Skip to main content

TACI/TNFRSF13B/CVID Antibody - BSA Free

Novus Biologicals, part of Bio-Techne | Catalog # NBP1-84596

Novus Biologicals, part of Bio-Techne
Catalog #
Availability
Size / Price
Qty
Loading...
NBP1-84596
NBP1-84596-25ul

Key Product Details

Species Reactivity

Human

Applications

Immunohistochemistry, Immunohistochemistry-Paraffin, Western Blot

Label

Unconjugated

Antibody Source

Polyclonal Rabbit IgG

Format

BSA Free

Concentration

Concentrations vary lot to lot. See vial label for concentration. If unlisted please contact technical services.

Product Specifications

Immunogen

This antibody was developed against Recombinant Protein corresponding to amino acids: ACFLKKRGDPCSCQPRSRPRQSPAKSSQDHAMEAGSPVSTSPEPVETCSFCFPECRAPTQESAVTPGTPDPTCAGRWGCHTRTTVLQPCPHIPDSGLGIVCVPAQE

Clonality

Polyclonal

Host

Rabbit

Isotype

IgG

Description

Novus Biologicals Rabbit TACI/TNFRSF13B/CVID Antibody - BSA Free (NBP1-84596) is a polyclonal antibody validated for use in IHC and WB. All Novus Biologicals antibodies are covered by our 100% guarantee.

Scientific Data Images for TACI/TNFRSF13B/CVID Antibody - BSA Free

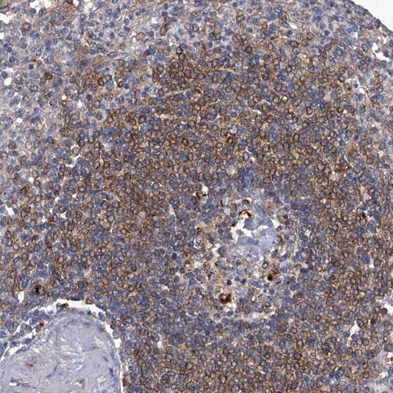
TACI/TNFRSF13B/CVID Antibody - BSA Free Immunohistochemistry-Paraffin: TACI/TNFRSF13B/CVID Antibody - BSA Free [NBP1-84596]

Immunohistochemistry-Paraffin: TACI/TNFRSF13B/CVID Antibody - BSA Free [NBP1-84596]

Staining of human lymph node shows moderate cytoplasmic positivity in germinal center cells.
TACI/TNFRSF13B/CVID Antibody - BSA Free Immunohistochemistry-Paraffin: TACI/TNFRSF13B/CVID Antibody - BSA Free [NBP1-84596]

Immunohistochemistry-Paraffin: TACI/TNFRSF13B/CVID Antibody - BSA Free [NBP1-84596]

Staining of human skeletal muscle shows moderate cytoplasmic positivity in myocytes.
TACI/TNFRSF13B/CVID Antibody - BSA Free Immunohistochemistry-Paraffin: TACI/TNFRSF13B/CVID Antibody - BSA Free [NBP1-84596]

Immunohistochemistry-Paraffin: TACI/TNFRSF13B/CVID Antibody - BSA Free [NBP1-84596]

Staining of human small intestine shows strong membranous and cytoplasmic positivity in glandular cells.

Applications for TACI/TNFRSF13B/CVID Antibody - BSA Free

Application
Recommended Usage

Immunohistochemistry

1:20 - 1:50

Immunohistochemistry-Paraffin

1:20 - 1:50

Western Blot

0.04-0.4 ug/ml
Application Notes
For IHC-Paraffin, HIER pH 6 retrieval is recommended.

Formulation, Preparation, and Storage

Purification

Immunogen affinity purified

Formulation

PBS (pH 7.2) and 40% Glycerol

Format

BSA Free

Preservative

0.02% Sodium Azide

Concentration

Concentrations vary lot to lot. See vial label for concentration. If unlisted please contact technical services.

Shipping

The product is shipped with polar packs. Upon receipt, store it immediately at the temperature recommended below.

Stability & Storage

Store at 4C short term. Aliquot and store at -20C long term. Avoid freeze-thaw cycles.

Background: TACI/TNFRSF13B

TACI is a lymphocyte specific member of the tumor necrosis factor (TNF) receptor superfamily. It interacts with calcium-modulator and cyclophilin ligand (CAML). The protein binds to both APRIL and BAFF and induces activation of the transcription factors NFAT (nuclear-factor of activated T cells), AP1, and NF kappa B and plays a crucial role in humoral immunity by interacting with a TNF ligand. This gene is located within the Smith Magenis syndrome region on chromosome 17.

Long Name

Transmembrane Activator and CAML Interactor/Tumor Necrosis Factor Receptor Superfamily Member 13B

Alternate Names

CD267, CVID, TNFRSF13B

Gene Symbol

TNFRSF13B

Additional TACI/TNFRSF13B Products

Product Documents for TACI/TNFRSF13B/CVID Antibody - BSA Free

Certificate of Analysis

To download a Certificate of Analysis, please enter a lot number in the search box below.

Product Specific Notices for TACI/TNFRSF13B/CVID Antibody - BSA Free

This product is for research use only and is not approved for use in humans or in clinical diagnosis. Primary Antibodies are guaranteed for 1 year from date of receipt.

Loading...
Loading...
Loading...
Loading...