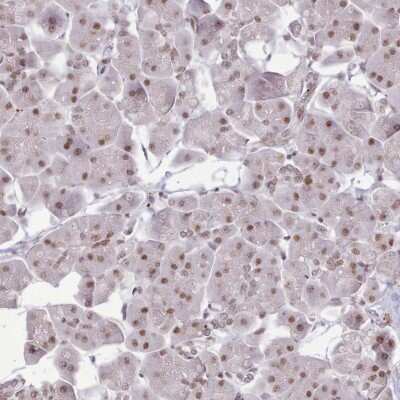
Immunohistochemistry-Paraffin: TAF15 Antibody [NBP2-13410] - Staining of human pancreas shows low expression as expected.Applications for TAF15 Antibody - BSA Free
Application
Recommended Usage
Immunocytochemistry/ Immunofluorescence
0.25-2 ug/ml
Immunohistochemistry
1:20 - 1:50
Immunohistochemistry-Paraffin
1:20 - 1:50
Application Notes
For IHC-Paraffin, HIER pH 6 retrieval is recommended. Immunocytochemistry/Immunofluorescence Fixation Permeabilization: Use PFA/Triton X-100.
Formulation, Preparation, and Storage
Purification
Affinity purified
Formulation
PBS (pH 7.2) and 40% Glycerol
Format
BSA Free
Preservative
0.02% Sodium Azide
Concentration
Concentrations vary lot to lot. See vial label for concentration. If unlisted please contact technical services.
Shipping
The product is shipped with polar packs. Upon receipt, store it immediately at the temperature recommended below.
Stability & Storage
Store at 4C short term. Aliquot and store at -20C long term. Avoid freeze-thaw cycles.
Background: TAF15
Alternate Names
68kDa, hTAFII68, Npl3, RBP56TAFII68, RNA-binding protein 56, TAF(II)68, TAF15 RNA polymerase II, TATA box binding protein (TBP)-associated factor, TAF2NRBP56/CSMF fusion, TATA box binding protein (TBP)-associated factor, RNA polymerase II, N, 68kD(RNA-binding protein 56), TATA box-binding protein-associated factor 2N (RNA-binding protein 56), TATA-binding protein-associated factor 2N, TBP-associated factor 15,68 kDa TATA-binding protein-associated factor
Gene Symbol
TAF15
Additional TAF15 Products
Product Documents for TAF15 Antibody - BSA Free
Product Specific Notices for TAF15 Antibody - BSA Free
This product is for research use only and is not approved for use in humans or in clinical diagnosis. Primary Antibodies are guaranteed for 1 year from date of receipt.
Loading...
Loading...
Loading...
Loading...