Skip to main content

TACC1 Antibody (OTI1H2) - Azide and BSA Free

Novus Biologicals, part of Bio-Techne | Catalog # NBP2-74429

Novus Biologicals, part of Bio-Techne

Key Product Details

Species Reactivity

Human

Applications

Immunohistochemistry, Immunohistochemistry-Paraffin, Western Blot

Label

Unconjugated

Antibody Source

Monoclonal Mouse IgG1 Clone # OTI1H2

Format

Azide and BSA Free

Concentration

LYOPH mg/ml

Product Specifications

Immunogen

Full length human recombinant protein of human TACC1 (NP_001116296) produced in HEK293T cell.

Clonality

Monoclonal

Host

Mouse

Isotype

IgG1

Theoretical MW

43.8 kDa.
Disclaimer note: The observed molecular weight of the protein may vary from the listed predicted molecular weight due to post translational modifications, post translation cleavages, relative charges, and other experimental factors.

Description

Novus Biologicals Mouse TACC1 Antibody (OTI1H2) - Azide and BSA Free (NBP2-46057) is a monoclonal antibody validated for use in IHC and WB. All Novus Biologicals antibodies are covered by our 100% guarantee.

Scientific Data Images for TACC1 Antibody (OTI1H2) - Azide and BSA Free

Western Blot: TACC1 Antibody (OTI1H2)Azide and BSA Free [NBP2-74429]

Western Blot: TACC1 Antibody (OTI1H2)Azide and BSA Free [NBP2-74429]

Western Blot: TACC1 Antibody (OTI1H2) - Azide and BSA Free [NBP2-74429] - Analysis of HEK293T cells were transfected with the pCMV6-ENTRY control (Left lane) or pCMV6-ENTRY TACC1.
Immunohistochemistry: TACC1 Antibody (OTI1H2) - Azide and BSA Free [NBP2-74429]

Immunohistochemistry: TACC1 Antibody (OTI1H2) - Azide and BSA Free [NBP2-74429]

Immunohistochemistry: TACC1 Antibody (OTI1H2) - Azide and BSA Free [NBP2-74429] - Analysis of Carcinoma of Human kidney tissue. (Heat-induced epitope retrieval by 1 mM EDTA in 10mM Tris, pH8.5, 120C for 3min)
Immunohistochemistry: TACC1 Antibody (OTI1H2) - Azide and BSA Free [NBP2-74429]

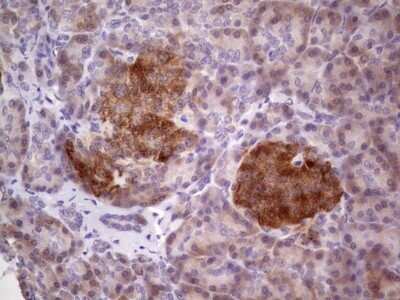
Immunohistochemistry: TACC1 Antibody (OTI1H2) - Azide and BSA Free [NBP2-74429]

Immunohistochemistry: TACC1 Antibody (OTI1H2) - Azide and BSA Free [NBP2-74429] - Analysis of Human pancreas tissue. (Heat-induced epitope retrieval by 1 mM EDTA in 10mM Tris, pH8.5, 120C for 3min)

Applications for TACC1 Antibody (OTI1H2) - Azide and BSA Free

Application
Recommended Usage

Immunohistochemistry

1:150

Western Blot

1:2000

Formulation, Preparation, and Storage

Purification

Immunogen affinity purified

Reconstitution

we recommend adding 100uL distilled water to a final antibody concentration of about 1 mg/mL. To use this carrier-free antibody for conjugation experiment, we strongly recommend performing another round of desalting process.

Formulation

Lyophilized from PBS (pH 7.3) with 8% Trehalose

Format

Azide and BSA Free

Preservative

No Preservative

Concentration

LYOPH mg/ml

Shipping

The product is shipped with polar packs. Upon receipt, store it immediately at the temperature recommended below.

Stability & Storage

Store at -20C. Avoid freeze-thaw cycles.

Background: TACC1

TACC1 is thought to be involved in the processes that promote cell division prior to the formation of differentiated tissues. It interacts with KIAA0097/CH-TOG and with the oncogenic transcription factor YEATS4, in addition to the Aurora kinases A and B (STK6 and AURKB) and LSM7, TDRD7 and SNRPG.

Alternate Names

DKFZp686K18126, FLJ42304, Ga55, Gastric cancer antigen Ga55, KIAA1103, taxin 1, Taxin-1, transforming acidic coiled-coil-containing protein 1, transforming, acidic coiled-coil containing protein 1

Gene Symbol

TACC1

Additional TACC1 Products

Product Documents for TACC1 Antibody (OTI1H2) - Azide and BSA Free

Certificate of Analysis

To download a Certificate of Analysis, please enter a lot number in the search box below.

Product Specific Notices for TACC1 Antibody (OTI1H2) - Azide and BSA Free

This product is for research use only and is not approved for use in humans or in clinical diagnosis. Primary Antibodies are guaranteed for 1 year from date of receipt.

Loading...
Loading...
Loading...
Loading...
Loading...